Suppr超能文献

在循环水养殖系统中饲养的巨骨舌鱼属早期断奶幼鱼消化系统的组织学和分子特征

Histological and molecular characterization of the digestive system of early weaned juveniles of Arapaima sp. reared in a recirculating aquaculture system.

作者信息

Darias Maria J, Estivals Guillain, Andree Karl B, Fernández-Méndez Christian, Bazán Roger, Cahu Chantal, Gisbert Enric, Castro-Ruiz Diana

机构信息

MARBEC, Univ Montpellier, CNRS, Ifremer, IRD, Montpellier, France.

Laboratorio de Biología y Genética Molecular (LBGM), Dirección de Investigación en Ecosistemas Acuáticos Amazónicos (AQUAREC), Instituto de Investigaciones de la Amazonía Peruana (IIAP), Iquitos, Peru.

出版信息

PLoS One. 2025 May 14;20(5):e0323012. doi: 10.1371/journal.pone.0323012. eCollection 2025.

Abstract

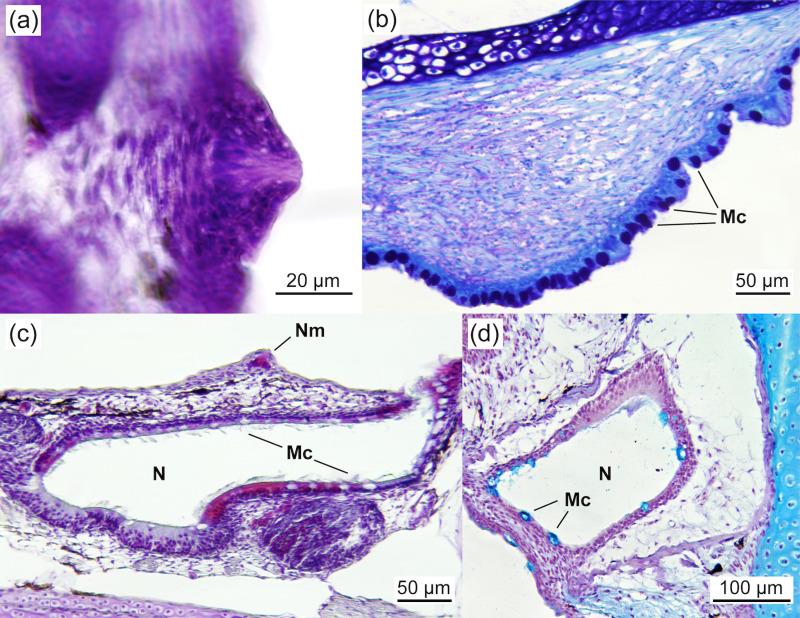
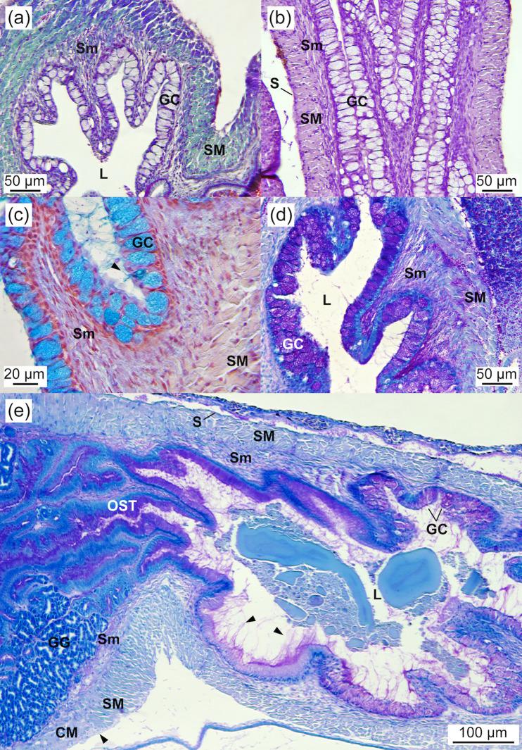
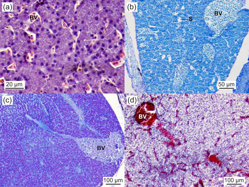
Arapaima spp., the world's largest scaled freshwater fish, native to the Amazon and Essequibo river basins, are valued in aquaculture for their rapid growth and ornamental appeal. However, reliance on natural breeding and parental care in earthen ponds results in variable fingerling survival, hindering production. This study investigated the morphology and functionality of the digestive system of Arapaima sp. fingerlings from the Peruvian Amazon and evaluated the feasibility of early weaning onto compound diets to optimise growth and survival. Fingerlings were collected from a pond at 3.19 ± 0.03 cm total length (TL) and reared in a recirculating aquaculture system at 29 ºC under a 12L:12D photoperiod. Fish were successfully weaned from Artemia spp. nauplii onto an experimental compound diet (60% protein, 15% lipid) from 3.26 ± 0.02 cm TL within three days. Histological and gene expression analyses of key digestive enzyme precursors and appetite-regulating peptides (α-amylase, phospholipase A2, lipoprotein lipase, trypsinogen, chymotrypsinogen, pepsinogen, and peptide YY) revealed a mature digestive system, with enhanced digestive efficiency observed at 5.05 ± 0.34 cm TL. Based on digestive enzyme expression profiles and gut morphology, early juvenile Arapaima sp. possess a digestive physiology consistent with that of an omnivorous species with a preference for animal prey. The middle intestine was identified as a key site for fatty acid absorption and feed intake regulation. This study presents a novel, comprehensive analysis of digestive enzyme gene expression and associated tissue morphology in the genus Arapaima. It provides new insights into their digestive physiology and establishes the feasibility of early weaning onto formulated diets. Future research should explore the interplay between optimised compound feed formulations and refined early rearing protocols to maximise growth and survival throughout development.

