Suppr超能文献

一名年轻埃塞俄比亚男孩患卡塔格内综合征:病例报告

Kartagener syndrome in a young Ethiopian boy: a case report.

作者信息

Gebray Habtamu Mesele, Chekol Addisu Liknaw, Mihiretie Samuel Addis, Boye Abayneh Tunta, Wendimagegn Zeru Seyoum, Getachew Zenebe Daniel

机构信息

Department of Internal Medicine, Woldia Comprehensive Specialized Hospital, Woldia, Ethiopia.

School of Medicine, Woldia University, Woldia, Ethiopia.

出版信息

J Med Case Rep. 2025 May 17;19(1):230. doi: 10.1186/s13256-025-05245-8.

Abstract

INTRODUCTION

Kartagener syndrome is a subset of a larger group of ciliary motility disorders called primary ciliary dyskinesias. The syndrome includes the clinical triad of chronic sinusitis, bronchiectasis, and situs inversus. Patients usually present with recurrent respiratory tract infections due to ineffective mucociliary clearance. Females and males are equally affected. Kartagener syndrome occurs in about 1 in 32,000 to 40,000 births worldwide.

CASE PRESENTATION

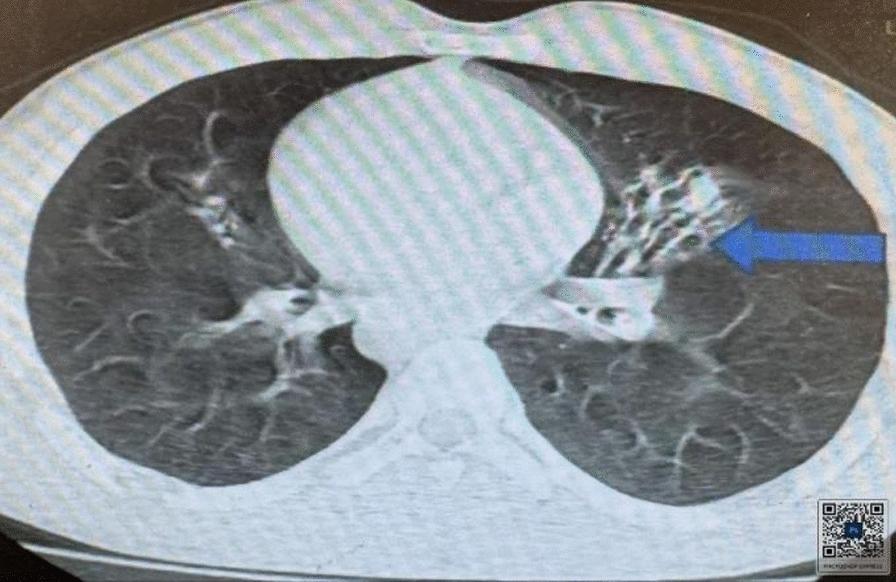
This case involved a 17-year-old Black African Semitic male patient who presented to our hospital with a complaint of intermittent productive cough, which started when he was 5 years old. He had a history of repeated treatment for lower respiratory tract infection and chronic sinusitis with frequent exacerbation. On examination, he had coarse crackles over the left posterior lower lung field. Heart sounds were appreciated on the right side. During imaging investigations, his chest X-ray posterior-anterior view showed dextrocardia and right side gastric shadow with left paracardiac bronchiectatic changes. A high-resolution chest computed tomography scan was suggestive of complete situs inversus. There were left lower lobe bronchiectatic changes. An electrocardiogram showed features of dextrocardia. Routine laboratory tests were within normal range. He was treated with thoracic physiotherapy, azithromycin 500 mg three times per week, and mucolytics, with no apparent exacerbations in the last 6 months.

CONCLUSION

The diagnosis of Kartagener syndrome is typically delayed because the clinical symptoms are easily mistaken for common infections. Since there is no specific treatment for Kartagener syndrome, early diagnosis and management of Kartagener syndrome are critical to prevent irreversible lung damage and chronic lifelong sequelae. A high index of suspicion is needed to make an early diagnosis so that timely treatment options may be offered to prevent problems associated with Kartagener syndrome.

摘要

引言

卡塔格内综合征是一大类称为原发性纤毛运动障碍的纤毛运动障碍中的一个亚型。该综合征包括慢性鼻窦炎、支气管扩张和内脏转位这一临床三联征。由于黏液纤毛清除功能无效,患者通常会反复出现呼吸道感染。男性和女性受影响的几率相同。全球范围内,卡塔格内综合征在每32,000至40,000例出生中约有1例发生。

病例介绍

该病例涉及一名17岁的黑非洲闪米特男性患者,他因间歇性咳痰前来我院就诊,这种情况始于他5岁时。他有下呼吸道感染和慢性鼻窦炎反复治疗史,且频繁加重。检查时,左后下肺野可闻及粗湿啰音。心脏听诊在右侧。影像学检查中,他的胸部后前位X线片显示右位心和右侧胃泡影,伴有左心旁支气管扩张改变。高分辨率胸部计算机断层扫描提示完全性内脏转位。有左下叶支气管扩张改变。心电图显示右位心特征。常规实验室检查在正常范围内。他接受了胸部物理治疗、每周三次500毫克阿奇霉素以及黏液溶解剂治疗,在过去6个月中没有明显加重。

结论

卡塔格内综合征的诊断通常会延迟,因为其临床症状容易被误诊为常见感染。由于卡塔格内综合征没有特效治疗方法,早期诊断和管理卡塔格内综合征对于预防不可逆的肺损伤和慢性终身后遗症至关重要。需要高度怀疑指数才能做出早期诊断,以便提供及时的治疗选择,预防与卡塔格内综合征相关的问题。

https://cdn.ncbi.nlm.nih.gov/pmc/blobs/f4ed/12085034/3467a873110f/13256_2025_5245_Fig1_HTML.jpg

文献AI研究员

20分钟写一篇综述,助力文献阅读效率提升50倍。

立即体验

用中文搜PubMed

大模型驱动的PubMed中文搜索引擎

马上搜索

文档翻译

学术文献翻译模型,支持多种主流文档格式。

立即体验