Suppr超能文献

经食管超声心动图引导下一站式封堵治疗室间隔缺损合并房间隔缺损

One-Stop Device Closure for Ventricular Septal Defect with Atrial Septal Defect Guided by Transesophageal Echocardiography.

作者信息

Song Jinghao, Sun Yuekun, Mi Huaixue, Sun Shibin, Li Hongxin

机构信息

Department of Cardiovascular Surgery, The First Affiliated Hospital of Shandong First Medical University and Shandong Provincial Qianfoshan Hospital, Shandong Engineering Research Center for Heart Transplant and Material, 250014 Jinan, Shandong, China.

出版信息

Rev Cardiovasc Med. 2025 Apr 27;26(4):26279. doi: 10.31083/RCM26279. eCollection 2025 Apr.

Abstract

BACKGROUND

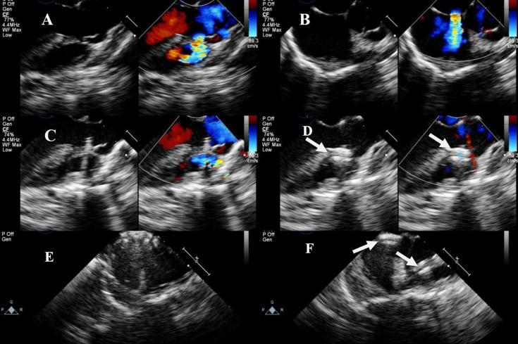
Ventricular septal defect (VSD) with atrial septal defect (ASD) is a common complex congenital heart disease. This study aimed to evaluate the clinical efficacy and safety of transesophageal echocardiography (TEE)-guided percardiac or combined percutaneous techniques for treating VSD with ASD in patients with varying anatomies.

METHODS

This retrospective cohort study reviewed 40 cases of VSD with ASD treated in our center from June 2015 to July 2023. Under TEE guidance, peratrial, perventricular, or combined percardiac/percutaneous approaches were used based on the VSD type and secundum-type ASD. Follow-up examinations, including electrocardiography, transthoracic echocardiography, and X-ray, were performed after surgery at 24 hours, 1, 3, 6, and 12 months, and yearly.

RESULTS

All patients underwent surgery successfully (100%), with 24, 5, and 11 patients undergoing simultaneous closure via the peratrial, perventricular, and combined percardiac/percutaneous approaches, respectively. Among them, there were six cases of a mild residual shunt, three instances of a mild tricuspid regurgitation, two cases of a mild aortic valve regurgitation, one case of a mild mitral regurgitation, and three cases of an incomplete right bundle branch block, all observed after VSD closure; all had resolved within 6 months of the operation. The chi-square test showed no significant differences in adverse event rates among the three surgical approaches (χ = 0.09, = 2, = 0.957). The Friedman test compared the preoperative and postoperative left ventricular end-diastolic diameter for the three approaches, providing < 0.001, = 0.589, and = 0.445, respectively. None of the patients required reoperation during the follow-up period.

CONCLUSIONS

Under TEE guidance, using diverse percardiac or combined percutaneous device closure techniques for the one-stop treatment of different types of VSDs combined with ASD is safe, effective, and feasible. These approaches can be performed as a valuable alternative therapy for selected patients.

摘要

背景

室间隔缺损(VSD)合并房间隔缺损(ASD)是一种常见的复杂性先天性心脏病。本研究旨在评估经食管超声心动图(TEE)引导下的心内或联合经皮技术治疗不同解剖结构的VSD合并ASD患者的临床疗效和安全性。

方法

这项回顾性队列研究回顾了2015年6月至2023年7月在本中心接受治疗的40例VSD合并ASD患者。在TEE引导下,根据VSD类型和继发孔型ASD采用经心房、经心室或联合心内/经皮入路。术后24小时、1个月、3个月、6个月、12个月及每年进行随访检查,包括心电图、经胸超声心动图和X线检查。

结果

所有患者均成功接受手术(100%),其中分别有24例、5例和11例患者通过经心房、经心室和联合心内/经皮入路同时闭合。其中,VSD闭合后观察到6例轻度残余分流、3例轻度三尖瓣反流、2例轻度主动脉瓣反流、1例轻度二尖瓣反流和3例不完全性右束支传导阻滞;所有这些情况在术后6个月内均已消失。卡方检验显示三种手术入路的不良事件发生率无显著差异(χ² = 0.09,自由度 = 2,P = 0.957)。Friedman检验比较了三种入路术前和术后左心室舒张末期直径,P值分别为< 0.001、0.589和0.445。随访期间无患者需要再次手术。

结论

在TEE引导下,采用多种心内或联合经皮装置闭合技术一站式治疗不同类型的VSD合并ASD是安全、有效且可行的。这些方法可为选定患者提供有价值的替代治疗。

https://cdn.ncbi.nlm.nih.gov/pmc/blobs/8524/12059751/04041c071da1/2153-8174-26-4-26279-g1.jpg

文献检索

告别复杂PubMed语法,用中文像聊天一样搜索,搜遍4000万医学文献。AI智能推荐,让科研检索更轻松。

立即免费搜索

文件翻译

保留排版,准确专业,支持PDF/Word/PPT等文件格式,支持 12+语言互译。

免费翻译文档

深度研究

AI帮你快速写综述,25分钟生成高质量综述,智能提取关键信息,辅助科研写作。

立即免费体验