Liu Cheng-Yin, Liu Chia-Hsin
Division of Pulmonary and Critical Care Medicine, Department of Internal Medicine Tri-Service General Hospital, National Defense Medical Center Taipei Taiwan.
Department of Internal Medicine Hualien Armed Forces General Hospital Hualien Taiwan.
Respirol Case Rep. 2025 May 19;13(5):e70215. doi: 10.1002/rcr2.70215. eCollection 2025 May.
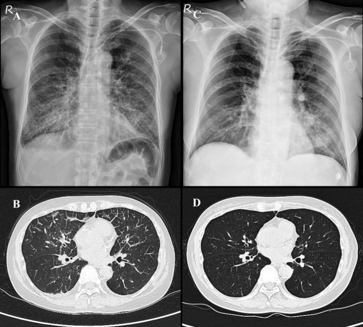
We describe a case of a 61-year-old woman with stage IV lung adenocarcinoma (cT4N0M1a) and contralateral lung metastases who developed immune-related adverse events (irAEs) following the 8th maintenance cycle of pembrolizumab and pemetrexed. Despite initiating systemic corticosteroids, her condition rapidly deteriorated into multiple organ dysfunction syndrome with elevated interleukin-6 (IL-6) levels. Tocilizumab was administered for suspected cytokine release syndrome (CRS) but resulted in minimal improvement. However, the subsequent administration of combined intravenous immunoglobulin (IVIG) and high-dose systemic corticosteroids led to gradual recovery, and she was ultimately discharged in a stable condition.
我们描述了一例61岁患有IV期肺腺癌(cT4N0M1a)且有对侧肺转移的女性患者,该患者在帕博利珠单抗和培美曲塞第8个维持周期后出现了免疫相关不良事件(irAE)。尽管开始使用全身性皮质类固醇,但她的病情迅速恶化为多器官功能障碍综合征,白细胞介素-6(IL-6)水平升高。因怀疑细胞因子释放综合征(CRS)而给予托珠单抗,但改善甚微。然而,随后联合静脉注射免疫球蛋白(IVIG)和大剂量全身性皮质类固醇治疗使病情逐渐好转,她最终病情稳定出院。