Chen Shuning, Kong Weimin, Shen Xiaochang, Sinha Nikita, Haag Jennifer, Deng Boer, Zhang Haomeng, John Catherine, Sun Wenchuan, Zhou Chunxiao, Bae-Jump Victoria L
Department of Gynecology, Beijing Obstetrics and Gynecology Hospital, Beijing Maternal and Child Healthcare Hospital, Capital Medical University, Beijing, China.
Division of Gynecologic Oncology, Department of Obstetrics and Gynecology, University of North Carolina at Chapel Hill, Chapel Hill, NC, United States.
Front Pharmacol. 2025 Apr 30;16:1520771. doi: 10.3389/fphar.2025.1520771. eCollection 2025.
Chronic inflammation is a key contributor to carcinogenesis, progression, and chemoresistance in ovarian cancer, making inflammatory pathways a logical therapeutic target for the treatment of this disease. Sulindac, a commonly used non-steroidal anti-inflammatory drug, has demonstrated anti-proliferative and anti-invasive effects on several preclinical models of cancer. In this study, we investigated the antitumorigenic effects of sulindac in human ovarian cancer cell lines and a transgenic mouse model of ovarian cancer (KpB).
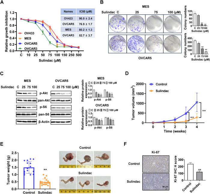
MTT and colony formation assays were used to evaluate cell proliferation. Cell cycle was detected by Cellometer. ELISA assays were conducted to evaluate the changes of cellular stress, apoptosis and adhesion, while invasion was determined by wound healing assay. Protein expression was examined through Western blotting and immunohistochemistry.
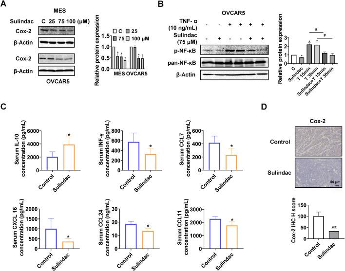
Our results demonstrated that sulindac significantly inhibited cell proliferation, induced cellular stress and apoptosis, caused G1 phase cell cycle arrest, and reduced cell invasion, and suppressed Cox-2 and NF-κB pathways in the MES and OVCAR5 cell lines. Inhibition of cellular stress by N-acetylcysteine partially reversed the anti-proliferative and anti-invasive effects of sulindac. The combination of sulindac and paclitaxel produced synergistic effects in inhibiting cell growth in both paclitaxel sensitive and resistant MES cells. Treatment with sulindac for 4 weeks effectively reduced tumor growth, improved serum levels of inflammatory cytokines and chemokines, and reduced the expression of Cox-2 of ovarian tumors in KpB mice compared with untreated mice.
These findings provide support for the development of clinical trials repurposing sulindac in the treatment of OC, possibly in combination with paclitaxel.
慢性炎症是卵巢癌发生、发展及化疗耐药的关键因素,这使得炎症信号通路成为治疗该疾病的合理靶点。舒林酸是一种常用的非甾体抗炎药,已在多种癌症临床前模型中显示出抗增殖和抗侵袭作用。在本研究中,我们调查了舒林酸对人卵巢癌细胞系和卵巢癌转基因小鼠模型(KpB)的抗肿瘤作用。
采用MTT和集落形成试验评估细胞增殖。通过细胞计数仪检测细胞周期。进行ELISA试验以评估细胞应激、凋亡和黏附的变化,同时通过伤口愈合试验测定侵袭能力。通过蛋白质免疫印迹法和免疫组织化学法检测蛋白质表达。
我们的结果表明,舒林酸显著抑制MES和OVCAR5细胞系中的细胞增殖,诱导细胞应激和凋亡,导致G1期细胞周期阻滞,减少细胞侵袭,并抑制Cox-2和NF-κB信号通路。N-乙酰半胱氨酸对细胞应激的抑制部分逆转了舒林酸的抗增殖和抗侵袭作用。舒林酸与紫杉醇联合使用在抑制紫杉醇敏感和耐药的MES细胞生长方面产生协同作用。与未治疗的小鼠相比,用舒林酸治疗4周可有效降低KpB小鼠的肿瘤生长,改善血清中炎性细胞因子和趋化因子水平,并降低卵巢肿瘤中Cox-2的表达。
这些发现为开展将舒林酸重新用于治疗卵巢癌的临床试验提供了支持,可能与紫杉醇联合使用。