Suppr超能文献

维生素B12对大鼠实验性蛛网膜下腔出血模型血管变化影响的微观、体视学和生化研究

Microscopic, stereological, and biochemical investigation of the effects of vitamin B12 on vascular changes in an experimental subarachnoid hemorrhage model in rats.

作者信息

Yücel Murat, Çetin Eyüp, Demirtaş Cumaali, Sönmez Cansu, Beyaztaş Hakan, Güler Eray Metin

机构信息

Neurosurgery Clinic, Yalova University Faculty of Medicine, Yalova, Turkey.

Department of Neurosurgery, Health Sciences University, Haydarpaşa Numune Health Application and Research Center, Üsküdar, Istanbul, Turkey.

出版信息

Neurosurg Rev. 2025 May 15;48(1):419. doi: 10.1007/s10143-025-03576-0.

Abstract

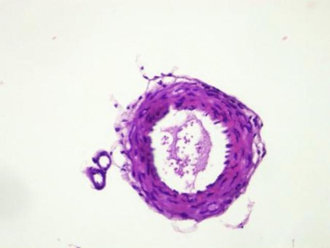
Spontaneous subarachnoid hemorrhage (SAH) is a severe neurological condition with significant morbidity and mortality. Cerebral vasospasm, a common complication of SAH, is a leading cause of delayed ischemic injury. Oxidative stress and inflammation are central to the pathophysiology of vasospasm. Vitamin B12, a water-soluble vitamin with antioxidant and anti-inflammatory properties, has shown potential neuroprotective effects in experimental models. This study aimed to investigate the effects of vitamin B12 on vascular changes, oxidative stress, and inflammatory markers in an experimental rat model of SAH. Eighteen Sprague Dawley rats were divided into three groups: a control group, an SAH group, and an SAH + B12 group. SAH was induced by injecting autologous blood into the cisterna magna. The SAH + B12 group received intraperitoneal B12 (15 mcg/kg) at 1 and 24 h post-SAH. Biochemical parameters, including total oxidant status (TOS), total antioxidant status (TAS), oxidative stress index (OSI), and inflammatory cytokines (IL-1β, IL-6, TNF-α), were analyzed. Histopathological evaluation of the basilar artery was performed, measuring arterial diameter and wall thickness. The SAH group exhibited significant elevations in TOS, OSI, IL-1β, IL-6, and TNF-α levels, along with decreased TAS, indicating heightened oxidative stress and inflammation. The SAH + B12 group showed significant reductions in TOS, OSI, and inflammatory cytokines compared to the SAH group (p < 0.05), alongside improved TAS levels. Histopathological findings demonstrated reduced arterial wall thickening and preserved lumen diameter in the SAH + B12 group compared to the untreated SAH group. Although the differences in arterial diameter and wall thickness were not statistically significant, the findings suggest that B12 may mitigate SAH-induced vascular injury by reducing oxidative stress and inflammation. These results highlight B12's potential as a therapeutic agent for SAH-related vasospasm. Further studies are needed to validate these findings in larger populations and clinical settings.

摘要

自发性蛛网膜下腔出血(SAH)是一种严重的神经系统疾病,具有较高的发病率和死亡率。脑血管痉挛是SAH的常见并发症,是迟发性缺血性损伤的主要原因。氧化应激和炎症是血管痉挛病理生理学的核心。维生素B12是一种具有抗氧化和抗炎特性的水溶性维生素,在实验模型中已显示出潜在的神经保护作用。本研究旨在探讨维生素B12对SAH实验大鼠模型中血管变化、氧化应激和炎症标志物的影响。18只Sprague Dawley大鼠分为三组:对照组、SAH组和SAH + B12组。通过将自体血注入小脑延髓池诱导SAH。SAH + B12组在SAH后1小时和24小时接受腹腔注射B12(15 mcg/kg)。分析了包括总氧化剂状态(TOS)、总抗氧化剂状态(TAS)、氧化应激指数(OSI)和炎性细胞因子(IL-1β、IL-6、TNF-α)在内的生化参数。对基底动脉进行组织病理学评估,测量动脉直径和壁厚。SAH组的TOS、OSI、IL-1β、IL-6和TNF-α水平显著升高,同时TAS降低,表明氧化应激和炎症加剧。与SAH组相比,SAH + B12组的TOS、OSI和炎性细胞因子显著降低(p < 0.05),同时TAS水平有所改善。组织病理学结果显示,与未治疗的SAH组相比,SAH + B12组的动脉壁增厚减轻,管腔直径得以保留。尽管动脉直径和壁厚的差异无统计学意义,但研究结果表明,B12可能通过降低氧化应激和炎症来减轻SAH诱导的血管损伤。这些结果突出了B12作为SAH相关血管痉挛治疗药物的潜力。需要进一步的研究在更大的人群和临床环境中验证这些发现。

https://cdn.ncbi.nlm.nih.gov/pmc/blobs/4ee7/12081468/e0f327698068/10143_2025_3576_Fig1_HTML.jpg

文献检索

告别复杂PubMed语法,用中文像聊天一样搜索,搜遍4000万医学文献。AI智能推荐,让科研检索更轻松。

立即免费搜索

文件翻译

保留排版,准确专业,支持PDF/Word/PPT等文件格式,支持 12+语言互译。

免费翻译文档

深度研究

AI帮你快速写综述,25分钟生成高质量综述,智能提取关键信息,辅助科研写作。

立即免费体验