• 文献检索
  • 文档翻译
  • 深度研究
  • 学术资讯
  • Suppr Zotero 插件Zotero 插件
  • 邀请有礼
  • 套餐&价格
  • 历史记录
应用&插件
Suppr Zotero 插件Zotero 插件浏览器插件Mac 客户端Windows 客户端微信小程序
定价
高级版会员购买积分包购买API积分包
服务
文献检索文档翻译深度研究API 文档MCP 服务
关于我们
关于 Suppr公司介绍联系我们用户协议隐私条款
关注我们

Suppr 超能文献

核心技术专利:CN118964589B侵权必究
粤ICP备2023148730 号-1Suppr @ 2026

文献检索

告别复杂PubMed语法,用中文像聊天一样搜索,搜遍4000万医学文献。AI智能推荐,让科研检索更轻松。

立即免费搜索

文件翻译

保留排版,准确专业,支持PDF/Word/PPT等文件格式,支持 12+语言互译。

免费翻译文档

深度研究

AI帮你快速写综述,25分钟生成高质量综述,智能提取关键信息,辅助科研写作。

立即免费体验

抑制内侧前额叶皮质-杏仁核回路可减轻老年小鼠七氟醚诱导的认知缺陷。

Suppression of mPFC-Amygdala Circuit Mitigates Sevoflurane-Induced Cognitive Deficits in Aged Mice.

作者信息

Li Junhua, Wen Jinbei, Zeng Meigu, Mei Jinghong, Zeng Cong, Liufu Ning, Li Yujuan

机构信息

Department of Anesthesiology, Sun Yat-sen Memorial Hospital, Sun Yat-sen University, Guangzhou, China.

Guangdong Provincial Key Laboratory of Malignant Tumor Epigenetics and Gene Regulation, Sun Yat-sen Memorial Hospital, Sun Yat-sen University, Guangzhou, China.

出版信息

CNS Neurosci Ther. 2025 May;31(5):e70443. doi: 10.1111/cns.70443.

DOI:10.1111/cns.70443
PMID:40376911
原文链接:https://pmc.ncbi.nlm.nih.gov/articles/PMC12082282/
Abstract

BACKGROUND

Perioperative neurocognitive disorders (PND) are common and costly complications in elderly surgical patients, yet the involvement of specific neural circuits in their etiology remains poorly understood. We hypothesized that neural projections from the medial prefrontal cortex (mPFC) to the amygdala contribute to PND pathogenesis.

METHODS

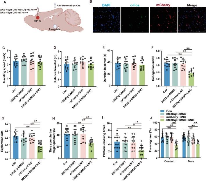
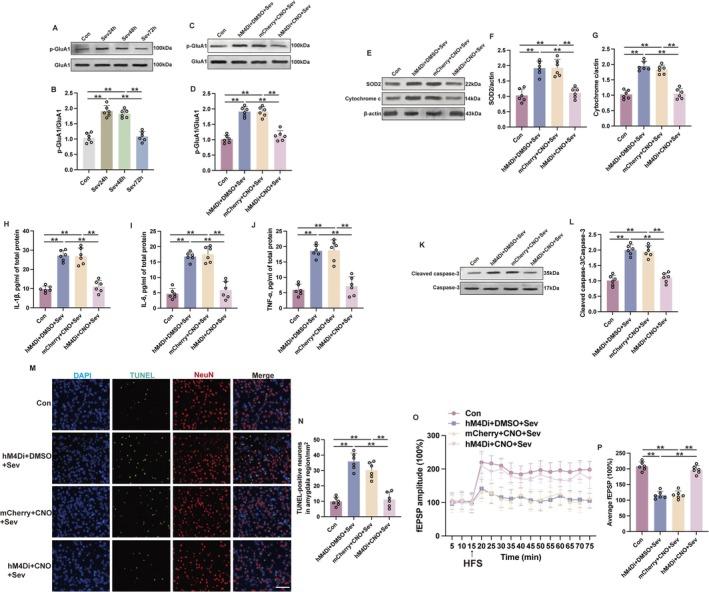
Using chemogenetic approaches, we selectively suppressed or excited the mPFC and its projections to the amygdala in a murine model exposed to sevoflurane. We assessed cognitive deficits, synaptic plasticity (AMPA receptor activity, long-term potentiation [LTP]), mitochondrial stress, neuroinflammatory markers, and neuronal apoptosis in the amygdala. Additional interventions included pharmacological suppression of AMPA receptors, glutamate biosynthesis, and mitochondrial stress within the amygdala.

