• 文献检索
  • 文档翻译
  • 深度研究
  • 学术资讯
  • Suppr Zotero 插件Zotero 插件
  • 邀请有礼
  • 套餐&价格
  • 历史记录
应用&插件
Suppr Zotero 插件Zotero 插件浏览器插件Mac 客户端Windows 客户端微信小程序
定价
高级版会员购买积分包购买API积分包
服务
文献检索文档翻译深度研究API 文档MCP 服务
关于我们
关于 Suppr公司介绍联系我们用户协议隐私条款
关注我们

Suppr 超能文献

核心技术专利:CN118964589B侵权必究
粤ICP备2023148730 号-1Suppr @ 2026

文献检索

告别复杂PubMed语法,用中文像聊天一样搜索,搜遍4000万医学文献。AI智能推荐,让科研检索更轻松。

立即免费搜索

文件翻译

保留排版,准确专业,支持PDF/Word/PPT等文件格式,支持 12+语言互译。

免费翻译文档

深度研究

AI帮你快速写综述,25分钟生成高质量综述,智能提取关键信息,辅助科研写作。

立即免费体验

反复种植失败女性着床窗期子宫内膜中17β-雌二醇的代谢

Endometrial Metabolism of 17β-Estradiol during the Window of Implantation in Women with Recurrent Implantation Failure.

作者信息

Stevens Brentjens Linda B P M, Delvoux Bert, den Hartog Janneke E, Obukhova Darina, Xanthoulea Sofia, Romano Andrea, van Golde Ron J T

机构信息

Department of Obstetrics and Gynaecology, Maastricht University Medical Centre+, Maastricht, The Netherlands.

GROW Research Institute for Oncology and Reproduction, Maastricht University, Maastricht, The Netherlands.

出版信息

Gynecol Obstet Invest. 2025 May 16:1-12. doi: 10.1159/000546442.

DOI:10.1159/000546442
PMID:40373756
原文链接:https://pmc.ncbi.nlm.nih.gov/articles/PMC12215175/
Abstract

OBJECTIVES

Alterations in 17β-estradiol metabolism are known to potentially impair endometrial receptivity. Previous pioneering studies have investigated the role of endometrial steroid metabolism by determining steroid hormone levels and steroid-metabolizing enzyme activity in endometrial biopsies of patients undergoing IVF. The activity of oxidative and reductive 17β-hydroxysteroid dehydrogenases (17β-HSDs), which catalyze the interconversion between estrone and 17β-estradiol, was found to be similar between IVF patients who - after fresh embryo transfer in the cycle following endometrial biopsy - did and did not become pregnant. However, inhibition of the reductive enzyme 17β-hydroxysteroid dehydrogenase type 1 (17β-HSD1), the most prominent 17β-HSD type in 17β-estradiol formation, was found to differ between groups. The primary objective of this study was to determine oxidative and reductive 17β-HSD enzyme activity in the endometrium of two well-defined groups: IVF patients with recurrent implantation failure (RIF) and control patients.

DESIGN

This is a prospective observational study of IVF patients with RIF (n = 52) and controls (n = 25). Patients undergoing treatment because of pre-implantation genetic testing, a severe male factor, or bilateral tubal pathology were recruited as controls since these conditions did not suggest an endometrial contribution to infertility.

PARTICIPANTS/MATERIALS, SETTING, METHODS: Endometrial biopsies were obtained 5-8 days after a positive urine ovulation test in a natural cycle using a Pipelle catheter. Activity of oxidative and reductive enzymes, inhibition of 17β-HSD1, 5, 7, and 12, and immunostaining of 17β-HSD7 were performed. The formation of 17β-estradiol by reduction of estrone (reductive enzymes), formation of estrone by oxidation of 17β-estradiol (oxidative enzymes), and inhibition of specific 17β-HSD enzymes were determined using high-performance liquid chromatography. Formalin-fixed paraffin-embedded tissue was used for immunostaining. The Student's t test and Mann-Whitney U test were used for statistical analysis. Multivariate analysis was used to determine the influence of confounders.

