Suppr超能文献

一例伴有阔韧带血肿的输卵管妊娠破裂罕见表现。

An Uncommon Presentation of a Ruptured Tubal Ectopic Pregnancy With Broad Ligament Hematoma.

作者信息

Singh Ritu, Pathi Deeptimayee

机构信息

Obstetrics and Gynecology, Kurji Holy Family Hospital, Patna, IND.

出版信息

Cureus. 2025 Apr 2;17(4):e81605. doi: 10.7759/cureus.81605. eCollection 2025 Apr.

Abstract

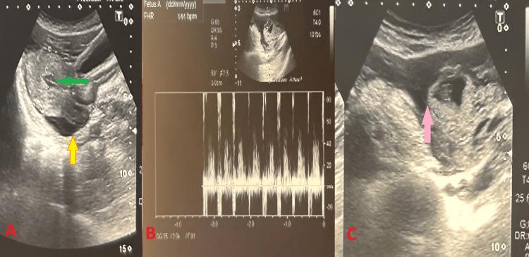
Broad ligament hematomas are rare in obstetrics. These hematomas typically result from vaginal, cervical, or uterine tears that extend to the uterine or vaginal arteries. Although cases of intestinal ectopic pregnancies presenting as broad ligament hematomas with no intraperitoneal collection have been reported, no cases involving broad ligament hematomas along with hemoperitoneum following ampullary ruptured ectopic pregnancy have been documented. Internal iliac artery ligation (IIAL) is particularly useful in broad ligament hematomas. So, we present a case of ruptured ampullary ectopic pregnancy with both intraperitoneal collection and broad ligament hematoma managed by salpingectomy and bilateral IIAL.

摘要

阔韧带血肿在产科中较为罕见。这些血肿通常由延伸至子宫或阴道动脉的阴道、宫颈或子宫撕裂引起。虽然有报道称肠道异位妊娠表现为阔韧带血肿且无腹腔内积液,但尚无壶腹部破裂异位妊娠后出现阔韧带血肿伴腹腔积血的病例记录。髂内动脉结扎术(IIAL)在阔韧带血肿治疗中特别有用。因此,我们报告一例壶腹部破裂异位妊娠伴腹腔内积液和阔韧带血肿的病例,该病例通过输卵管切除术和双侧IIAL进行治疗。

https://cdn.ncbi.nlm.nih.gov/pmc/blobs/67b6/12051073/c794bc50bf88/cureus-0017-00000081605-i01.jpg

文献AI研究员

20分钟写一篇综述,助力文献阅读效率提升50倍。

立即体验

用中文搜PubMed

大模型驱动的PubMed中文搜索引擎

马上搜索

文档翻译

学术文献翻译模型,支持多种主流文档格式。

立即体验