RESULTS

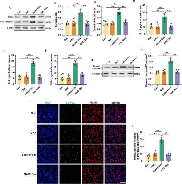
Sevoflurane exposure activated the mPFC-amygdala circuit. Chemogenetic suppression of the mPFC attenuated sevoflurane-induced cognitive deficits, AMPA receptor hyperexcitation, mitochondrial dysfunction, neuroinflammation, and neuronal apoptosis in the amygdala. Retrograde inhibition of mPFC projections to the amygdala alleviated cognitive impairments, whereas retrograde excitation exacerbated them. Suppressing AMPA receptors, glutamate synthesis, or mitochondrial stress in the amygdala similarly reduced cognitive deficits and pathological alterations. Notably, mPFC suppression rescued sevoflurane-induced LTP impairment in the amygdala.

CONCLUSIONS

These findings demonstrate that sevoflurane activates the mPFC-amygdala circuit, driving PND-associated cognitive deficits and neuropathological changes. Targeting this circuit or downstream mechanisms (AMPA signaling, mitochondrial stress) may mitigate sevoflurane-induced PND. This study provides empirical evidence implicating specific neural circuitry in anesthetic-related neurocognitive dysfunction.

摘要

背景

围手术期神经认知障碍(PND)是老年外科患者常见且代价高昂的并发症,但其病因中特定神经回路的参与情况仍知之甚少。我们假设从内侧前额叶皮质(mPFC)到杏仁核的神经投射促成了PND的发病机制。

方法

我们采用化学遗传学方法,在暴露于七氟醚的小鼠模型中选择性抑制或兴奋mPFC及其向杏仁核的投射。我们评估了杏仁核中的认知缺陷、突触可塑性(AMPA受体活性、长时程增强[LTP])、线粒体应激、神经炎症标志物和神经元凋亡。额外的干预措施包括对杏仁核内AMPA受体、谷氨酸生物合成和线粒体应激的药理学抑制。

结果

七氟醚暴露激活了mPFC-杏仁核回路。对mPFC的化学遗传学抑制减轻了七氟醚诱导的认知缺陷、AMPA受体过度兴奋、线粒体功能障碍、神经炎症和杏仁核中的神经元凋亡。对mPFC向杏仁核投射的逆行抑制减轻了认知障碍,而逆行兴奋则使其加重。抑制杏仁核中的AMPA受体、谷氨酸合成或线粒体应激同样减少了认知缺陷和病理改变。值得注意的是,mPFC抑制挽救了七氟醚诱导的杏仁核LTP损伤。

结论

这些发现表明,七氟醚激活了mPFC-杏仁核回路,导致与PND相关的认知缺陷和神经病理变化。靶向该回路或下游机制(AMPA信号传导、线粒体应激)可能减轻七氟醚诱导的PND。本研究提供了经验证据,表明特定神经回路与麻醉相关的神经认知功能障碍有关。

https://cdn.ncbi.nlm.nih.gov/pmc/blobs/ee45/12082282/abe914751649/CNS-31-e70443-g012.jpg
https://cdn.ncbi.nlm.nih.gov/pmc/blobs/ee45/12082282/3885df1cb987/CNS-31-e70443-g008.jpg
https://cdn.ncbi.nlm.nih.gov/pmc/blobs/ee45/12082282/14aa9f0629fc/CNS-31-e70443-g011.jpg
https://cdn.ncbi.nlm.nih.gov/pmc/blobs/ee45/12082282/94a4b361745a/CNS-31-e70443-g007.jpg
https://cdn.ncbi.nlm.nih.gov/pmc/blobs/ee45/12082282/31a269f3a0d6/CNS-31-e70443-g003.jpg
https://cdn.ncbi.nlm.nih.gov/pmc/blobs/ee45/12082282/eff635af4a3f/CNS-31-e70443-g005.jpg
https://cdn.ncbi.nlm.nih.gov/pmc/blobs/ee45/12082282/ac384c7d7890/CNS-31-e70443-g002.jpg
https://cdn.ncbi.nlm.nih.gov/pmc/blobs/ee45/12082282/26c8d1ceed0a/CNS-31-e70443-g001.jpg
https://cdn.ncbi.nlm.nih.gov/pmc/blobs/ee45/12082282/f751abf32850/CNS-31-e70443-g009.jpg
https://cdn.ncbi.nlm.nih.gov/pmc/blobs/ee45/12082282/3ef6b20a4ebc/CNS-31-e70443-g010.jpg
https://cdn.ncbi.nlm.nih.gov/pmc/blobs/ee45/12082282/04522722abc3/CNS-31-e70443-g006.jpg
https://cdn.ncbi.nlm.nih.gov/pmc/blobs/ee45/12082282/1d5a8eea44cb/CNS-31-e70443-g004.jpg
https://cdn.ncbi.nlm.nih.gov/pmc/blobs/ee45/12082282/abe914751649/CNS-31-e70443-g012.jpg
https://cdn.ncbi.nlm.nih.gov/pmc/blobs/ee45/12082282/3885df1cb987/CNS-31-e70443-g008.jpg
https://cdn.ncbi.nlm.nih.gov/pmc/blobs/ee45/12082282/14aa9f0629fc/CNS-31-e70443-g011.jpg
https://cdn.ncbi.nlm.nih.gov/pmc/blobs/ee45/12082282/94a4b361745a/CNS-31-e70443-g007.jpg
https://cdn.ncbi.nlm.nih.gov/pmc/blobs/ee45/12082282/31a269f3a0d6/CNS-31-e70443-g003.jpg
https://cdn.ncbi.nlm.nih.gov/pmc/blobs/ee45/12082282/eff635af4a3f/CNS-31-e70443-g005.jpg
https://cdn.ncbi.nlm.nih.gov/pmc/blobs/ee45/12082282/ac384c7d7890/CNS-31-e70443-g002.jpg
https://cdn.ncbi.nlm.nih.gov/pmc/blobs/ee45/12082282/26c8d1ceed0a/CNS-31-e70443-g001.jpg
https://cdn.ncbi.nlm.nih.gov/pmc/blobs/ee45/12082282/f751abf32850/CNS-31-e70443-g009.jpg
https://cdn.ncbi.nlm.nih.gov/pmc/blobs/ee45/12082282/3ef6b20a4ebc/CNS-31-e70443-g010.jpg
https://cdn.ncbi.nlm.nih.gov/pmc/blobs/ee45/12082282/04522722abc3/CNS-31-e70443-g006.jpg
https://cdn.ncbi.nlm.nih.gov/pmc/blobs/ee45/12082282/1d5a8eea44cb/CNS-31-e70443-g004.jpg
https://cdn.ncbi.nlm.nih.gov/pmc/blobs/ee45/12082282/abe914751649/CNS-31-e70443-g012.jpg

