• 文献检索
  • 文档翻译
  • 深度研究
  • 学术资讯
  • Suppr Zotero 插件Zotero 插件
  • 邀请有礼
  • 套餐&价格
  • 历史记录
应用&插件
Suppr Zotero 插件Zotero 插件浏览器插件Mac 客户端Windows 客户端微信小程序
定价
高级版会员购买积分包购买API积分包
服务
文献检索文档翻译深度研究API 文档MCP 服务
关于我们
关于 Suppr公司介绍联系我们用户协议隐私条款
关注我们

Suppr 超能文献

核心技术专利:CN118964589B侵权必究
粤ICP备2023148730 号-1Suppr @ 2026

文献检索

告别复杂PubMed语法,用中文像聊天一样搜索,搜遍4000万医学文献。AI智能推荐,让科研检索更轻松。

立即免费搜索

文件翻译

保留排版,准确专业,支持PDF/Word/PPT等文件格式,支持 12+语言互译。

免费翻译文档

深度研究

AI帮你快速写综述,25分钟生成高质量综述,智能提取关键信息,辅助科研写作。

立即免费体验

机械和化学定义的聚乙二醇水凝胶提高了人类心脏发育研究的可重复性。

Mechanically and Chemically Defined PEG Hydrogels Improve Reproducibility in Human Cardioid Development.

作者信息

Song Yuanhui, Seitz Michael, Kowalczewski Andrew, Mai Nhu Y, Jain Era, Yang Huaxiao, Ma Zhen

机构信息

Department of Biomedical & Chemical Engineering, Syracuse University, Syracuse, NY, 13244, USA.

BioInspired Institute for Material and Living Systems, Syracuse University, Syracuse, NY, 13244, USA.

出版信息

Adv Healthc Mater. 2025 Jun;14(16):e2403997. doi: 10.1002/adhm.202403997. Epub 2025 May 16.

DOI:10.1002/adhm.202403997
PMID:40376871
原文链接:https://pmc.ncbi.nlm.nih.gov/articles/PMC12184082/
Abstract

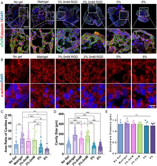
Cardioids are 3D self-organized heart organoids directly derived from induced pluripotent stem cells (hiPSCs) aggregates. The growth and culture of cardioids is either conducted in suspension culture or heavily relies on Matrigel encapsulation. Despite the significant advancements in cardioid technology, reproducibility remains a major challenge, limiting their widespread use in both basic research and translational applications. Here, for the first time, we employed synthetic, matrix metalloproteinase (MMP)-degradable polyethylene glycol (PEG)-based hydrogels to define the effect of mechanical and biochemical cues on cardioid development. Successful cardiac differentiation is demonstrated in all the hydrogel conditions, while cardioid cultured in optimized PEG hydrogel (3 wt.% PEG-2mM RGD) underwent similar morphological development and comparable tissue functions to those cultured in Matrigel. Matrix stiffness and cell adhesion motif play a critical role in cardioid development, nascent chamber formation, contractile physiology, and endothelial cell gene enrichment. More importantly, synthetic hydrogel improved the reproducibility in cardioid properties compared to traditional suspension culture and Matrigel encapsulation. Therefore, PEG-based hydrogel has the potential to be used as an alternative to Matrigel for human cardioid culture in a variety of clinical applications including cell therapy and tissue engineering.

摘要

类心脏球体是直接从诱导多能干细胞(hiPSC)聚集体中衍生出来的3D自组织心脏类器官。类心脏球体的生长和培养要么在悬浮培养中进行,要么严重依赖基质胶包封。尽管类心脏球体技术取得了重大进展,但可重复性仍然是一个主要挑战,限制了它们在基础研究和转化应用中的广泛使用。在这里,我们首次使用了基于合成的、可被基质金属蛋白酶(MMP)降解的聚乙二醇(PEG)水凝胶来确定机械和生化信号对类心脏球体发育的影响。在所有水凝胶条件下均证明了成功的心脏分化,而在优化的PEG水凝胶(3 wt.% PEG-2mM RGD)中培养的类心脏球体与在基质胶中培养的类心脏球体经历了相似的形态发育和相当的组织功能。基质硬度和细胞黏附基序在类心脏球体发育、新生腔室形成、收缩生理学和内皮细胞基因富集方面起着关键作用。更重要的是,与传统的悬浮培养和基质胶包封相比,合成水凝胶提高了类心脏球体特性的可重复性。因此,基于PEG的水凝胶有潜力在包括细胞治疗和组织工程在内的各种临床应用中作为基质胶的替代品用于人类类心脏球体培养。

