• 文献检索
  • 文档翻译
  • 深度研究
  • 学术资讯
  • Suppr Zotero 插件Zotero 插件
  • 邀请有礼
  • 套餐&价格
  • 历史记录
应用&插件
Suppr Zotero 插件Zotero 插件浏览器插件Mac 客户端Windows 客户端微信小程序
定价
高级版会员购买积分包购买API积分包
服务
文献检索文档翻译深度研究API 文档MCP 服务
关于我们
关于 Suppr公司介绍联系我们用户协议隐私条款
关注我们

Suppr 超能文献

核心技术专利:CN118964589B侵权必究
粤ICP备2023148730 号-1Suppr @ 2026

文献检索

告别复杂PubMed语法,用中文像聊天一样搜索,搜遍4000万医学文献。AI智能推荐,让科研检索更轻松。

立即免费搜索

文件翻译

保留排版,准确专业,支持PDF/Word/PPT等文件格式,支持 12+语言互译。

免费翻译文档

深度研究

AI帮你快速写综述,25分钟生成高质量综述,智能提取关键信息,辅助科研写作。

立即免费体验

线粒体相关基因作为子宫内膜癌的预后标志物及MACC1对肿瘤细胞的影响

Mitochondria-related genes as prognostic signature of endometrial cancer and the effect of MACC1 on tumor cells.

作者信息

Lin Xuefen, Zheng Jianfeng, Li Yanhong, Liu Linying, Liu Qinying, Lin Jie, Sun Yang

机构信息

Department of Gynecology, Clinical Oncology School of Fujian Medical University, Fujian Cancer Hospital, Fuzhou City, Fujian Province, China.

Fujian Provincial Key Laboratory of Tumor Biotherapy, Clinical Oncology School of Fujian Medical University, Fujian Cancer Hospital, Fuzhou City, Fujian Province, China.

出版信息

PLoS One. 2025 May 12;20(5):e0323002. doi: 10.1371/journal.pone.0323002. eCollection 2025.

DOI:10.1371/journal.pone.0323002
PMID:40354443
原文链接:https://pmc.ncbi.nlm.nih.gov/articles/PMC12068703/
Abstract

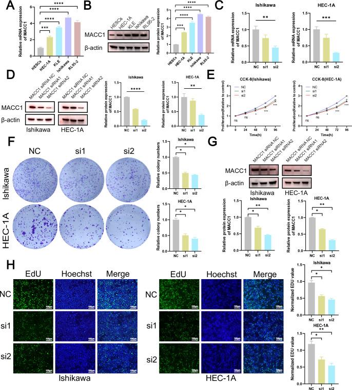
Mitochondria are essential organelles involved in cell metabolism and are closely linked to various metabolic disorders. In this study, we aimed to develop a prognostic model for endometrial cancer (EC) patients based on mitochondria-related genes (MRGs), and to investigate the role of MACC1 in EC. As shown in the graphic summary, we retrieved gene expression and clinical data from open-access databases. To construct a predictive signature, we applied the Lasso Cox regression algorithm to MRGs. The predictive performance, immune features, and anti-tumor response of the mitochondrial signature were evaluated through multiple algorithms. Additionally, expression levels of key genes were validated using quantitative Real-Time PCR and Western Blot. A total of 2030 MRGs were retrieved, and 267 were found to be prognostically relevant. Eight MRGs-MACC1, CMPK2, NDUFAF6, DUSP18, TOMM40L, MT-TP, SAMM50, and MAIP1-were identified to construct a prognostic signature for EC. The MRG signature demonstrated significant associations with drug sensitivity, immune therapy, and immune cell infiltration. Based on comprehensive bioinformatic analysis, MACC1 was identified as the most promising MRG candidate in EC. Systematic experimental validation, including both in vitro and in vivo approaches, demonstrated that MACC1 down-regulation significantly suppressed EC progression, highlighting its potential as a therapeutic target.

摘要

线粒体是参与细胞代谢的重要细胞器,与各种代谢紊乱密切相关。在本研究中,我们旨在基于线粒体相关基因(MRGs)开发一种子宫内膜癌(EC)患者的预后模型,并研究MACC1在EC中的作用。如图形摘要所示,我们从开放获取数据库中检索了基因表达和临床数据。为构建预测特征,我们将套索Cox回归算法应用于MRGs。通过多种算法评估线粒体特征的预测性能、免疫特征和抗肿瘤反应。此外,使用定量实时PCR和蛋白质免疫印迹法验证关键基因的表达水平。共检索到2030个MRGs,其中267个被发现与预后相关。确定了8个MRGs——MACC1、CMPK2、NDUFAF6、DUSP18、TOMM40L、MT-TP、SAMM50和MAIP1,用于构建EC的预后特征。MRG特征与药物敏感性、免疫治疗和免疫细胞浸润显著相关。基于全面的生物信息学分析,MACC1被确定为EC中最有前景的MRG候选基因。包括体外和体内方法在内的系统实验验证表明,MACC1下调显著抑制EC进展,突出了其作为治疗靶点的潜力。