RESULTS

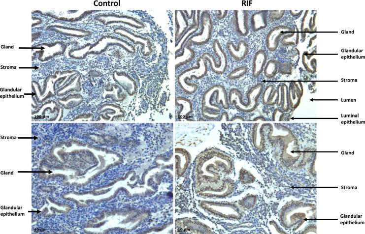
No differences were found in activity of oxidative and reductive 17β-HSD enzymes in RIF patients and controls. Combined inhibition of 17β-HSD5, 7, and 12 was significantly lower in the RIF group compared to controls (p = 0.04). Inhibition of 17β-HSD1 and 17β-HSD7 combined was also significantly lower (more production of 17β-estradiol remained) in the RIF group compared to controls (p < 0.01). However, solely inhibiting 17β-HSD1 or 17β-HSD7 showed no significant difference between groups. Immunostaining revealed the expression of 17β-HSD7 in all endometrial samples.

LIMITATIONS

Results should be interpreted carefully due to possible cycle-to-cycle variation, challenges to translate in vitro findings to biological conditions, and the heterogeneous etiology of RIF.

CONCLUSIONS

Differences in formation of 17β-estradiol in the presence of two specific inhibitors of 17β-HSD1 and 7 between RIF patients and controls were found. Although 17β-HSD1, expressed at the fetal-maternal interface, has been associated with fertility, the potential role of 17β-HSD7 in human implantation has not been previously described. The observed differences between patients with RIF and controls warrant future research on the role of this main enzyme and its lesser-known 17β-HSD type in endometrial receptivity and implantation.

摘要

目的

已知17β - 雌二醇代谢改变可能损害子宫内膜容受性。先前的开创性研究通过测定接受体外受精(IVF)患者子宫内膜活检中的甾体激素水平和甾体代谢酶活性,研究了子宫内膜甾体代谢的作用。在子宫内膜活检后的周期中进行新鲜胚胎移植后怀孕和未怀孕的IVF患者之间,发现催化雌酮和17β - 雌二醇相互转化的氧化型和还原型17β - 羟基甾体脱氢酶(17β - HSDs)的活性相似。然而,发现还原酶17β - 羟基甾体脱氢酶1型(17β - HSD1)(17β - 雌二醇形成中最主要的17β - HSD类型)的抑制作用在两组之间存在差异。本研究的主要目的是确定两个明确组别的子宫内膜中氧化型和还原型17β - HSD酶活性:反复种植失败(RIF)的IVF患者和对照组患者。

设计

这是一项对RIF的IVF患者(n = 52)和对照组(n = 25)的前瞻性观察研究。因植入前基因检测、严重男性因素或双侧输卵管病变而接受治疗的患者被招募为对照组,因为这些情况不提示子宫内膜对不孕有影响。

参与者/材料、设置、方法:在自然周期中,尿排卵试验呈阳性后5 - 8天,使用Pipelle导管获取子宫内膜活检样本。进行氧化型和还原型酶活性、17β - HSD1、5、7和12的抑制作用以及17β - HSD7的免疫染色检测。使用高效液相色谱法测定通过雌酮还原形成17β - 雌二醇(还原酶)、通过17β - 雌二醇氧化形成雌酮(氧化酶)以及特定17β - HSD酶的抑制作用。福尔马林固定石蜡包埋组织用于免疫染色。采用Student's t检验和Mann - Whitney U检验进行统计分析。使用多变量分析确定混杂因素的影响。

结果

RIF患者和对照组在氧化型和还原型17β - HSD酶活性方面未发现差异。与对照组相比,RIF组中17β - HSD5、7和12的联合抑制作用显著更低(p = 0.04)。与对照组相比,RIF组中17β - HSD1和17β - HSD7联合抑制作用也显著更低(剩余的17β - 雌二醇生成更多)(p < 0.01)。然而,单独抑制17β - HSD1或17β - HSD7在两组之间未显示出显著差异。免疫染色显示所有子宫内膜样本中均有17β - HSD7表达。

局限性

由于可能存在的周期间差异、将体外研究结果转化为生物学条件的挑战以及RIF病因的异质性,结果应谨慎解读。

结论

在RIF患者和对照组之间,发现了在存在17β - HSD1和7的两种特异性抑制剂时17β - 雌二醇形成的差异。尽管在胎儿 - 母体界面表达的17β - HSD1与生育能力有关,但17β - HSD7在人类植入中的潜在作用此前尚未见描述。RIF患者与对照组之间观察到的差异值得未来对这种主要酶及其鲜为人知的17β - HSD类型在子宫内膜容受性和植入中的作用进行研究。

