Hammad Seroor Jadah Raafat, Al Aghawani Jood A
Pediatric Neurology, Bahrain Defence Force Hospital, Riffa, BHR.
Medicine and Surgery, Royal College of Surgeons in Ireland - Bahrain, Busaiteen, BHR.
Cureus. 2025 Apr 15;17(4):e82297. doi: 10.7759/cureus.82297. eCollection 2025 Apr.
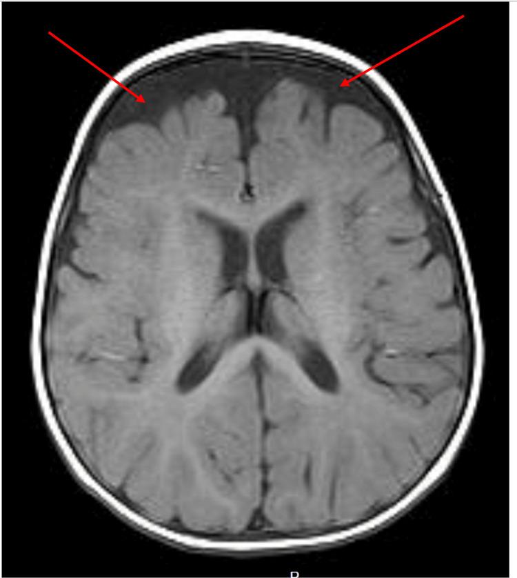
The rare ARV1 gene encodes a protein that is crucial for homeostasis and sterol metabolism. It is vital for maintaining membrane integrity and cellular stability. Given the limited epidemiological data, it is evident that ARV1 mutations are rare, showing significant neurological and systemic manifestations, including developmental delays, epilepsy, or cardiomyopathy. We report a case of a six-month-old female presenting with global developmental delay, hypotonia, and poor fine motor milestones. MRI revealed bifrontal subarachnoid spaces and abnormalities in the right parietal lobe. A homozygous pathogenic variant in the ARV1 gene (p.Phe144Argfs*5) was confirmed through whole exome sequencing (WES), thereby diagnosing autosomal recessive developmental and epileptic encephalopathy-38 (DEE38). Through this report, we aim to highlight the importance of early diagnosis in rare genetic disorders and increase awareness among healthcare professionals.
罕见的ARV1基因编码一种对体内平衡和固醇代谢至关重要的蛋白质。它对于维持膜完整性和细胞稳定性至关重要。鉴于流行病学数据有限,很明显ARV1突变很少见,会表现出明显的神经和全身表现,包括发育迟缓、癫痫或心肌病。我们报告一例6个月大女性病例,表现为全面发育迟缓、肌张力减退和精细运动里程碑发育不良。MRI显示双侧额叶蛛网膜下腔及右侧顶叶异常。通过全外显子组测序(WES)证实了ARV1基因中的一个纯合致病变异(p.Phe144Argfs*5),从而诊断为常染色体隐性发育性和癫痫性脑病38型(DEE38)。通过本报告,我们旨在强调罕见遗传病早期诊断的重要性,并提高医护人员的认识。