https://cdn.ncbi.nlm.nih.gov/pmc/blobs/db1f/12068703/aa5575b48147/pone.0323002.g008.jpg
https://cdn.ncbi.nlm.nih.gov/pmc/blobs/db1f/12068703/5f9a9025f1d1/pone.0323002.g001.jpg
https://cdn.ncbi.nlm.nih.gov/pmc/blobs/db1f/12068703/ff43d9e10680/pone.0323002.g002.jpg
https://cdn.ncbi.nlm.nih.gov/pmc/blobs/db1f/12068703/42b53dc703eb/pone.0323002.g003.jpg
https://cdn.ncbi.nlm.nih.gov/pmc/blobs/db1f/12068703/ed594aae2d45/pone.0323002.g004.jpg
https://cdn.ncbi.nlm.nih.gov/pmc/blobs/db1f/12068703/dba16b4247d5/pone.0323002.g005.jpg
https://cdn.ncbi.nlm.nih.gov/pmc/blobs/db1f/12068703/8d5da849eb0c/pone.0323002.g006.jpg
https://cdn.ncbi.nlm.nih.gov/pmc/blobs/db1f/12068703/aa8472fc3e97/pone.0323002.g007.jpg
https://cdn.ncbi.nlm.nih.gov/pmc/blobs/db1f/12068703/aa5575b48147/pone.0323002.g008.jpg
https://cdn.ncbi.nlm.nih.gov/pmc/blobs/db1f/12068703/5f9a9025f1d1/pone.0323002.g001.jpg
https://cdn.ncbi.nlm.nih.gov/pmc/blobs/db1f/12068703/ff43d9e10680/pone.0323002.g002.jpg
https://cdn.ncbi.nlm.nih.gov/pmc/blobs/db1f/12068703/42b53dc703eb/pone.0323002.g003.jpg
https://cdn.ncbi.nlm.nih.gov/pmc/blobs/db1f/12068703/ed594aae2d45/pone.0323002.g004.jpg
https://cdn.ncbi.nlm.nih.gov/pmc/blobs/db1f/12068703/dba16b4247d5/pone.0323002.g005.jpg
https://cdn.ncbi.nlm.nih.gov/pmc/blobs/db1f/12068703/8d5da849eb0c/pone.0323002.g006.jpg
https://cdn.ncbi.nlm.nih.gov/pmc/blobs/db1f/12068703/aa8472fc3e97/pone.0323002.g007.jpg
https://cdn.ncbi.nlm.nih.gov/pmc/blobs/db1f/12068703/aa5575b48147/pone.0323002.g008.jpg

相似文献

1
Mitochondria-related genes as prognostic signature of endometrial cancer and the effect of MACC1 on tumor cells.线粒体相关基因作为子宫内膜癌的预后标志物及MACC1对肿瘤细胞的影响
PLoS One. 2025 May 12;20(5):e0323002. doi: 10.1371/journal.pone.0323002. eCollection 2025.
2
Identification of a metabolism-related gene expression prognostic model in endometrial carcinoma patients.识别子宫内膜癌患者与代谢相关的基因表达预后模型。
BMC Cancer. 2020 Sep 7;20(1):864. doi: 10.1186/s12885-020-07345-8.
3
Glycometabolism and lipid metabolism related genes predict the prognosis of endometrial carcinoma and their effects on tumor cells.糖代谢和脂代谢相关基因预测子宫内膜癌的预后及其对肿瘤细胞的影响。
BMC Cancer. 2024 May 8;24(1):571. doi: 10.1186/s12885-024-12327-1.
4
A novel mitochondrial unfolded protein response-related risk signature to predict prognosis, immunotherapy and sorafenib sensitivity in hepatocellular carcinoma.一种新型的线粒体未折叠蛋白反应相关风险特征,可预测肝细胞癌的预后、免疫治疗和索拉非尼敏感性。
Apoptosis. 2024 Jun;29(5-6):768-784. doi: 10.1007/s10495-024-01945-6. Epub 2024 Mar 17.
5
SIM2, associated with clinicopathologic features, promotes the malignant biological behaviors of endometrial carcinoma cells.与临床病理特征相关的SIM2促进子宫内膜癌细胞的恶性生物学行为。
BMC Cancer. 2025 Apr 11;25(1):666. doi: 10.1186/s12885-025-14077-0.
6
Identification and validation of glucose metabolism-related gene signature in endometrial cancer.子宫内膜癌中葡萄糖代谢相关基因特征的鉴定与验证
BMC Cancer. 2025 Jan 7;25(1):30. doi: 10.1186/s12885-024-13418-9.
7
Correlation of MACC1/c-Myc Expression in Endometrial Carcinoma with Clinical/Pathological Features or Prognosis.MACC1/c-Myc 表达与子宫内膜癌临床病理特征及预后的相关性。
Med Sci Monit. 2018 Jul 9;24:4738-4744. doi: 10.12659/MSM.908812.
8
The mitochondria-related gene risk mode revealed p66Shc as a prognostic mitochondria-related gene of glioblastoma.线粒体相关基因风险模式表明 p66Shc 是胶质母细胞瘤的一种与线粒体相关的预后基因。
Sci Rep. 2024 May 19;14(1):11418. doi: 10.1038/s41598-024-62083-2.
9
The role of metastasis-associated in colon cancer 1 (MACC1) in endometrial carcinoma tumorigenesis and progression.结肠癌转移相关蛋白1(MACC1)在子宫内膜癌肿瘤发生和进展中的作用。
Mol Carcinog. 2017 Apr;56(4):1361-1371. doi: 10.1002/mc.22599. Epub 2017 Jan 12.
10
Circ_0002577/miR-126-5p/MACC1 axis promotes endometrial carcinoma progression by regulation of proliferation, migration, invasion, and apoptosis of endometrial carcinoma cells.Circ_0002577/miR-126-5p/MACC1 轴通过调节子宫内膜癌细胞的增殖、迁移、侵袭和凋亡促进子宫内膜癌的进展。
Arch Gynecol Obstet. 2022 Aug;306(2):481-491. doi: 10.1007/s00404-022-06412-8. Epub 2022 Feb 1.

