Suppr超能文献

病例报告——气管切开患者永久性气管造口管移入左主支气管的预防策略

Case Report- Prevention strategies for permanent tracheostomy tube migration into the left main bronchus in tracheostomized patients.

作者信息

Khallikane Said, Bentahar Amine, Salek Monsif, Belhadj Ayoub, Aissaoui Younès

机构信息

Faculty of Medicine and Pharmacy, Cadi Ayyad University, Marrakech, 40000, Morocco.

Anesthesiology-ICU-Emergency Department, Avicenna Military Hospital, Marrakech, 40000, Morocco.

出版信息

F1000Res. 2025 Apr 1;14:372. doi: 10.12688/f1000research.163217.1. eCollection 2025.

Abstract

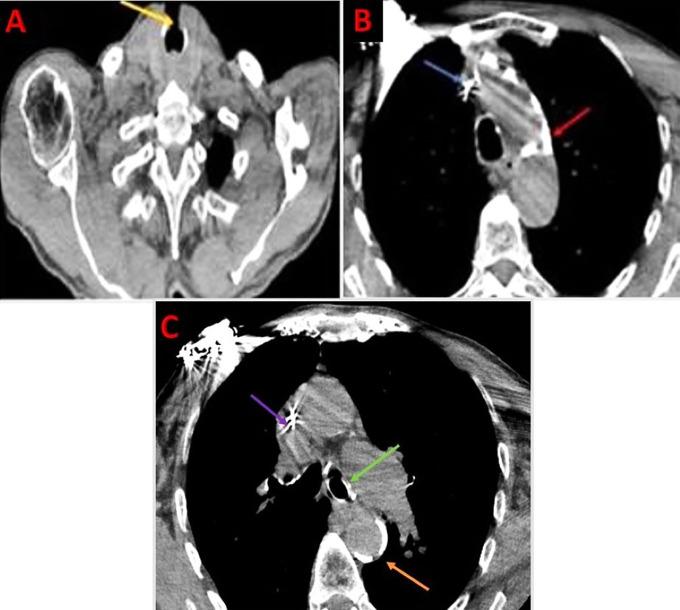
Tracheostomy tube migration is a rare but potentially life-threatening complication. We present the case of a 66-year-old male with chronic obstructive pulmonary disease, dual-chamber pacemaker implantation for chronic ischemic cardiomyopathy, and supraglottic squamous cell carcinoma. The patient developed respiratory distress due to intrabronchial migration of the tracheostomy tube. Initial evaluation revealed significant respiratory effort, inspiratory stridor, and an absent tube at the stoma site. Imaging and bronchoscopy confirmed the tube's presence in the left main bronchus with associated mucosal inflammation. The patient underwent bronchoscopic-guided tube removal and successful repositioning of a cuffed tracheostomy tube under spontaneous ventilation anaesthesia. Following stabilization, he was discharged with plans for a permanent tracheostomy. Tracheostomy tube migration presents a significant diagnostic and therapeutic challenge, particularly given the scarcity of studies involving adults with this complication. This case highlights the importance of early recognition, prompt imaging-especially bronchoscopy-and tailored management strategies, while emphasizing the active involvement of the patient and family in the care pathway. It also underscores the necessity for vigilant monitoring to prevent severe, potentially fatal, complications.

摘要

气管造口管移位是一种罕见但可能危及生命的并发症。我们报告一例66岁男性患者,患有慢性阻塞性肺疾病,因慢性缺血性心肌病植入双腔起搏器,并患有声门上鳞状细胞癌。该患者因气管造口管支气管内移位而出现呼吸窘迫。初步评估显示呼吸费力明显、吸气性喘鸣,且造口部位无导管。影像学检查和支气管镜检查证实导管位于左主支气管并伴有相关黏膜炎症。患者在自主通气麻醉下接受了支气管镜引导下的导管取出术,并成功重新放置了带套囊的气管造口管。病情稳定后,他出院了,并计划进行永久性气管造口术。气管造口管移位带来了重大的诊断和治疗挑战,尤其是考虑到涉及该并发症成人患者的研究较少。本病例强调了早期识别、及时进行影像学检查(尤其是支气管镜检查)以及制定个性化管理策略的重要性,同时强调患者及其家属在护理过程中的积极参与。它还强调了 vigilant monitoring to prevent severe, potentially fatal, complications.(此处原文有误,推测可能是“vigilant monitoring to prevent severe, potentially fatal, complications”,直译为“警惕监测以预防严重的、可能致命的并发症”)对预防严重的、可能致命的并发症进行密切监测的必要性。

https://cdn.ncbi.nlm.nih.gov/pmc/blobs/80e5/12079324/d0749fff459a/f1000research-14-179527-g0000.jpg

文献检索

告别复杂PubMed语法,用中文像聊天一样搜索,搜遍4000万医学文献。AI智能推荐,让科研检索更轻松。

立即免费搜索

文件翻译

保留排版,准确专业,支持PDF/Word/PPT等文件格式,支持 12+语言互译。

免费翻译文档

深度研究

AI帮你快速写综述,25分钟生成高质量综述,智能提取关键信息,辅助科研写作。

立即免费体验