Suppr超能文献

沉默SCEL通过激活TGF-β/Smad信号通路促进口腔鳞状细胞癌进展。

Silencing of SCEL promotes progression of oral squamous cell carcinoma via activating TGF-β/Smad pathway.

作者信息

Li Danping, Li Limei, Wu Shu, Zhao Jun, Zhang Haishan, Chen Qiaoli, Mo Yingxi, Matskova Liudmila, Li Ping, Zhou Xiaoying

机构信息

Department of Pathology, College & Hospital of Stomatology, Guangxi Medical University, #10 Shuangyong Road, Nanning, 530021, China.

Ministry of Education, Key Laboratory of High-Incidence-Tumor Prevention & Treatment (Guangxi Medical University), Nanning, China.

出版信息

Discov Oncol. 2025 May 15;16(1):770. doi: 10.1007/s12672-025-02423-4.

Abstract

OBJECTIVE

SCEL serves as a precursor protein for the cornified envelope (CE), and its abnormal expression has been identified in various malignancies. Despite this, the functional role and detailed mechanisms of SCEL in oral squamous cell carcinoma (OSCC) remain to be clarified.

METHODS

mRNA and protein expression of SCEL in OSCC cell lines and patient tissues were examined by qRT-PCR and IHC. In vitro and in vivo experiments assessed SCEL's influence on proliferation, apoptosis, cell cycle, ROS production, migration, and invasion. Western blotting was used to analyze SCEL's effect on various signaling pathways, and a dual-luciferase reporter assay identified the miRNA that targets SCEL.

RESULTS

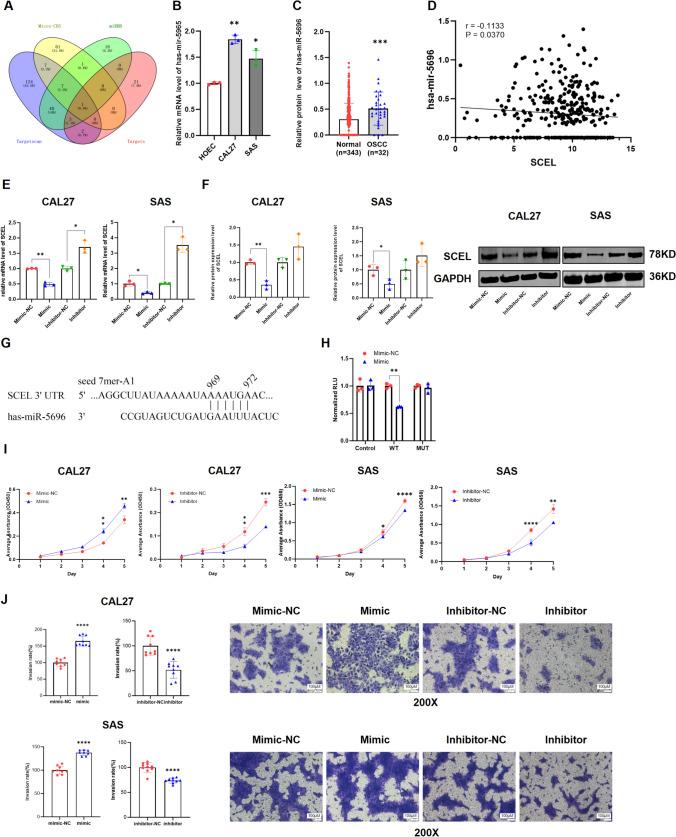
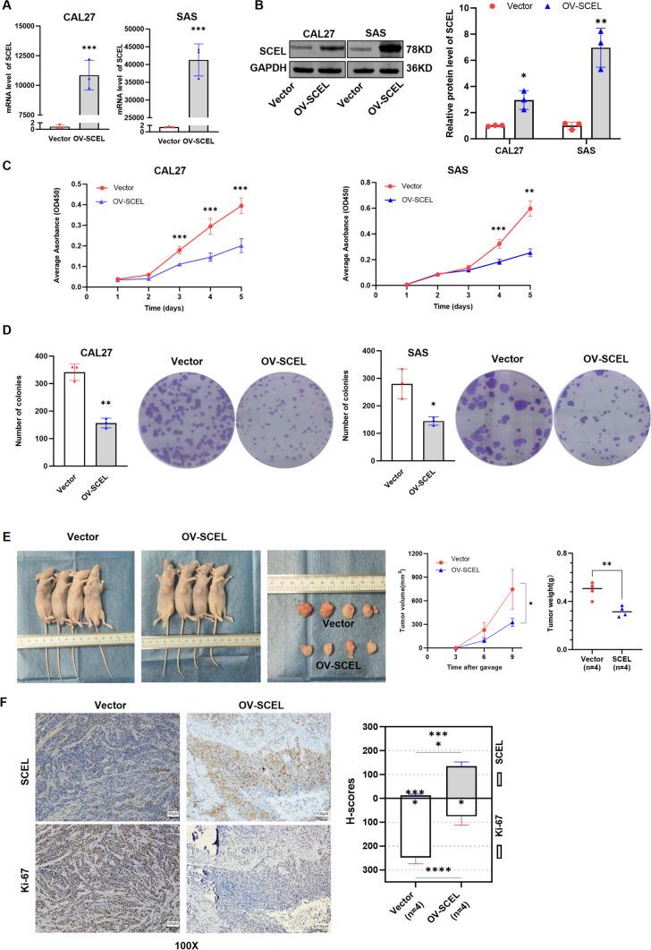
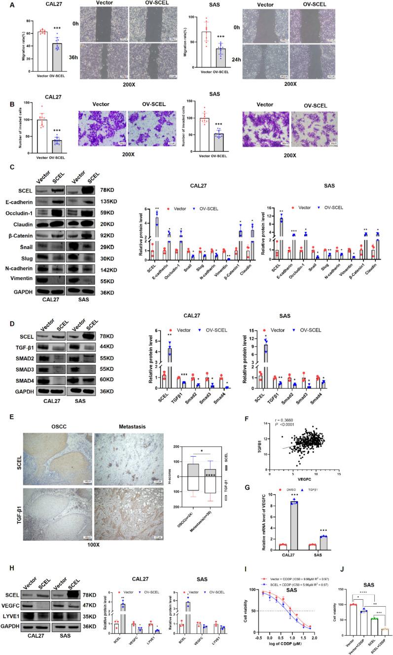
SCEL is downregulated in OSCC, which correlates with reduced tumor cell differentiation and lymph node metastasis. SCEL inhibits OSCC proliferation, induces cell cycle arrest, apoptosis, and ROS production. SCEL suppresses the TGF-β/Smad pathway, inhibiting migration and invasion. SCEL also triggers MET and downregulates VEGFC, reducing lymph node metastasis probability. miR-5696 inhibitor effectively inhibits OSCC proliferation and invasion by targeting SCEL.

