Suppr超能文献

采用股中间肌入路进行全膝关节翻修术:一例病例报告

Total Knee Revision Using the Midvastus Approach: A Case Report.

作者信息

Jamal Rayan, Shaqroon Hatem A

机构信息

Department of Orthopedic Surgery, Prince Mohammed Bin Abdulaziz Hospital, Ministry of National Guard Health Affairs, Medina, SAU.

Department of Orthopedic Surgery, King Fahad Hospital, Ministry of Health, Medina, SAU.

出版信息

Cureus. 2025 May 12;17(5):e83945. doi: 10.7759/cureus.83945. eCollection 2025 May.

Abstract

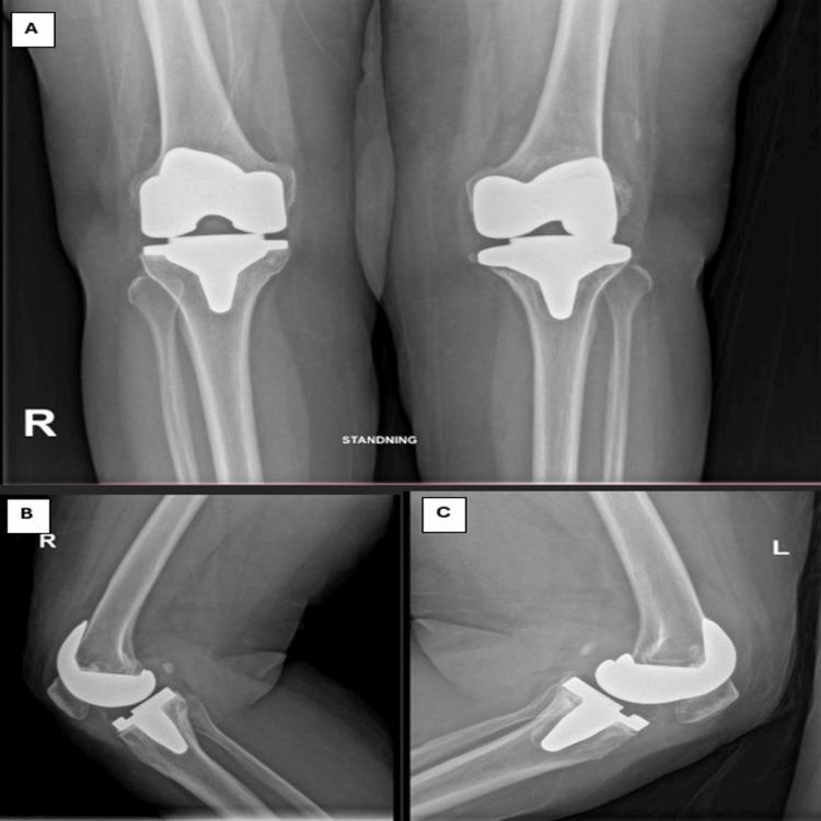
Total knee arthroplasty (TKA) is a common procedure for managing severe knee osteoarthritis. However, component loosening continues to be a common issue, frequently requiring revision surgery. Although the medial parapatellar (MPP) approach is commonly used due to the broad access it provides, it may disrupt the extensor mechanism and reduce blood flow to the patella. We present a case of a 62-year-old woman who required revision TKA (RTKA) on the left knee due to tibial component loosening seven years after her initial surgery, which had been performed via the MPP approach. We have used the midvastus (MV) approach to preserve the quadriceps tendon. This case highlights the MV approach as a viable alternative in RTKA, offering adequate exposure while minimizing soft tissue damage.

摘要

全膝关节置换术(TKA)是治疗重度膝关节骨关节炎的常见手术。然而,假体松动仍然是一个常见问题,常常需要进行翻修手术。尽管内侧髌旁(MPP)入路因其提供的广泛视野而被广泛使用,但它可能会破坏伸膝机制并减少髌骨的血液供应。我们报告一例62岁女性病例,该患者在初次手术(采用MPP入路)七年后,因胫骨假体松动需要对左膝进行翻修全膝关节置换术(RTKA)。我们采用股中肌(MV)入路以保留股四头肌肌腱。该病例突出了MV入路在RTKA中作为一种可行替代方法的优势,它能提供足够的视野,同时将软组织损伤降至最低。

https://cdn.ncbi.nlm.nih.gov/pmc/blobs/416b/12067497/3c6a3a54b152/cureus-0017-00000083945-i01.jpg

文献检索

告别复杂PubMed语法,用中文像聊天一样搜索,搜遍4000万医学文献。AI智能推荐,让科研检索更轻松。

立即免费搜索

文件翻译

保留排版,准确专业,支持PDF/Word/PPT等文件格式,支持 12+语言互译。

免费翻译文档

深度研究

AI帮你快速写综述,25分钟生成高质量综述,智能提取关键信息,辅助科研写作。

立即免费体验