• 文献检索
  • 文档翻译
  • 深度研究
  • 学术资讯
  • Suppr Zotero 插件Zotero 插件
  • 邀请有礼
  • 套餐&价格
  • 历史记录
应用&插件
Suppr Zotero 插件Zotero 插件浏览器插件Mac 客户端Windows 客户端微信小程序
定价
高级版会员购买积分包购买API积分包
服务
文献检索文档翻译深度研究API 文档MCP 服务
关于我们
关于 Suppr公司介绍联系我们用户协议隐私条款
关注我们

Suppr 超能文献

核心技术专利:CN118964589B侵权必究
粤ICP备2023148730 号-1Suppr @ 2026

文献检索

告别复杂PubMed语法,用中文像聊天一样搜索,搜遍4000万医学文献。AI智能推荐,让科研检索更轻松。

立即免费搜索

文件翻译

保留排版,准确专业,支持PDF/Word/PPT等文件格式,支持 12+语言互译。

免费翻译文档

深度研究

AI帮你快速写综述,25分钟生成高质量综述,智能提取关键信息,辅助科研写作。

立即免费体验

在开放性楔形胫骨远端结节截骨术中防止铰链骨折的合适铰链位置。

Appropriate hinge position to prevent hinge fracture in open wedge distal tuberosity tibial osteotomy.

作者信息

Tanaka Atsuki, Araki Daisuke, Yamashita Takahiro, Sano Shohei, Okada Ryo, Takahashi Mitsuhiko, Hashimoto Yasushi

机构信息

Department of Orthopaedic Surgery Hyogo Prefectural Rehabilitation Central Hospital Kobe Japan.

Department of Orthopaedic Surgery Kobe University Graduate School of Medicine Kobe Japan.

出版信息

J Exp Orthop. 2025 May 19;12(2):e70278. doi: 10.1002/jeo2.70278. eCollection 2025 Apr.

DOI:10.1002/jeo2.70278
PMID:40390853
原文链接:https://pmc.ncbi.nlm.nih.gov/articles/PMC12086790/
Abstract

PURPOSE

Open wedge distal tuberosity tibial osteotomy (owDTO) is an effective treatment for varus knee osteoarthritis. Hinge fracture is a major complication, and hinge position is a contributing factor. This study aimed to investigate the relationship between hinge position and fractures.

METHODS

This study examined 42 knees that underwent owDTO. The level of the proximal tibiofibular joint (PTFJ) hinge fracture was investigated on postoperative computed tomography (CT) images measuring the distances and angles around hinge area. Based on previous reports, the hinge position was classified, and hinge fractures were assessed.

RESULTS

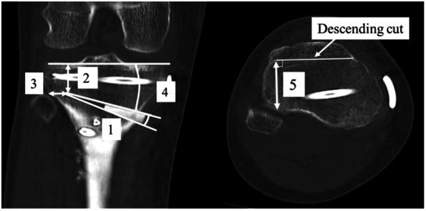
No cases were found with a hinge position above PTFJ, 41 cases were within PTFJ, and one case was distal to PTFJ. Hinge fractures were observed in 10 patients (23.8%). According to the hinge position classification, seven cases were type I (a fracture within PTFJ), three were type II (a fracture that reaches the distal portion of PTFJ), and no cases were type III (intra-articular fracture). The anteroposterior hinge width measured perpendicular to the descending cut of the flange on axial CT images at the proximal level of the PTFJ was significantly shorter in the hinge fracture group ( = 0.03).

DISCUSSION

The owDTO hinge fracture rate in our study was comparable to that in previous reports on open wedge high tibial osteotomy. As the risk of hinge fracture increases with the shortening of the anterior-posterior hinge width, our results indicate that preservation of the anterior-posterior hinge width may help reduce hinge fractures.

LEVEL OF EVIDENCE

Level III, Retrospective study.

摘要

目的

开放性楔形胫骨远端结节截骨术(owDTO)是治疗膝内翻型骨关节炎的有效方法。铰链骨折是主要并发症,铰链位置是一个影响因素。本研究旨在探讨铰链位置与骨折之间的关系。

方法

本研究检查了42例行owDTO的膝关节。通过术后计算机断层扫描(CT)图像测量铰链区域周围的距离和角度,研究胫腓近端关节(PTFJ)铰链骨折的水平。根据既往报道对铰链位置进行分类,并评估铰链骨折情况。

结果

未发现铰链位置高于PTFJ的病例,41例在PTFJ内,1例在PTFJ远端。10例患者(23.8%)观察到铰链骨折。根据铰链位置分类,7例为I型(PTFJ内骨折),3例为II型(骨折延伸至PTFJ远端部分),无III型(关节内骨折)病例。在PTFJ近端水平的轴向CT图像上,垂直于凸缘下行切口测量的前后铰链宽度在铰链骨折组明显更短(=0.03)。

讨论

本研究中owDTO的铰链骨折发生率与既往开放性楔形高位胫骨截骨术的报道相当。由于铰链骨折的风险随着前后铰链宽度的缩短而增加,我们的结果表明保留前后铰链宽度可能有助于减少铰链骨折。