https://cdn.ncbi.nlm.nih.gov/pmc/blobs/19fc/12215175/57c318428c80/goi-2025-0000-0000-546442_F05.jpg
https://cdn.ncbi.nlm.nih.gov/pmc/blobs/19fc/12215175/1ffd84adc406/goi-2025-0000-0000-546442_F01.jpg
https://cdn.ncbi.nlm.nih.gov/pmc/blobs/19fc/12215175/0a0a3045a3bc/goi-2025-0000-0000-546442_F02.jpg
https://cdn.ncbi.nlm.nih.gov/pmc/blobs/19fc/12215175/9f4fb2d94076/goi-2025-0000-0000-546442_F03.jpg
https://cdn.ncbi.nlm.nih.gov/pmc/blobs/19fc/12215175/ab46893677ca/goi-2025-0000-0000-546442_F04.jpg
https://cdn.ncbi.nlm.nih.gov/pmc/blobs/19fc/12215175/57c318428c80/goi-2025-0000-0000-546442_F05.jpg
https://cdn.ncbi.nlm.nih.gov/pmc/blobs/19fc/12215175/1ffd84adc406/goi-2025-0000-0000-546442_F01.jpg
https://cdn.ncbi.nlm.nih.gov/pmc/blobs/19fc/12215175/0a0a3045a3bc/goi-2025-0000-0000-546442_F02.jpg
https://cdn.ncbi.nlm.nih.gov/pmc/blobs/19fc/12215175/9f4fb2d94076/goi-2025-0000-0000-546442_F03.jpg
https://cdn.ncbi.nlm.nih.gov/pmc/blobs/19fc/12215175/ab46893677ca/goi-2025-0000-0000-546442_F04.jpg
https://cdn.ncbi.nlm.nih.gov/pmc/blobs/19fc/12215175/57c318428c80/goi-2025-0000-0000-546442_F05.jpg

相似文献

1
Endometrial Metabolism of 17β-Estradiol during the Window of Implantation in Women with Recurrent Implantation Failure.反复种植失败女性着床窗期子宫内膜中17β-雌二醇的代谢
Gynecol Obstet Invest. 2025 May 16:1-12. doi: 10.1159/000546442.
2
Cycle regimens for frozen-thawed embryo transfer.冻融胚胎移植的周期方案。
Cochrane Database Syst Rev. 2017 Jul 5;7(7):CD003414. doi: 10.1002/14651858.CD003414.pub3.
3
Estradiol and progesterone levels in early pregnancy after modified natural, programmed, and gonadotrophin-stimulated frozen embryo transfer cycles: a randomized controlled trial.改良自然周期、程序化周期及促性腺激素刺激的冷冻胚胎移植周期后早期妊娠中的雌二醇和孕酮水平:一项随机对照试验
Hum Reprod. 2025 Jul 1;40(7):1291-1304. doi: 10.1093/humrep/deaf083.
4
Endometrial injury for pregnancy following sexual intercourse or intrauterine insemination.性交或宫内人工授精后子宫内膜损伤与妊娠
Cochrane Database Syst Rev. 2016 Jun 14(6):CD011424. doi: 10.1002/14651858.CD011424.pub2.
5
Systemic pharmacological treatments for chronic plaque psoriasis: a network meta-analysis.系统性药理学治疗慢性斑块状银屑病:网络荟萃分析。
Cochrane Database Syst Rev. 2021 Apr 19;4(4):CD011535. doi: 10.1002/14651858.CD011535.pub4.
6
Endometrial injury for pregnancy following sexual intercourse or intrauterine insemination.性交或宫腔内人工授精后妊娠的子宫内膜损伤。
Cochrane Database Syst Rev. 2022 Oct 24;10(10):CD011424. doi: 10.1002/14651858.CD011424.pub4.
7
The clinical impact of oligozoospermia in oocyte donation ICSI cycles using preimplantation genetic test for aneuploidy.在使用植入前非整倍体基因检测的卵母细胞捐赠ICSI周期中,少精子症的临床影响。
Hum Reprod. 2025 May 13. doi: 10.1093/humrep/deaf080.
8
Endometrial injury to overcome recurrent embryo implantation failure: a systematic review and meta-analysis.克服反复胚胎着床失败的子宫内膜损伤:系统评价和荟萃分析。
Reprod Biomed Online. 2012 Dec;25(6):561-71. doi: 10.1016/j.rbmo.2012.08.005. Epub 2012 Sep 12.
9
Systemic pharmacological treatments for chronic plaque psoriasis: a network meta-analysis.慢性斑块状银屑病的全身药理学治疗:一项网状荟萃分析。
Cochrane Database Syst Rev. 2017 Dec 22;12(12):CD011535. doi: 10.1002/14651858.CD011535.pub2.
10
Systemic pharmacological treatments for chronic plaque psoriasis: a network meta-analysis.慢性斑块状银屑病的全身药理学治疗:一项网状Meta分析。
Cochrane Database Syst Rev. 2020 Jan 9;1(1):CD011535. doi: 10.1002/14651858.CD011535.pub3.

