Suppr超能文献

传统经动脉化疗栓塞术与载药微球经动脉化疗栓塞术在肝细胞癌中的有效应用:正确使用指南

Effective Utilization of Conventional Transarterial Chemoembolization and Drug-eluting Bead Transarterial Chemoembolization in Hepatocellular Carcinoma: A Guide to Proper Usage.

作者信息

Higashihara Hiroki, Kimura Yasushi, Ono Yusuke, Tanaka Kaishu, Tomiyama Noriyuki

机构信息

Department of High-Precision Image-Guided Percutaneous Intervention, Osaka University Graduate School of Medicine, Japan.

Department of Diagnostic and Interventional Radiology, Osaka University Graduate School of Medicine, Japan.

出版信息

Interv Radiol (Higashimatsuyama). 2023 Dec 14;10:e20230009. doi: 10.22575/interventionalradiology.2023-0009. eCollection 2025 Mar 28.

Abstract

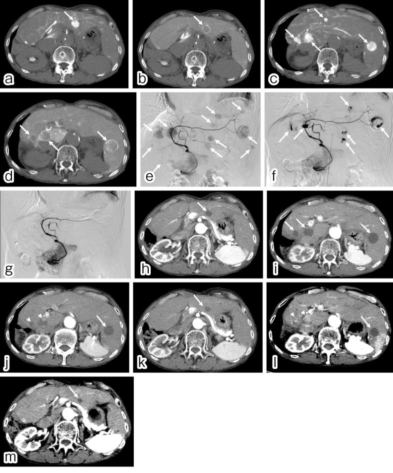
Transarterial chemoembolization is still an effective treatment option for hepatocellular carcinoma worldwide and is categorized into conventional transarterial chemoembolization with ethiodized oil transarterial chemoembolization and transarterial chemoembolization with drug-eluting spherical material transarterial chemoembolization. Several randomized controlled trials conducted in Europe have shown the equivalent efficacy of ethiodized oil transarterial chemoembolization and drug-eluting spherical material transarterial chemoembolization. However, a recent randomized controlled trials in Japan established the superiority of ethiodized oil transarterial chemoembolization in terms of complete response rates although higher liver toxicity for ethiodized oil transarterial chemoembolization. Nevertheless, the survival advantage of ethiodized oil transarterial chemoembolization is yet to be substantiated. The adverse effects of drug-eluting spherical material transarterial chemoembolization are milder than those of ethiodized oil transarterial chemoembolization, rendering drug-eluting spherical material transarterial chemoembolization an advantageous option for patients with bilobar tumors and impaired liver function/performance status. This article aims to provide an overview of these embolization techniques and a review of recent literature.

摘要

经动脉化疗栓塞术仍是全球肝细胞癌的一种有效治疗选择,可分为使用碘化油的传统经动脉化疗栓塞术以及使用载药微球的经动脉化疗栓塞术。欧洲进行的多项随机对照试验表明,碘化油经动脉化疗栓塞术和载药微球经动脉化疗栓塞术疗效相当。然而,日本最近的一项随机对照试验表明,尽管碘化油经动脉化疗栓塞术的肝毒性较高,但在完全缓解率方面具有优势。尽管如此,碘化油经动脉化疗栓塞术的生存优势尚未得到证实。载药微球经动脉化疗栓塞术的不良反应比碘化油经动脉化疗栓塞术轻,这使得载药微球经动脉化疗栓塞术成为双叶肿瘤及肝功能/体能状态受损患者的一个有利选择。本文旨在概述这些栓塞技术并回顾近期文献。

https://cdn.ncbi.nlm.nih.gov/pmc/blobs/97be/12078087/bbf1e87de4c2/2432-0935-10-e2023-0009-g001.jpg

文献AI研究员

20分钟写一篇综述,助力文献阅读效率提升50倍。

立即体验

用中文搜PubMed

大模型驱动的PubMed中文搜索引擎

马上搜索

文档翻译

学术文献翻译模型,支持多种主流文档格式。

立即体验