Suppr超能文献

非典型自身免疫性脑炎:来自一组病例的诊断挑战与治疗见解

Atypical Autoimmune Encephalitis: Diagnostic Challenges and Therapeutic Insights From a Case Series.

作者信息

Prathyusha Thummalagunta, Ambati Gowtham, Chinta Abhijathya, Gowda Pavan, Bole Chandraditya

机构信息

General Medicine, All India Institute of Medical Sciences, Mangalagiri, Mangalagiri, IND.

Internal Medicine, All India Institute of Medical Sciences, Mangalagiri, Mangalagiri, IND.

出版信息

Cureus. 2025 Apr 16;17(4):e82384. doi: 10.7759/cureus.82384. eCollection 2025 Apr.

Abstract

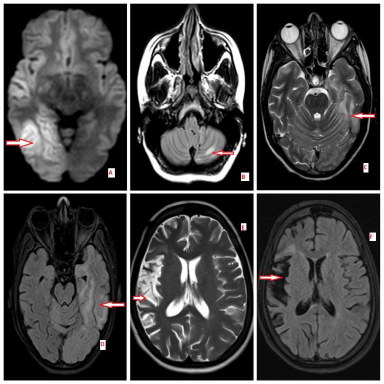
Encephalitis syndromes are acute neurological emergencies characterized by altered sensorium, seizures, movement disorders, and neuropsychiatric manifestations. Autoimmune encephalitis (AE), although rare, necessitates prompt recognition and intervention to reduce morbidity and mortality. This study aimed to examine the clinical features, laboratory findings, radiological characteristics, and treatment outcomes of patients diagnosed with autoimmune encephalitis. This case series presents six patients diagnosed with autoimmune encephalitis and admitted to the Department of General Medicine at the All India Institute of Medical Sciences (AIIMS), Mangalagiri, between January 2024 and January 2025. The mean age of onset was 30.4 years. The cohort included two cases of anti-N-methyl-D-aspartate (anti-NMDA) receptor encephalitis, one case with both myelin oligodendrocyte glycoprotein (MOG) and anti-NMDA receptor antibodies, one case of seronegative autoimmune encephalitis (SNAE) diagnosed based on magnetic resonance imaging (MRI) findings, one case of Rasmussen's encephalitis (RE), and one case of paraneoplastic autoimmune encephalitis (PAE) associated with lung malignancy. This study provides a comprehensive overview of clinical presentations, treatment approaches, and patient outcomes. Early diagnosis and timely initiation of immunosuppressive therapy are crucial for improving patient outcomes. Diagnosis relies on clinical assessment, neuroimaging, and antibody testing, with seronegative cases requiring a high degree of clinical suspicion for appropriate management.

摘要

脑炎综合征是急性神经急症,其特征为意识改变、癫痫发作、运动障碍和神经精神症状。自身免疫性脑炎(AE)虽然罕见,但需要迅速识别和干预以降低发病率和死亡率。本研究旨在探讨诊断为自身免疫性脑炎患者的临床特征、实验室检查结果、影像学特征及治疗结果。本病例系列介绍了2024年1月至2025年1月期间在芒加拉吉里全印度医学科学研究所(AIIMS)普通内科住院的6例诊断为自身免疫性脑炎的患者。平均发病年龄为30.4岁。该队列包括2例抗N-甲基-D-天冬氨酸(抗NMDA)受体脑炎、1例同时存在髓鞘少突胶质细胞糖蛋白(MOG)和抗NMDA受体抗体的病例、1例根据磁共振成像(MRI)结果诊断的血清阴性自身免疫性脑炎(SNAE)、1例拉斯穆森脑炎(RE)以及1例与肺恶性肿瘤相关的副肿瘤性自身免疫性脑炎(PAE)。本研究全面概述了临床表现、治疗方法及患者预后。早期诊断和及时开始免疫抑制治疗对改善患者预后至关重要。诊断依赖于临床评估、神经影像学检查和抗体检测,血清阴性病例需要高度的临床怀疑以进行适当管理。

https://cdn.ncbi.nlm.nih.gov/pmc/blobs/bd79/12083851/010c51202cf4/cureus-0017-00000082384-i01.jpg

文献AI研究员

20分钟写一篇综述,助力文献阅读效率提升50倍。

立即体验

用中文搜PubMed

大模型驱动的PubMed中文搜索引擎

马上搜索

文档翻译

学术文献翻译模型,支持多种主流文档格式。

立即体验