CONCLUSION

SCEL acts as a tumor suppressor in OSCC, influencing its progression and potential metastasis. Loss of SCEL facilitates OSCC progression by activating TGF-β/Smad signaling. Upregulating SCEL and silencing miR-5696 hold therapeutic promise for OSCC.

摘要

目的

丝聚蛋白样蛋白(SCEL)作为角质化包膜(CE)的前体蛋白,其异常表达已在多种恶性肿瘤中被发现。尽管如此,SCEL在口腔鳞状细胞癌(OSCC)中的功能作用和详细机制仍有待阐明。

方法

通过qRT-PCR和免疫组化(IHC)检测OSCC细胞系和患者组织中SCEL的mRNA和蛋白表达。体外和体内实验评估SCEL对增殖、凋亡、细胞周期、活性氧(ROS)产生、迁移和侵袭的影响。蛋白质免疫印迹法用于分析SCEL对各种信号通路的作用,双荧光素酶报告基因检测鉴定靶向SCEL的微小RNA(miRNA)。

结果

SCEL在OSCC中表达下调,这与肿瘤细胞分化降低和淋巴结转移相关。SCEL抑制OSCC增殖,诱导细胞周期停滞、凋亡和ROS产生。SCEL抑制转化生长因子-β(TGF-β)/Smad通路,抑制迁移和侵袭。SCEL还触发肝细胞生长因子(MET)并下调血管内皮生长因子C(VEGFC),降低淋巴结转移概率。miR-5696抑制剂通过靶向SCEL有效抑制OSCC增殖和侵袭。

结论

SCEL在OSCC中起肿瘤抑制作用,影响其进展和潜在转移。SCEL缺失通过激活TGF-β/Smad信号促进OSCC进展。上调SCEL和沉默miR-5696对OSCC具有治疗前景。

https://cdn.ncbi.nlm.nih.gov/pmc/blobs/0ae4/12081798/91c7647c4bc5/12672_2025_2423_Fig1_HTML.jpg

文献AI研究员

20分钟写一篇综述,助力文献阅读效率提升50倍。

立即体验

用中文搜PubMed

大模型驱动的PubMed中文搜索引擎

马上搜索

文档翻译

学术文献翻译模型,支持多种主流文档格式。

立即体验