Suppr超能文献

在代谢功能障碍相关脂肪性肝炎小鼠模型中,AMP激活的蛋白激酶的药理学激活可改善肝纤维化。

Pharmacological Activation of AMP-activated Protein Kinase Ameliorates Liver Fibrosis in a Metabolic Dysfunction-Associated Steatohepatitis Mouse Model.

作者信息

Kim Seojeong, Shin Jae-Ho, Seo Minjung, Pak Eun Seon, Jeon Kyung-Hwa, Moon Inhye, Kang Jisoo, Seo Wonhyo, Na Younghwa, Kwon Youngjoo

机构信息

College of Pharmacy, Graduate School of Pharmaceutical Sciences, Ewha Womans University, Seoul, 03760, Republic of Korea.

College of Pharmacy, CHA University, Pocheon, 487-010, Korea.

出版信息

Int J Biol Sci. 2025 Apr 21;21(7):2957-2972. doi: 10.7150/ijbs.108731. eCollection 2025.

Abstract

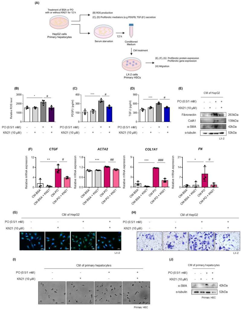
Metabolic dysfunction-associated steatohepatitis (MASH) is a significant contributor to hepatocellular carcinoma (HCC). To validate AMPK activation as a therapeutic strategy for MASH-associated liver fibrosis, we investigated the effects of a 4-chloro-benzenesulfonamide derivative named KN21, a novel AMPK activator, on the liver fibrogenic process in a MASH model. In mice fed a choline-deficient, L-amino acid-defined, high fat diet (CDAHFD), KN21 reduced hepatic steatosis, lipid accumulation, and liver fibrosis. In hepatocyte cells treated with palmitic acid and oleic acid (PO), KN21 attenuated lipid accumulation and the release of reactive oxygen species (ROS) and fibrotic mediators. Hepatic stellate cells stimulated with hepatocyte-derived conditioned medium (CM) exhibited increased expression of fibrosis markers, whereas hepatic stellate cells exposed to CM from KN21-treated hepatocytes showed a decrease of fibrosis marker expression. Additionally, KN21 inhibited the activation of human hepatic stellate cells and demonstrated potent antifibrotic activity. These findings underscore the therapeutic potential of pharmacological AMPK activation for the treatment of MASH-associated liver fibrosis.

摘要

代谢功能障碍相关脂肪性肝炎(MASH)是肝细胞癌(HCC)的一个重要促成因素。为了验证激活AMPK作为MASH相关肝纤维化的一种治疗策略,我们研究了一种名为KN21的新型AMPK激活剂——4-氯苯磺酰胺衍生物,对MASH模型中肝脏纤维化过程的影响。在喂食胆碱缺乏、L-氨基酸限定的高脂肪饮食(CDAHFD)的小鼠中,KN21减轻了肝脏脂肪变性、脂质蓄积和肝纤维化。在用棕榈酸和油酸(PO)处理的肝细胞中,KN21减轻了脂质蓄积以及活性氧(ROS)和纤维化介质的释放。用肝细胞来源的条件培养基(CM)刺激肝星状细胞,纤维化标志物的表达增加,而暴露于经KN21处理的肝细胞的CM中的肝星状细胞则显示纤维化标志物表达降低。此外,KN21抑制人肝星状细胞的激活,并表现出强大的抗纤维化活性。这些发现强调了药理学激活AMPK治疗MASH相关肝纤维化的治疗潜力。

https://cdn.ncbi.nlm.nih.gov/pmc/blobs/25db/12080390/17b0226908ed/ijbsv21p2957g001.jpg

文献检索

告别复杂PubMed语法,用中文像聊天一样搜索,搜遍4000万医学文献。AI智能推荐,让科研检索更轻松。

立即免费搜索

文件翻译

保留排版,准确专业,支持PDF/Word/PPT等文件格式,支持 12+语言互译。

免费翻译文档

深度研究

AI帮你快速写综述,25分钟生成高质量综述,智能提取关键信息,辅助科研写作。

立即免费体验