• 文献检索
  • 文档翻译
  • 深度研究
  • 学术资讯
  • Suppr Zotero 插件Zotero 插件
  • 邀请有礼
  • 套餐&价格
  • 历史记录
应用&插件
Suppr Zotero 插件Zotero 插件浏览器插件Mac 客户端Windows 客户端微信小程序
定价
高级版会员购买积分包购买API积分包
服务
文献检索文档翻译深度研究API 文档MCP 服务
关于我们
关于 Suppr公司介绍联系我们用户协议隐私条款
关注我们

Suppr 超能文献

核心技术专利:CN118964589B侵权必究
粤ICP备2023148730 号-1Suppr @ 2026

文献检索

告别复杂PubMed语法,用中文像聊天一样搜索,搜遍4000万医学文献。AI智能推荐,让科研检索更轻松。

立即免费搜索

文件翻译

保留排版,准确专业,支持PDF/Word/PPT等文件格式,支持 12+语言互译。

免费翻译文档

深度研究

AI帮你快速写综述,25分钟生成高质量综述,智能提取关键信息,辅助科研写作。

立即免费体验

伽玛刀手术在罕见鞍区肿瘤治疗中的作用:9例报告

The Role of Gamma Knife Surgery in the Treatment of Rare Sellar Neoplasms: A Report of Nine Cases.

作者信息

Longhi Michele, Lavezzo Riccardo, Barresi Valeria, Bulgarelli Giorgia, D'Amico Anna, Lombardo Antonella, Zivelonghi Emanuele, Polloniato Paolo Maria, Ricciardi Giuseppe Kenneth, Sala Francesco, Musumeci Angelo, Pinna Giampietro, Nicolato Antonio

机构信息

Departmental Unit of Stereotaxis, Department of Neurosciences, Hospital Trust of Verona, 37126 Verona, Italy.

Unit of Neurosurgery B, Department of Neurosciences, Hospital Trust of Verona, 37126 Verona, Italy.

出版信息

Cancers (Basel). 2025 May 3;17(9):1564. doi: 10.3390/cancers17091564.

DOI:10.3390/cancers17091564
PMID:40361489
原文链接:https://pmc.ncbi.nlm.nih.gov/articles/PMC12072044/
Abstract

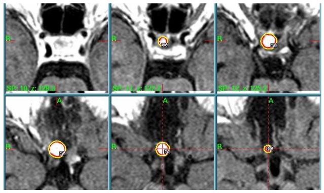
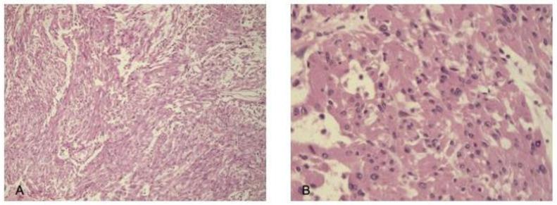
The group of so-called "sellar-region masses" consists of a heterogeneous group of neoplasms and tumor-mimicking lesions, whose differential diagnosis may be challenging due to the overlapping of clinical and radiological features, which can be found both in "common" and "uncommon" lesions. The choice of a correct treatment strategy is still arduous and requires histological analysis. Gamma Knife Radiosurgery (GKRS) has already been reported as a safe and effective treatment in these cases. The objective of this study is to evaluate single-center pre-operative data, post-operative outcomes, and long-term follow-up in patients treated with GKRS for unusual sellar tumors. We retrospectively identified and analyzed nine patients treated with GKRS from 2004 to 2015, according to a standard protocol. Lesions consist of hypothalamic hamartoma (HH), Rathke's cleft cist (RCC), Langerhans cell histiocytosis (LCH), spindle cell oncocytoma (SCO), choroid plexus papilloma (CPP), and ossifying fibroma (OF). The diagnosis was histologically confirmed in six patients that underwent surgery, while in three patients, diagnosis was based on characteristic clinical and radiological findings (two HH and one RCC). Pre-operative and post-operative data were retrieved from medical archives, and long-term follow-up was obtained through clinical and neuroradiological periodic examination. In our series, all the "rare" sellar lesions treated, had a successful radiographic and clinical response in a medium-long follow-up period. The long-term follow-up results suggest that GKRS is a safe and effective treatment in rare sellar lesions, with very low toxicity. To the best of our knowledge, this report represents the largest series of unusual sellar lesions treated with GKRS in a single high-volume center, suggesting that GKRS might be an effective non-invasive adjuvant treatment option. Further studies and a larger number of patients are needed to confirm if residuals of these rare sellar lesions might regress on their own without treatment or if other non-invasive treatments could be as effective as GKRS.