https://cdn.ncbi.nlm.nih.gov/pmc/blobs/777c/12184082/424fc2963df7/ADHM-14-0-g007.jpg
https://cdn.ncbi.nlm.nih.gov/pmc/blobs/777c/12184082/843e895fb7ff/ADHM-14-0-g004.jpg
https://cdn.ncbi.nlm.nih.gov/pmc/blobs/777c/12184082/8235847c8b64/ADHM-14-0-g002.jpg
https://cdn.ncbi.nlm.nih.gov/pmc/blobs/777c/12184082/b6d1dbe3df6c/ADHM-14-0-g003.jpg
https://cdn.ncbi.nlm.nih.gov/pmc/blobs/777c/12184082/caa5e24dcb0a/ADHM-14-0-g005.jpg
https://cdn.ncbi.nlm.nih.gov/pmc/blobs/777c/12184082/c8077a0b0f5e/ADHM-14-0-g006.jpg
https://cdn.ncbi.nlm.nih.gov/pmc/blobs/777c/12184082/424fc2963df7/ADHM-14-0-g007.jpg
https://cdn.ncbi.nlm.nih.gov/pmc/blobs/777c/12184082/843e895fb7ff/ADHM-14-0-g004.jpg
https://cdn.ncbi.nlm.nih.gov/pmc/blobs/777c/12184082/8235847c8b64/ADHM-14-0-g002.jpg
https://cdn.ncbi.nlm.nih.gov/pmc/blobs/777c/12184082/b6d1dbe3df6c/ADHM-14-0-g003.jpg
https://cdn.ncbi.nlm.nih.gov/pmc/blobs/777c/12184082/caa5e24dcb0a/ADHM-14-0-g005.jpg
https://cdn.ncbi.nlm.nih.gov/pmc/blobs/777c/12184082/c8077a0b0f5e/ADHM-14-0-g006.jpg
https://cdn.ncbi.nlm.nih.gov/pmc/blobs/777c/12184082/424fc2963df7/ADHM-14-0-g007.jpg

相似文献

1
Mechanically and Chemically Defined PEG Hydrogels Improve Reproducibility in Human Cardioid Development.机械和化学定义的聚乙二醇水凝胶提高了人类心脏发育研究的可重复性。
Adv Healthc Mater. 2025 Jun;14(16):e2403997. doi: 10.1002/adhm.202403997. Epub 2025 May 16.
2
Engineered hydrogel biomaterials facilitate lung progenitor cell differentiation from induced pluripotent stem cells.工程化水凝胶生物材料促进诱导多能干细胞向肺祖细胞分化。
Am J Physiol Lung Cell Mol Physiol. 2025 Mar 1;328(3):L379-L388. doi: 10.1152/ajplung.00419.2024. Epub 2025 Jan 30.
3
Extracellular-Matrix-Mimetic Hydrogels by Using Nanomaterials.利用纳米材料制备的细胞外基质模拟水凝胶
Int J Mol Sci. 2025 May 22;26(11):4987. doi: 10.3390/ijms26114987.
4
Addressing bioreactor hiPSC aggregate stability, maintenance and scaleup challenges using a design of experiment approach.采用实验设计方法解决生物反应器 hiPSC 聚集体稳定性、维持和放大的挑战。
Stem Cell Res Ther. 2024 Jul 2;15(1):191. doi: 10.1186/s13287-024-03802-4.
5
Development of an electroconductive Heart-on-a-chip model to investigate cellular and molecular response of human cardiac tissue to gold nanomaterials.开发一种导电芯片上心脏模型,以研究人体心脏组织对金纳米材料的细胞和分子反应。
Biomaterials. 2025 Sep;320:123275. doi: 10.1016/j.biomaterials.2025.123275. Epub 2025 Mar 19.
6
Recent Advances in Graphene Oxide-Based on Organoid Culture as Disease Model and Cell Behavior - A Systematic Literature Review.基于类器官培养的氧化石墨烯在疾病模型和细胞行为中的最新进展——系统文献综述。
Int J Nanomedicine. 2024 Jun 19;19:6201-6228. doi: 10.2147/IJN.S455940. eCollection 2024.
7
A matrix-free 3D in vitro follicle culture system in mice exhibits enhanced oocyte meiotic and developmental competence compared to hydrogel encapsulation.与水凝胶包封相比,小鼠无基质三维体外卵泡培养系统表现出增强的卵母细胞减数分裂和发育能力。
Mol Hum Reprod. 2025 Jul 3;31(3). doi: 10.1093/molehr/gaaf029.
8
Biofunctionalized gelatin hydrogels support development and maturation of iPSC-derived cortical organoids.生物功能化明胶水凝胶支持 iPSC 衍生的皮质类器官的发育和成熟。
Cell Rep. 2024 Nov 26;43(11):114874. doi: 10.1016/j.celrep.2024.114874. Epub 2024 Oct 17.
9
Optimizing GBM organoid construction with hydrogel-based models: GelMA-HAMA scaffold supports GBM organoids with clonal growth for drug screening.利用水凝胶模型优化胶质母细胞瘤类器官构建:GelMA-HAMA支架支持具有克隆生长能力的胶质母细胞瘤类器官用于药物筛选。
Cell Transplant. 2025 Jan-Dec;34:9636897251347537. doi: 10.1177/09636897251347537. Epub 2025 Jun 24.
10
Biocompatibility Assessment of an Injectable Carbon Nanotube-Functionalized Reverse Thermal Gel for Cardiac Tissue Engineering Applications.用于心脏组织工程应用的可注射碳纳米管功能化反向热凝胶的生物相容性评估
ACS Appl Bio Mater. 2025 Jun 16;8(6):4743-4755. doi: 10.1021/acsabm.5c00125. Epub 2025 May 9.

