Suppr超能文献

加纳一家三级医院腰椎磁共振成像脊柱外发现的患病率及报告率

Prevalence and Reporting Rates of Extraspinal Findings for Lumbar Spine Magnetic Resonance Imaging in a Ghanaian Tertiary Hospital.

作者信息

Dzefi-Tettey Klenam, Edzie Emmanuel Kobina Mesi, Piersson Albert D, Brakohiapa Edmund K, Nixon Harold R, Jackson Emmanuel K, Armah Kwasi O, Bockarie Ansumana S, Kusodzi Henry, Asemah Abdul R

机构信息

Department of Radiology, School of Medicine, University of Health and Allied Sciences, Ho, GHA.

Department of Radiology, Korle-Bu Teaching Hospital, Accra, GHA.

出版信息

Cureus. 2025 Apr 18;17(4):e82527. doi: 10.7759/cureus.82527. eCollection 2025 Apr.

Abstract

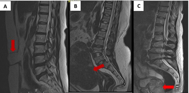
Background Extraspinal findings are commonly detected on magnetic resonance imaging of the lumbar spine, but these findings are sometimes omitted from radiological reports. Failing to report these findings could have a clinical impact on the patients. The purpose of this study was to determine the prevalence and reporting rates of extraspinal findings on lumbar spine magnetic resonance imaging. Methods Retrospective analysis was done on lumbar spine magnetic resonance images done at the Korle-Bu Teaching Hospital between January 2020 and December 2021. A total of 1267 patients underwent lumbar spine magnetic resonance imaging within the period. The degree of clinical significance of the extraspinal findings was ascertained using the computed tomography colonography reporting and data system classification scheme. The reporting rate was determined by referring to the archived radiological reports. Statistical analysis was done using IBM SPSS Statistics for Windows, Version 25 (Released 2017; IBM Corp., Armonk, New York, United States). Results A total of 737 extraspinal findings were detected from 530 patients. The overall reporting rate of extraspinal findings was 62.6% (461/737). The most common extraspinal finding was a simple renal epithelial cyst (n = 333). Clinically significant findings were detected in 107 out of the 530 patients; 36.4% of the clinically significant findings were not reported when compared with the archived reports. Conclusion Extraspinal findings on lumbar spine imaging were common in our study population. When radiologists are reporting lumbar spine magnetic resonance imaging, it is crucial to be aware of the risk of missing clinically significant findings.

摘要

背景 在腰椎磁共振成像中通常会检测到脊柱外的病变,但这些病变有时会在放射学报告中被遗漏。未报告这些病变可能会对患者产生临床影响。本研究的目的是确定腰椎磁共振成像中脊柱外病变的患病率和报告率。方法 对2020年1月至2021年12月在科勒-布教学医院进行的腰椎磁共振图像进行回顾性分析。在此期间共有1267例患者接受了腰椎磁共振成像检查。使用计算机断层结肠造影报告和数据系统分类方案确定脊柱外病变的临床意义程度。通过查阅存档的放射学报告来确定报告率。使用IBM SPSS Statistics for Windows,版本25(2017年发布;IBM公司,美国纽约州阿蒙克)进行统计分析。结果 从530例患者中检测到737处脊柱外病变。脊柱外病变的总体报告率为62.6%(461/737)。最常见的脊柱外病变是单纯性肾上皮囊肿(n = 333)。在530例患者中有107例检测到具有临床意义的病变;与存档报告相比,36.4%具有临床意义的病变未被报告。结论 在我们的研究人群中,腰椎成像中的脊柱外病变很常见。当放射科医生报告腰椎磁共振成像时,意识到遗漏具有临床意义病变的风险至关重要。

https://cdn.ncbi.nlm.nih.gov/pmc/blobs/302a/12085934/ad4baa8537f7/cureus-0017-00000082527-i01.jpg

文献AI研究员

20分钟写一篇综述,助力文献阅读效率提升50倍。

立即体验

用中文搜PubMed

大模型驱动的PubMed中文搜索引擎

马上搜索

文档翻译

学术文献翻译模型,支持多种主流文档格式。

立即体验