相似文献

1
Suppression of mPFC-Amygdala Circuit Mitigates Sevoflurane-Induced Cognitive Deficits in Aged Mice.抑制内侧前额叶皮质-杏仁核回路可减轻老年小鼠七氟醚诱导的认知缺陷。
CNS Neurosci Ther. 2025 May;31(5):e70443. doi: 10.1111/cns.70443.
2
Nrf2 Ameliorates Sevoflurane-Induced Cognitive Deficits in Aged Mice by Inhibiting Neuroinflammation in the Hippocampus.Nrf2通过抑制海马体中的神经炎症改善老年小鼠七氟醚诱导的认知缺陷。
Mol Neurobiol. 2025 Jun;62(6):8048-8064. doi: 10.1007/s12035-025-04777-w. Epub 2025 Feb 19.
3
ZL006 mitigates anxiety-like behaviors induced by closed head injury through modulation of the neural circuit from the medial prefrontal cortex to amygdala.ZL006 通过调节内侧前额叶皮层到杏仁核的神经回路减轻闭合性颅脑损伤引起的焦虑样行为。
Cereb Cortex. 2024 Jun 4;34(6). doi: 10.1093/cercor/bhae237.
4
Environmental enrichment attenuates sevoflurane anesthesia-induced learning deficits in aged mice through regulating TTBK1 and phosphorylated Tau expression.环境富集通过调节TTBK1和磷酸化Tau蛋白表达减轻老年小鼠七氟醚麻醉诱导的学习缺陷。
Exp Brain Res. 2025 Feb 14;243(3):67. doi: 10.1007/s00221-025-07017-8.
5
Neonatal exposure to sevoflurane caused cognitive deficits by dysregulating SK2 channels and GluA2-lacking AMPA receptors in juvenile rat hippocampus.七氟醚暴露于新生儿可通过调节 SK2 通道和幼年大鼠海马中的 GluA2 缺失型 AMPA 受体引起认知缺陷。
Neuropharmacology. 2018 Oct;141:66-75. doi: 10.1016/j.neuropharm.2018.08.014. Epub 2018 Aug 22.
6
Pharmacological inhibition of Kv1.3 channel reduces sevoflurane-induced cognitive impairment through NLRP3-dependent microglial modulation.Kv1.3通道的药理学抑制通过NLRP3依赖性小胶质细胞调节减轻七氟醚诱导的认知障碍。
Brain Res Bull. 2025 Jun 1;225:111351. doi: 10.1016/j.brainresbull.2025.111351. Epub 2025 Apr 17.
7
Role of Hippocampal Glutamatergic Synaptic Alterations in Sevoflurane-Induced Cognitive Dysfunction in Aged Mice.海 马 突 触 谷 氨 酸 能 改 变 在 七 氟 烷 诱 导 的 老 年 小 鼠 认 知 功 能 障 碍 中 的 作 用。
CNS Neurosci Ther. 2024 Oct;30(10):e70093. doi: 10.1111/cns.70093.
8
Deficits in cognitive flexibility induced by chronic unpredictable stress are associated with impaired glutamate neurotransmission in the rat medial prefrontal cortex.慢性不可预测应激诱导的认知灵活性缺陷与大鼠内侧前额叶皮质谷氨酸神经传递受损有关。
Neuroscience. 2017 Mar 27;346:284-297. doi: 10.1016/j.neuroscience.2017.01.017. Epub 2017 Jan 26.
9
Suberoylanilide hydroxamic acid reversed cognitive and synaptic plasticity impairments induced by sevoflurane exposure in adult mice.辛二酰苯胺异羟肟酸可逆转成年小鼠因七氟醚暴露所致的认知和突触可塑性损伤。
Neuroreport. 2019 Mar 6;30(4):274-279. doi: 10.1097/WNR.0000000000001196.
10
Sevoflurane anesthesia induces neither contextual fear memory impairment nor alterations in local population connectivity of medial prefrontal cortex local field potentials networks in aged rats.七氟醚麻醉既不会导致老年大鼠情境恐惧记忆受损,也不会改变内侧前额叶皮质局部场电位网络的局部群体连通性。
Fundam Clin Pharmacol. 2016 Aug;30(4):338-46. doi: 10.1111/fcp.12194. Epub 2016 Mar 29.