本文引用的文献

1
Cross-site reproducibility of human cortical organoids reveals consistent cell type composition and architecture.人脑类器官的跨站点重现性揭示了一致的细胞类型组成和结构。
Stem Cell Reports. 2024 Sep 10;19(9):1351-1367. doi: 10.1016/j.stemcr.2024.07.008. Epub 2024 Aug 22.
2
Guidelines for Manufacturing and Application of Organoids: Kidney.类器官制造与应用指南:肾脏
Int J Stem Cells. 2024 May 30;17(2):141-146. doi: 10.15283/ijsc24040. Epub 2024 May 20.
3
A patterned human primitive heart organoid model generated by pluripotent stem cell self-organization.
由多能干细胞自我组织生成的具有图案化的人类原始心脏类器官模型。
Nat Commun. 2023 Dec 12;14(1):8245. doi: 10.1038/s41467-023-43999-1.
4
Multi-chamber cardioids unravel human heart development and cardiac defects.多腔心超心形线揭示人类心脏发育和心脏缺陷。
Cell. 2023 Dec 7;186(25):5587-5605.e27. doi: 10.1016/j.cell.2023.10.030. Epub 2023 Nov 28.
5
Bioactive and chemically defined hydrogels with tunable stiffness guide cerebral organoid formation and modulate multi-omics plasticity in cerebral organoids.具有可调硬度的生物活性和化学定义的水凝胶可指导类脑器官的形成,并调节类脑器官中的多组学可塑性。
Acta Biomater. 2023 Nov;171:223-238. doi: 10.1016/j.actbio.2023.09.040. Epub 2023 Oct 2.
6
Vascular cells improve functionality of human cardiac organoids.血管细胞可改善人心肌类器官的功能。
Cell Rep. 2023 May 30;42(5):112322. doi: 10.1016/j.celrep.2023.112322. Epub 2023 Apr 26.
7
Robust generation of human-chambered cardiac organoids from pluripotent stem cells for improved modelling of cardiovascular diseases.从多能干细胞中生成稳健的人腔心脏类器官,用于改善心血管疾病的建模。
Stem Cell Res Ther. 2022 Dec 21;13(1):529. doi: 10.1186/s13287-022-03215-1.
8
Calcium handling maturation and adaptation to increased substrate stiffness in human iPSC-derived cardiomyocytes: The impact of full-length dystrophin deficiency.人诱导多能干细胞衍生心肌细胞中钙处理的成熟及对底物硬度增加的适应性:全长肌营养不良蛋白缺乏的影响
Front Physiol. 2022 Nov 7;13:1030920. doi: 10.3389/fphys.2022.1030920. eCollection 2022.
9
Geometric engineering of organoid culture for enhanced organogenesis in a dish.类器官培养的几何工程化以增强器官发生。
Nat Methods. 2022 Nov;19(11):1449-1460. doi: 10.1038/s41592-022-01643-8. Epub 2022 Oct 24.
10
Functional microvascularization of human myocardium .人类心肌的功能性微血管化。
Cell Rep Methods. 2022 Aug 29;2(9):100280. doi: 10.1016/j.crmeth.2022.100280. eCollection 2022 Sep 19.