Suppr超能文献

细胞间收缩力通过Notch-MVP介导的核药物外排减弱化学敏感性。

Intercellular contractile force attenuates chemosensitivity through Notch-MVP-mediated nuclear drug export.

作者信息

Du Pengyu, Tang Kai, Chen Xi, Xin Ying, Hu Bin, Meng Jianfeng, Hu Guanshuo, Zhang Cunyu, Li Keming, Tan Youhua

机构信息

The Hong Kong Polytechnic University Shenzhen Research Institute, Shenzhen 518057, China.

Research Institute of Smart Ageing, The Hong Kong Polytechnic University, Hong Kong, China.

出版信息

Proc Natl Acad Sci U S A. 2025 May 13;122(19):e2417626122. doi: 10.1073/pnas.2417626122. Epub 2025 May 7.

Abstract

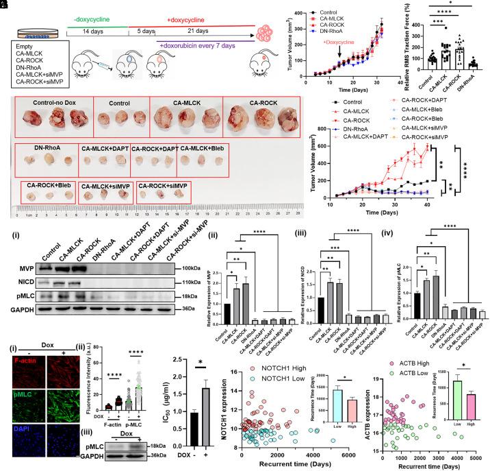
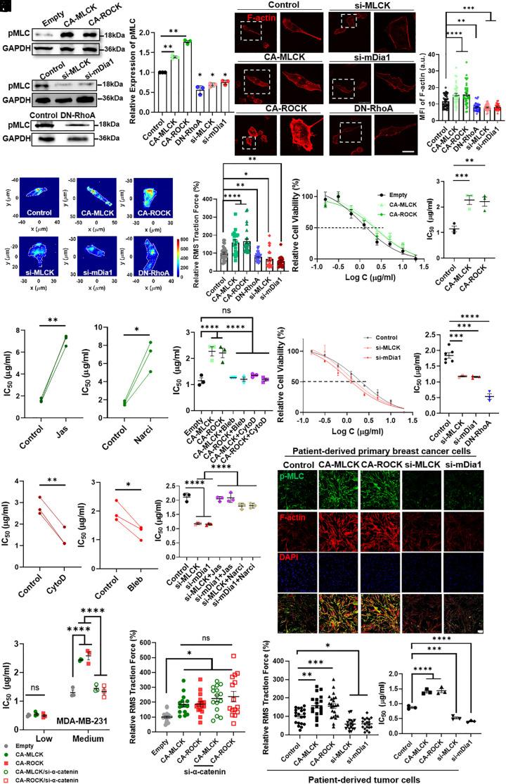
Resistance to chemotherapeutics is one major challenge to clinical effectiveness of cancer treatment and is primarily interpreted by various biochemical mechanisms. This study establishes an inverse correlation between tumor cell contractility and chemosensitivity. In both clinical biopsies and cancer cell lines, high/low actomyosin-mediated contractile force attenuates/enhances the vulnerability to chemotherapy, which depends on intercellular force propagation. Cell-cell interaction force activates the mechanosensitive Notch signaling that upregulates the downstream effector major vault protein, which facilitates the export of chemotherapy drugs from nuclei, leading to the reduction of chemosensitivity. Cellular contractility promotes the tolerance of tumor xenografts to chemotherapy and sustains tumor growth in vivo, which can be reversed by the inhibition of contractile force, Notch signaling, or major vault protein. Further, the actomyosin-Notch signaling is associated with drug resistance and cancer recurrence of patients. These findings unveil a regulatory role of intercellular force in chemosensitivity, which could be harnessed as a promising target for cancer mechanotherapeutics.

摘要

对化疗药物的耐药性是癌症治疗临床疗效面临的一个主要挑战,主要由多种生化机制来解释。本研究建立了肿瘤细胞收缩性与化疗敏感性之间的负相关关系。在临床活检组织和癌细胞系中,高/低肌动球蛋白介导的收缩力会减弱/增强对化疗的易感性,这取决于细胞间力的传播。细胞间相互作用力激活机械敏感的Notch信号通路,上调下游效应分子主要穹窿蛋白,促进化疗药物从细胞核输出,导致化疗敏感性降低。细胞收缩性促进肿瘤异种移植对化疗的耐受性并维持体内肿瘤生长,抑制收缩力、Notch信号通路或主要穹窿蛋白可逆转这种情况。此外,肌动球蛋白-Notch信号通路与患者的耐药性和癌症复发相关。这些发现揭示了细胞间力在化疗敏感性中的调节作用,这有望成为癌症机械治疗的一个有前景的靶点。

https://cdn.ncbi.nlm.nih.gov/pmc/blobs/68e0/12088414/ea9897cffe55/pnas.2417626122fig01.jpg

文献检索

告别复杂PubMed语法,用中文像聊天一样搜索,搜遍4000万医学文献。AI智能推荐,让科研检索更轻松。

立即免费搜索

文件翻译

保留排版,准确专业,支持PDF/Word/PPT等文件格式,支持 12+语言互译。

免费翻译文档

深度研究

AI帮你快速写综述,25分钟生成高质量综述,智能提取关键信息,辅助科研写作。

立即免费体验