摘要

所谓的“鞍区肿块”是一组异质性的肿瘤和肿瘤样病变,由于其临床和放射学特征相互重叠,无论是“常见”还是“罕见”病变,鉴别诊断都可能具有挑战性。选择正确的治疗策略仍然很艰巨,需要进行组织学分析。伽玛刀放射外科治疗(GKRS)已被报道在这些病例中是一种安全有效的治疗方法。本研究的目的是评估在单一中心接受GKRS治疗的不常见鞍区肿瘤患者的术前数据、术后结果和长期随访情况。我们根据标准方案,回顾性地识别并分析了2004年至2015年期间接受GKRS治疗的9例患者。病变包括下丘脑错构瘤(HH)、拉克氏囊肿(RCC)、朗格汉斯细胞组织细胞增多症(LCH)、梭形细胞嗜酸细胞瘤(SCO)、脉络丛乳头状瘤(CPP)和骨化性纤维瘤(OF)。6例接受手术的患者经组织学确诊,而3例患者的诊断基于特征性的临床和放射学表现(2例HH和1例RCC)。术前和术后数据从医疗档案中获取,长期随访通过临床和神经放射学定期检查获得。在我们的系列研究中,所有接受治疗的“罕见”鞍区病变在中长期随访期内均获得了成功的影像学和临床反应。长期随访结果表明,GKRS是治疗罕见鞍区病变的一种安全有效的方法,毒性极低。据我们所知,本报告是在单一高容量中心接受GKRS治疗的最大系列不常见鞍区病变,表明GKRS可能是一种有效的非侵入性辅助治疗选择。需要进一步的研究和更多的患者来确认这些罕见鞍区病变的残留是否可能未经治疗自行消退,或者其他非侵入性治疗是否能与GKRS一样有效。

https://cdn.ncbi.nlm.nih.gov/pmc/blobs/3c96/12072044/dd4df713844f/cancers-17-01564-g008.jpg
https://cdn.ncbi.nlm.nih.gov/pmc/blobs/3c96/12072044/9d15cabbca26/cancers-17-01564-g001.jpg
https://cdn.ncbi.nlm.nih.gov/pmc/blobs/3c96/12072044/bd52b6eb80d5/cancers-17-01564-g002.jpg
https://cdn.ncbi.nlm.nih.gov/pmc/blobs/3c96/12072044/8984415640ee/cancers-17-01564-g003.jpg
https://cdn.ncbi.nlm.nih.gov/pmc/blobs/3c96/12072044/7205ea0e70fe/cancers-17-01564-g004.jpg
https://cdn.ncbi.nlm.nih.gov/pmc/blobs/3c96/12072044/6f92ffc44ff9/cancers-17-01564-g005.jpg
https://cdn.ncbi.nlm.nih.gov/pmc/blobs/3c96/12072044/725760bd1792/cancers-17-01564-g006.jpg
https://cdn.ncbi.nlm.nih.gov/pmc/blobs/3c96/12072044/b3421050ca77/cancers-17-01564-g007.jpg
https://cdn.ncbi.nlm.nih.gov/pmc/blobs/3c96/12072044/dd4df713844f/cancers-17-01564-g008.jpg
https://cdn.ncbi.nlm.nih.gov/pmc/blobs/3c96/12072044/9d15cabbca26/cancers-17-01564-g001.jpg
https://cdn.ncbi.nlm.nih.gov/pmc/blobs/3c96/12072044/bd52b6eb80d5/cancers-17-01564-g002.jpg
https://cdn.ncbi.nlm.nih.gov/pmc/blobs/3c96/12072044/8984415640ee/cancers-17-01564-g003.jpg
https://cdn.ncbi.nlm.nih.gov/pmc/blobs/3c96/12072044/7205ea0e70fe/cancers-17-01564-g004.jpg
https://cdn.ncbi.nlm.nih.gov/pmc/blobs/3c96/12072044/6f92ffc44ff9/cancers-17-01564-g005.jpg
https://cdn.ncbi.nlm.nih.gov/pmc/blobs/3c96/12072044/725760bd1792/cancers-17-01564-g006.jpg
https://cdn.ncbi.nlm.nih.gov/pmc/blobs/3c96/12072044/b3421050ca77/cancers-17-01564-g007.jpg
https://cdn.ncbi.nlm.nih.gov/pmc/blobs/3c96/12072044/dd4df713844f/cancers-17-01564-g008.jpg