本文引用的文献

1
Surgery-induced neuroinflammatory transcriptional programs in medial prefrontal cortex of mice during early phase of perioperative neurocognitive disorders.围手术期神经认知障碍早期小鼠内侧前额叶皮质中手术诱导的神经炎症转录程序
PeerJ. 2024 Dec 3;12:e18664. doi: 10.7717/peerj.18664. eCollection 2024.
2
Posterior Basolateral Amygdala is a Critical Amygdaloid Area for Temporal Lobe Epilepsy.杏仁核后基底外侧区是颞叶癫痫的关键杏仁核区域。
Adv Sci (Weinh). 2024 Dec;11(48):e2407525. doi: 10.1002/advs.202407525. Epub 2024 Oct 30.
3
Role of Hippocampal Glutamatergic Synaptic Alterations in Sevoflurane-Induced Cognitive Dysfunction in Aged Mice.
海 马 突 触 谷 氨 酸 能 改 变 在 七 氟 烷 诱 导 的 老 年 小 鼠 认 知 功 能 障 碍 中 的 作 用。
CNS Neurosci Ther. 2024 Oct;30(10):e70093. doi: 10.1111/cns.70093.
4
LTP expression mediated by autonomous activity of GluN2B-bound CaMKII.LTP 表达由 GluN2B 结合的 CaMKII 的自主活性介导。
Cell Rep. 2024 Oct 22;43(10):114866. doi: 10.1016/j.celrep.2024.114866. Epub 2024 Oct 11.
5
Dysregulation of the Gut Microbiota Contributes to Sevoflurane-Induced Cognitive Dysfunction in Aged Mice by Activating the NLRP3 Inflammasome.肠道微生物失调通过激活 NLRP3 炎性小体导致七氟醚诱导的老年小鼠认知功能障碍。
Mol Neurobiol. 2024 Dec;61(12):10500-10516. doi: 10.1007/s12035-024-04229-x. Epub 2024 May 14.
6
Diverse functions of cytochrome c in cell death and disease.细胞死亡和疾病中细胞色素 c 的多种功能。
Cell Death Differ. 2024 Apr;31(4):387-404. doi: 10.1038/s41418-024-01284-8. Epub 2024 Mar 23.
7
Neural Correlates of Social Decision-Making.社会决策的神经关联
Iran J Psychiatry. 2024 Jan;19(1):148-154. doi: 10.18502/ijps.v19i1.14350.
8
Mitochondrial outer membrane integrity regulates a ubiquitin-dependent and NF-κB-mediated inflammatory response.线粒体外膜完整性调节依赖泛素的和 NF-κB 介导热激反应。
EMBO J. 2024 Mar;43(6):904-930. doi: 10.1038/s44318-024-00044-1. Epub 2024 Feb 9.
9
The projection from dorsal medial prefrontal cortex to basolateral amygdala promotes behaviors of negative emotion in rats.从背内侧前额叶皮质到基底外侧杏仁核的投射促进大鼠的负性情绪行为。
Front Neurosci. 2024 Jan 24;18:1331864. doi: 10.3389/fnins.2024.1331864. eCollection 2024.
10
Astrocyte-derived exosomes-transported miRNA-26a-5p ameliorates sevoflurane-induced cognitive dysfunction in aged mice.星形胶质细胞衍生的外泌体转运的 miRNA-26a-5p 改善了老年小鼠七氟醚诱导的认知功能障碍。
Transl Res. 2024 Jun;268:79-96. doi: 10.1016/j.trsl.2024.01.007. Epub 2024 Jan 19.