Suppr超能文献

复发性急性髓系白血病患者异基因造血干细胞移植期间活动性肺结核的成功管理:一例报告及文献综述

Successful Management of Active Tuberculosis During Allogeneic Hematopoietic Stem Cell Transplantation in a Patient With Relapsed Acute Myeloid Leukemia: A Case Report and Literature Review.

作者信息

Ahnach Maryame, El Kodmiri Zakaria, Mourabiti Inasse, Bendari Mounia, Ghazi Bouchra

机构信息

Immunopathology, Immunotherapy, and Immunomonitoring Laboratory, Faculty of Medicine, Mohammed VI University of Health and Sciences (UM6SS), Casablanca, MAR.

Department of Hematology, Cheikh Khalifa International University Hospital, Casablanca, MAR.

出版信息

Cureus. 2025 Apr 10;17(4):e82026. doi: 10.7759/cureus.82026. eCollection 2025 Apr.

Abstract

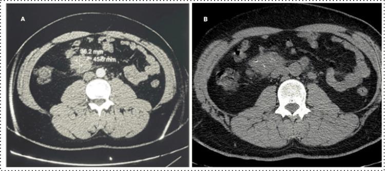
Acute myeloid leukemia (AML) is a hematologic malignancy that often requires hematopoietic stem cell (HSC) allografting after relapse. Tuberculosis (TB) remains a significant concern in regions where it is endemic, posing a challenge in the management of these patients. A 38-year-old male with AML, who achieved complete remission after induction chemotherapy and three consolidation courses, relapsed one year later with additional chromosomal abnormalities. He received FLAG-Ida salvage chemotherapy and achieved both hematological and cytogenetic remission. During the pre-allograft check-up, an abdominal ultrasound revealed mesenteric adenopathies, and biopsy confirmed tuberculous adenitis. Given the urgency of HSC transplantation, the patient initiated anti-bacillary therapy (ERIP K4 capsules per day for three weeks) before starting his FB4 conditioning regimen. The therapy was continued during the transplant process. The patient completed six months of anti-bacillary treatment, with no TB reactivation observed at the latest follow-up. This case highlights the critical need for screening both donors and recipients for latent and active TB infection in endemic regions. Current literature supports the importance of pre-transplant TB screening and tailored management to address the complexities of TB treatment in stem cell transplantation, particularly in TB-endemic areas.

摘要

急性髓系白血病(AML)是一种血液系统恶性肿瘤,复发后常需进行造血干细胞(HSC)同种异体移植。在结核病(TB)流行地区,结核病仍然是一个重大问题,给这些患者的管理带来了挑战。一名38岁的AML男性患者,在诱导化疗和三个巩固疗程后达到完全缓解,一年后复发并伴有额外的染色体异常。他接受了FLAG-Ida挽救化疗,实现了血液学和细胞遗传学缓解。在移植前检查期间,腹部超声显示肠系膜淋巴结肿大,活检证实为结核性腺炎。鉴于HSC移植的紧迫性,患者在开始FB4预处理方案之前启动了抗结核治疗(每天服用ERIP K4胶囊,持续三周)。治疗在移植过程中持续进行。患者完成了六个月的抗结核治疗,在最近的随访中未观察到结核病复发。该病例突出了在流行地区对供体和受体进行潜伏性和活动性结核感染筛查的迫切需求。当前文献支持移植前结核筛查和定制管理的重要性,以应对干细胞移植中结核治疗的复杂性,特别是在结核病流行地区。

https://cdn.ncbi.nlm.nih.gov/pmc/blobs/f54d/12065618/973cb2d0ea47/cureus-0017-00000082026-i01.jpg

文献检索

告别复杂PubMed语法,用中文像聊天一样搜索,搜遍4000万医学文献。AI智能推荐,让科研检索更轻松。

立即免费搜索

文件翻译

保留排版,准确专业,支持PDF/Word/PPT等文件格式,支持 12+语言互译。

免费翻译文档

深度研究

AI帮你快速写综述,25分钟生成高质量综述,智能提取关键信息,辅助科研写作。

立即免费体验