相似文献

1
The Role of Gamma Knife Surgery in the Treatment of Rare Sellar Neoplasms: A Report of Nine Cases.伽玛刀手术在罕见鞍区肿瘤治疗中的作用:9例报告
Cancers (Basel). 2025 May 3;17(9):1564. doi: 10.3390/cancers17091564.
2
Gamma Knife radiosurgery for sellar and parasellar meningiomas: a multicenter study.伽玛刀放射外科治疗鞍区和鞍旁脑膜瘤:一项多中心研究。
J Neurosurg. 2014 Jun;120(6):1268-77. doi: 10.3171/2014.2.JNS13139. Epub 2014 Mar 28.
3
Gamma knife radiosurgery for pituitary spindle cell oncocytomas.垂体梭形细胞嗜酸细胞瘤的伽玛刀放射外科治疗
Clin Neurol Neurosurg. 2019 Dec;187:105560. doi: 10.1016/j.clineuro.2019.105560. Epub 2019 Oct 11.
4
Single-Fraction Gamma-Knife Radiosurgery with or without Previous Surgery for Cavernous Sinus Meningiomas: A Single-Center Experience and Systematic Literature Review.单剂量伽玛刀放射外科手术治疗海绵窦脑膜瘤:单中心经验和系统文献复习。
Niger J Clin Pract. 2023 May;26(5):545-551. doi: 10.4103/njcp.njcp_2033_21.
5
Factors Influencing Long-Term Outcomes of Single-Session Gamma Knife Radiosurgery in Large-Volume Meningiomas >10 cc.体积大于 10cc 的大型脑膜瘤单次伽玛刀放射外科治疗的长期疗效影响因素
Stereotact Funct Neurosurg. 2024;102(2):109-119. doi: 10.1159/000536409. Epub 2024 Mar 1.
6
Gamma Knife radiosurgery in the treatment of abducens nerve schwannomas: a retrospective study.伽玛刀放射外科治疗展神经鞘瘤:一项回顾性研究。
J Neurosurg. 2016 Oct;125(4):832-837. doi: 10.3171/2015.8.JNS151140. Epub 2016 Jan 29.
7
Jugulotympanic paragangliomas treated with Gamma Knife radiosurgery: a single-center review of 58 cases.伽玛刀放射外科治疗颈静脉鼓室副神经节瘤:单中心58例回顾性研究
J Neurosurg. 2014 Nov;121(5):1158-65. doi: 10.3171/2014.5.JNS131880. Epub 2014 Jun 13.
8
Metastatic renal cell carcinoma to the brain: optimizing patient selection for gamma knife radiosurgery.脑转移肾细胞癌:优化伽玛刀放射外科治疗的患者选择
Acta Neurochir (Wien). 2021 Feb;163(2):333-342. doi: 10.1007/s00701-020-04537-w. Epub 2020 Sep 9.
9
Efficacy of whole-sellar gamma knife radiosurgery for magnetic resonance imaging-negative Cushing's disease.磁共振成像阴性库欣病全鞍γ刀放射外科治疗的疗效。
J Neurosurg Sci. 2023 Aug;67(4):414-421. doi: 10.23736/S0390-5616.20.05048-1. Epub 2020 Sep 28.
10
Long-term results of gamma knife radiosurgery for foramen magnum meningiomas.伽玛刀放射外科治疗枕骨大孔脑膜瘤的长期结果。
Neurosurg Rev. 2021 Oct;44(5):2667-2673. doi: 10.1007/s10143-020-01446-5. Epub 2020 Nov 26.