摘要

巨骨舌鱼属是世界上最大的有鳞淡水鱼,原产于亚马逊河和埃塞奎博河流域,因其生长迅速和具有观赏价值而在水产养殖中备受重视。然而,在土池中依赖自然繁殖和亲体照料导致鱼苗存活率参差不齐,阻碍了产量。本研究调查了秘鲁亚马逊地区巨骨舌鱼属鱼苗消化系统的形态和功能,并评估了早期断奶改用配合饲料以优化生长和存活的可行性。鱼苗在全长3.19±0.03厘米时从池塘中采集,并在循环水养殖系统中于29℃、12小时光照:12小时黑暗的光周期下饲养。鱼苗在全长3.26±0.02厘米时,在三天内成功从卤虫无节幼体断奶,改用实验性配合饲料(蛋白质含量60%,脂质含量15%)。对关键消化酶前体和食欲调节肽(α-淀粉酶、磷脂酶A2、脂蛋白脂肪酶、胰蛋白酶原、糜蛋白酶原、胃蛋白酶原和肽YY)的组织学和基因表达分析显示,消化系统成熟,在全长5.05±0.34厘米时观察到消化效率提高。根据消化酶表达谱和肠道形态,幼年早期的巨骨舌鱼属具有与偏好动物猎物的杂食性物种一致的消化生理。中肠被确定为脂肪酸吸收和采食量调节的关键部位。本研究对巨骨舌鱼属的消化酶基因表达和相关组织形态进行了新颖而全面的分析。它为其消化生理提供了新的见解,并确定了早期断奶改用配方饲料的可行性。未来的研究应探索优化的配合饲料配方与精细的早期饲养方案之间的相互作用,以在整个发育过程中最大限度地提高生长和存活。

https://cdn.ncbi.nlm.nih.gov/pmc/blobs/2b62/12077701/deeb7f50c502/pone.0323012.g001.jpg

文献检索

告别复杂PubMed语法,用中文像聊天一样搜索,搜遍4000万医学文献。AI智能推荐,让科研检索更轻松。

立即免费搜索

文件翻译

保留排版,准确专业,支持PDF/Word/PPT等文件格式,支持 12+语言互译。

免费翻译文档

深度研究

AI帮你快速写综述,25分钟生成高质量综述,智能提取关键信息,辅助科研写作。

立即免费体验