引用本文的文献

1
Precision Therapeutic and Preventive Molecular Strategies for Endometriosis-Associated Infertility.子宫内膜异位症相关性不孕症的精准治疗与预防分子策略
Int J Mol Sci. 2025 Aug 9;26(16):7706. doi: 10.3390/ijms26167706.

本文引用的文献

1
Aging promotes accumulation of senescent and multiciliated cells in human endometrial epithelium.衰老促进人类子宫内膜上皮中衰老细胞和多纤毛细胞的积累。
Hum Reprod Open. 2024 Aug 12;2024(3):hoae048. doi: 10.1093/hropen/hoae048. eCollection 2024.
2
Local production of 17β-oestradiol in the endometrium during the implantation window: a pilot study.在着床窗口期子宫内膜中 17β-雌二醇的局部产生:一项初步研究。
Reprod Fertil. 2023 Dec 13;4(4). doi: 10.1530/RAF-23-0065. Print 2023 Oct 1.
3
ESHRE good practice recommendations on recurrent implantation failure.
欧洲人类生殖与胚胎学会关于反复种植失败的良好实践建议。
Hum Reprod Open. 2023 Jun 15;2023(3):hoad023. doi: 10.1093/hropen/hoad023. eCollection 2023.
4
Opening the black box: why do euploid blastocysts fail to implant? A systematic review and meta-analysis.打开黑匣子:整倍体囊胚为何着床失败?一项系统评价与荟萃分析。
Hum Reprod Update. 2023 Sep 5;29(5):570-633. doi: 10.1093/humupd/dmad010.
5
An integrative analysis of endometrial steroid metabolism and transcriptome in relation to endometrial receptivity in in vitro fertilization patients.在体外受精患者中,与子宫内膜容受性相关的子宫内膜甾体代谢和转录组的综合分析。
F S Sci. 2023 Aug;4(3):219-228. doi: 10.1016/j.xfss.2023.04.003. Epub 2023 May 2.
6
Generating human blastoids modeling blastocyst-stage embryos and implantation.生成模拟囊胚期胚胎和着床的人类类囊胚体。
Nat Protoc. 2023 May;18(5):1584-1620. doi: 10.1038/s41596-023-00802-1. Epub 2023 Feb 15.
7
Allred Scoring of ER-IHC Stained Whole-Slide Images for Hormone Receptor Status in Breast Carcinoma.用于乳腺癌激素受体状态的雌激素受体免疫组化染色全切片图像的阿尔雷德评分
Diagnostics (Basel). 2022 Dec 8;12(12):3093. doi: 10.3390/diagnostics12123093.
8
Endometrial factors in the implantation failure spectrum: protocol of a MUltidisciplinary observational cohort study in women with Repeated Implantation failure and recurrent Miscarriage (MURIM Study).子宫内膜因素在着床失败谱中的作用:一项针对反复着床失败和复发性流产患者的多学科观察性队列研究方案(MURIM 研究)。
BMJ Open. 2022 Jun 8;12(6):e056714. doi: 10.1136/bmjopen-2021-056714.
9
Analysis of serum and endometrial progesterone in determining endometrial receptivity.血清和子宫内膜孕酮分析在判断子宫内膜容受性中的作用。
Hum Reprod. 2021 Oct 18;36(11):2861-2870. doi: 10.1093/humrep/deab184.
10
Rate of true recurrent implantation failure is low: results of three successive frozen euploid single embryo transfers.真正的复发性着床失败率较低:连续三次冷冻整倍体单胚胎移植的结果。
Fertil Steril. 2021 Jan;115(1):45-53. doi: 10.1016/j.fertnstert.2020.07.002. Epub 2020 Oct 16.