本文引用的文献

1
LIN28B induced PCAT5 promotes endometrial cancer progression and glycolysis via IGF2BP3 deubiquitination.LIN28B 诱导的 PCAT5 通过 IGF2BP3 去泛素化促进子宫内膜癌的进展和糖酵解。
Cell Death Dis. 2024 Apr 2;15(4):242. doi: 10.1038/s41419-024-06564-2.
2
Adding immunotherapy to first-line treatment of advanced and metastatic endometrial cancer.在晚期和转移性子宫内膜癌的一线治疗中添加免疫疗法。
Ann Oncol. 2024 May;35(5):414-428. doi: 10.1016/j.annonc.2024.02.006. Epub 2024 Feb 29.
3
Comprehensive analyses of mitophagy-related genes and mitophagy-related lncRNAs for patients with ovarian cancer.
综合性分析卵巢癌患者的线粒体自噬相关基因和线粒体自噬相关长非编码 RNA。
BMC Womens Health. 2024 Jan 13;24(1):37. doi: 10.1186/s12905-023-02864-5.
4
MACC1-induced migration in tumors: Current state and perspective.MACC1诱导的肿瘤迁移:现状与展望
Front Oncol. 2023 Mar 27;13:1165676. doi: 10.3389/fonc.2023.1165676. eCollection 2023.
5
Metabolic reprogramming and interventions in endometrial carcinoma.子宫内膜癌中的代谢重编程与干预措施
Biomed Pharmacother. 2023 May;161:114526. doi: 10.1016/j.biopha.2023.114526. Epub 2023 Mar 16.
6
An Overview: The Diversified Role of Mitochondria in Cancer Metabolism.概述:线粒体在癌症代谢中的多样化作用。
Int J Biol Sci. 2023 Jan 16;19(3):897-915. doi: 10.7150/ijbs.81609. eCollection 2023.
7
Glucose metabolic reprogramming and its therapeutic potential in obesity-associated endometrial cancer.肥胖相关子宫内膜癌中的葡萄糖代谢重编程及其治疗潜力。
J Transl Med. 2023 Feb 7;21(1):94. doi: 10.1186/s12967-022-03851-4.
8
MACC1 Promotes the Progression and Is a Novel Biomarker for Predicting Immunotherapy Response in Colorectal Cancer.MACC1促进结直肠癌进展,是预测免疫治疗反应的新型生物标志物。
J Oncol. 2022 Jul 14;2022:8326940. doi: 10.1155/2022/8326940. eCollection 2022.
9
Application of non-negative matrix factorization in oncology: one approach for establishing precision medicine.非负矩阵分解在肿瘤学中的应用:建立精准医学的一种方法。
Brief Bioinform. 2022 Jul 18;23(4). doi: 10.1093/bib/bbac246.
10
Identifying molecular mediators of the relationship between body mass index and endometrial cancer risk: a Mendelian randomization analysis.鉴定体质指数与子宫内膜癌风险之间关系的分子中介物:一项孟德尔随机化分析。
BMC Med. 2022 Apr 19;20(1):125. doi: 10.1186/s12916-022-02322-3.