证据水平

III级,回顾性研究。

https://cdn.ncbi.nlm.nih.gov/pmc/blobs/7051/12086790/82b84b9244fb/JEO2-12-e70278-g001.jpg
https://cdn.ncbi.nlm.nih.gov/pmc/blobs/7051/12086790/cd0178fe0d02/JEO2-12-e70278-g003.jpg
https://cdn.ncbi.nlm.nih.gov/pmc/blobs/7051/12086790/bbe7c6388408/JEO2-12-e70278-g005.jpg
https://cdn.ncbi.nlm.nih.gov/pmc/blobs/7051/12086790/a362c6850cf9/JEO2-12-e70278-g004.jpg
https://cdn.ncbi.nlm.nih.gov/pmc/blobs/7051/12086790/957ffad3b741/JEO2-12-e70278-g002.jpg
https://cdn.ncbi.nlm.nih.gov/pmc/blobs/7051/12086790/82b84b9244fb/JEO2-12-e70278-g001.jpg
https://cdn.ncbi.nlm.nih.gov/pmc/blobs/7051/12086790/cd0178fe0d02/JEO2-12-e70278-g003.jpg
https://cdn.ncbi.nlm.nih.gov/pmc/blobs/7051/12086790/bbe7c6388408/JEO2-12-e70278-g005.jpg
https://cdn.ncbi.nlm.nih.gov/pmc/blobs/7051/12086790/a362c6850cf9/JEO2-12-e70278-g004.jpg
https://cdn.ncbi.nlm.nih.gov/pmc/blobs/7051/12086790/957ffad3b741/JEO2-12-e70278-g002.jpg
https://cdn.ncbi.nlm.nih.gov/pmc/blobs/7051/12086790/82b84b9244fb/JEO2-12-e70278-g001.jpg

相似文献

1
Appropriate hinge position to prevent hinge fracture in open wedge distal tuberosity tibial osteotomy.在开放性楔形胫骨远端结节截骨术中防止铰链骨折的合适铰链位置。
J Exp Orthop. 2025 May 19;12(2):e70278. doi: 10.1002/jeo2.70278. eCollection 2025 Apr.
2
Appropriate hinge position for prevention of unstable lateral hinge fracture in open wedge high tibial osteotomy.开放楔形高位胫骨截骨术中预防外侧铰链不稳定骨折的合适铰链位置。
Bone Joint J. 2017 Oct;99-B(10):1313-1318. doi: 10.1302/0301-620X.99B10.BJJ-2017-0103.R1.
3
Analysis of the relationship between the morphology of the proximal tibiofibular joint and lateral hinge fracture in open wedge high tibial osteotomy.开放性楔形高位胫骨截骨术中胫腓近端关节形态与外侧铰链骨折关系的分析
Knee. 2022 Dec;39:10-17. doi: 10.1016/j.knee.2022.08.003. Epub 2022 Sep 14.
4
Thinner tuberosity osteotomy is more resistant to axial load in medial open-wedge distal tuberosity proximal tibial osteotomy: A biomechanical study.较薄的结节骨切开术在胫骨近端内侧开放楔形结节切开术中更能抵抗轴向负荷:一项生物力学研究。
Knee. 2022 Oct;38:62-68. doi: 10.1016/j.knee.2022.07.010. Epub 2022 Aug 2.
5
Postoperative onset lateral hinge fracture is a risk factor for delayed union of the tibial tuberosity in medial opening wedge distal tibial tuberosity osteotomy.术后发生的外侧铰链骨折是胫骨远端结节内侧开口楔形截骨术中胫骨结节延迟愈合的一个危险因素。
Asia Pac J Sports Med Arthrosc Rehabil Technol. 2024 Jul 2;37:21-26. doi: 10.1016/j.asmart.2024.01.005. eCollection 2024 Jul.
6
Opening-Wedge High Tibial Osteotomy With High Hinge Position Risks Lateral Hinge Fracture in Men With Posterolateral Tibial Condyle Protrusion.高铰链位置的开放性楔形高位胫骨截骨术在伴有胫骨后外侧髁突出的男性中存在外侧铰链骨折风险。
Arthroscopy. 2023 Feb;39(2):324-334. doi: 10.1016/j.arthro.2022.07.018. Epub 2022 Aug 10.
7
Hinge fracture in lateral closed-wedge distal femoral osteotomy in knees undergoing double-level osteotomy: assessment of postoperative change in rotational alignment using CT evaluation.膝关节双水平截骨术中外侧闭合楔形股骨远端截骨的铰链骨折:使用 CT 评估评估术后旋转对线的变化。
Knee Surg Sports Traumatol Arthrosc. 2021 Oct;29(10):3337-3345. doi: 10.1007/s00167-020-06197-w. Epub 2020 Aug 4.
8
Lateral Distance From the Osteotomy Hinge Point to the Tibial Cortex Is Associated With Lateral Hinge Fracture Type and Fracture Occurrence Time After Medial Open-Wedge High Tibial Osteotomy.从截骨铰链点到胫骨皮质的外侧距离与内侧开放性楔形高位胫骨截骨术后外侧铰链骨折类型及骨折发生时间相关。
Arthroscopy. 2024 Mar;40(3):890-895. doi: 10.1016/j.arthro.2023.07.054. Epub 2023 Aug 14.
9
Three-dimensional analysis of lateral cortical hinge in medial open-wedge high tibial osteotomy: A computational simulation study of adult cadavers.成人尸体的内侧开放楔形胫骨高位截骨术中外侧皮质铰链的三维分析:计算模拟研究。
J Orthop Surg (Hong Kong). 2020 Sep-Dec;28(3):2309499020959172. doi: 10.1177/2309499020959172.
10
Predictive Factors for and Detection of Lateral Hinge Fractures Following Open Wedge High Tibial Osteotomy: Plain Radiography Versus Computed Tomography.外侧铰链骨折的预测因素及开放楔形胫骨高位截骨术后的检测:平片与 CT 比较。
Arthroscopy. 2018 Nov;34(11):3073-3079. doi: 10.1016/j.arthro.2018.06.041. Epub 2018 Oct 3.