本文引用的文献

1
MRgFUS disconnection surgery for hypothalamic hamartoma-related epilepsy: case report and literature review.磁共振引导聚焦超声(MRgFUS)下丘脑错构瘤相关癫痫离断手术:病例报告及文献综述
Neurol Sci. 2025 Mar;46(3):1399-1404. doi: 10.1007/s10072-024-07946-2. Epub 2024 Dec 28.
2
Rathke's cleft cysts: from pathophysiology to management. Rathke 氏裂隙囊肿:从病理生理学到治疗管理。
Neurosurg Rev. 2024 Sep 3;47(1):522. doi: 10.1007/s10143-024-02742-0.
3
Ossifying fibroma of the ethmoid and sphenoid sinuses: A report of a rare case and literature review.
筛窦和蝶窦骨化性纤维瘤:1例罕见病例报告及文献复习
Surg Neurol Int. 2024 Feb 9;15:38. doi: 10.25259/SNI_182_2023. eCollection 2024.
4
Not So Benign: A Rare Atypical Ectopic Choroid Plexus Papilloma.并非良性:一种罕见的非典型异位脉络丛乳头状瘤。
J Ophthalmol Vis Sci. 2021;6(2). doi: 10.26420/jophthalmolvissci.2021.1050. Epub 2021 Jun 26.
5
Overview of the 2022 WHO Classification of Pituitary Tumors.《2022 年世卫组织垂体肿瘤分类概述》。
Endocr Pathol. 2022 Mar;33(1):6-26. doi: 10.1007/s12022-022-09703-7. Epub 2022 Mar 15.
6
Stereotactic radiosurgery for Rathke's cleft cysts: an international multicenter study.拉克氏囊肿的立体定向放射外科治疗:一项国际多中心研究。
J Neurosurg. 2022 Feb 11;137(4):1041-1046. doi: 10.3171/2021.12.JNS212108. Print 2022 Oct 1.
7
Hypothalamic Hamartomas: Evolving Understanding and Management.下丘脑错构瘤:不断发展的认识与管理。
Neurology. 2021 Nov 2;97(18):864-873. doi: 10.1212/WNL.0000000000012773. Epub 2021 Oct 4.
8
Ossifying Fibromas of the Head and Neck Region: A Clinicopathological Study of 45 Cases.头部和颈部区域骨化性纤维瘤:45 例临床病理研究。
Head Neck Pathol. 2022 Mar;16(1):248-256. doi: 10.1007/s12105-021-01350-4. Epub 2021 Jun 28.
9
Long-term cognitive outcome after radiosurgery in epileptic hypothalamic hamartomas and review of the literature.癫痫性下丘脑错构瘤放射外科治疗后的长期认知结果及文献复习。
Epilepsia. 2021 Jun;62(6):1369-1381. doi: 10.1111/epi.16896. Epub 2021 Apr 20.
10
Epileptic hypothalamic hamartomas impact of topography on clinical presentation and radiosurgical outcome.癫痫性下丘脑错构瘤:部位对临床表现及放射外科治疗结果的影响
Epilepsy Res. 2021 Jul;173:106624. doi: 10.1016/j.eplepsyres.2021.106624. Epub 2021 Mar 23.