本文引用的文献

1
Optimal hinge level in opening wedge high tibial osteotomy: Biomechanical analysis using finite element method.在开放式楔形胫骨高位截骨术中的最佳铰链水平:有限元法的生物力学分析。
Clin Biomech (Bristol). 2023 Jul;107:106027. doi: 10.1016/j.clinbiomech.2023.106027. Epub 2023 Jun 8.
2
Opening- and closing-wedge high tibial osteotomy are comparable and early full weight bearing is safe with angular stable plate fixation: a meta-analysis.胫骨高位截骨术的撑开和闭合楔形截骨术具有可比性,采用角度稳定钢板固定时早期完全负重是安全的:一项荟萃分析。
Knee Surg Sports Traumatol Arthrosc. 2023 Jul;31(7):3015-3026. doi: 10.1007/s00167-022-07229-3. Epub 2022 Dec 7.
3
Thinner tuberosity osteotomy is more resistant to axial load in medial open-wedge distal tuberosity proximal tibial osteotomy: A biomechanical study.
较薄的结节骨切开术在胫骨近端内侧开放楔形结节切开术中更能抵抗轴向负荷:一项生物力学研究。
Knee. 2022 Oct;38:62-68. doi: 10.1016/j.knee.2022.07.010. Epub 2022 Aug 2.
4
Incidence and Factors Affecting the Occurrence of Lateral Hinge Fracture After Medial Opening-Wedge High Tibial Osteotomy.内侧开放楔形高位胫骨截骨术后外侧铰链骨折的发生率及影响因素
Orthop J Sports Med. 2021 Oct 8;9(10):23259671211035372. doi: 10.1177/23259671211035372. eCollection 2021 Oct.
5
Orientation and end zone of the osteotomy cut for high tibial osteotomy: Influence on the risk of lateral hinge fracture. A finite element analysis.胫骨高位截骨术截骨的方向和终末区:对侧方铰链骨折风险的影响。一项有限元分析。
Orthop Traumatol Surg Res. 2021 Nov;107(7):103031. doi: 10.1016/j.otsr.2021.103031. Epub 2021 Jul 31.
6
Osteotomy Around the Knee: The Surgical Treatment of Osteoarthritis.膝关节周围截骨术:骨关节炎的手术治疗。
Orthop Surg. 2021 Jul;13(5):1465-1473. doi: 10.1111/os.13021. Epub 2021 Jun 10.
7
Computed Tomography Detects Hinge Fractures After Medial Opening Wedge High Tibial Osteotomy: A Systematic Review.计算机断层扫描检测内侧开放楔形胫骨高位截骨术后铰链骨折:系统评价。
Arthroscopy. 2021 Apr;37(4):1337-1352. doi: 10.1016/j.arthro.2020.11.031. Epub 2020 Nov 23.
8
Fracture of the tibial tubercle does not affect clinical outcomes in medial opening wedge high tibial osteotomy with distal tibial tubercle osteotomy.胫骨结节骨折不影响内侧开口楔形高位胫骨截骨术联合胫骨结节远端截骨术的临床疗效。
Arch Orthop Trauma Surg. 2022 Apr;142(4):607-613. doi: 10.1007/s00402-020-03688-w. Epub 2020 Nov 23.
9
Computational comparison of different plating strategies in medial open-wedge high tibial osteotomy with lateral hinge fractures.不同接骨板固定策略在胫骨高位截骨术中合并外侧铰链骨折的计算比较。
J Orthop Surg Res. 2020 Sep 14;15(1):409. doi: 10.1186/s13018-020-01922-0.
10
Distal Tibial Tuberosity Arc Osteotomy in Open-Wedge Proximal Tibial Osteotomy to Prevent Patella Infra.开放楔形胫骨近端截骨术中的胫骨远端结节弧形截骨术预防髌骨低位。
Arthrosc Tech. 2019 Jun 2;8(6):e655-e662. doi: 10.1016/j.eats.2019.02.011. eCollection 2019 Jun.