Suppr超能文献

《2022年班夫胰腺病理学更新:如何做出正确诊断并减少不确定的病理结果》

Banff 2022 pancreas pathology update: how to make the right diagnosis and decrease inconclusive pathology results.

作者信息

Drachenberg Cinthia B, Seshan Surya V, Papadimitriou John C

机构信息

Department of Pathology, University of Maryland School of Medicine, Baltimore, Maryland.

Division of Renal Pathology, Department of Pathology and Laboratory Medicine, Weill Cornell Medicine, Cornell University, New York, New York, USA.

出版信息

Curr Opin Organ Transplant. 2025 Aug 1;30(4):258-265. doi: 10.1097/MOT.0000000000001231. Epub 2025 May 21.

Abstract

PURPOSE OF REVIEW

The Banff 2022 pancreas transplant pathology update is the most comprehensive to date. It has improved the criteria for T-cell and antibody mediated rejection, recognized other clinicopathological differential diagnoses, and addressed the critically important islet failures. Nevertheless, multidisciplinary discussions during and after the meeting showed a need to enhance the real and perceived value of pancreas transplant biopsies. In particular, the occurrence of clinicopathological discrepancies and/or inconclusive biopsy findings, result in considerable uncertainty in clinical and pathology decision making.

RECENT FINDINGS

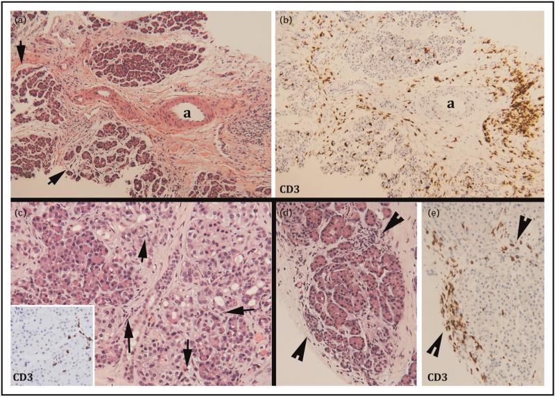
The current review expands on the 2022 report by presenting the most common situations leading to an inconclusive diagnosis (Banff "indeterminate" category), a major issue of discussion. The entities discussed herein are: nonspecific infiltrates versus active rejection; residual inflammation after treatment of active rejection; ischemic pancreatitis and peripancreatic reactions in the early posttransplant period; biopsy findings associated with exocrine drainage impairment, and other unusual or nonspecific findings. An algorithm for the evaluation of pancreas allograft biopsies is also presented, that should facilitate the interpretation of morphological findings.

SUMMARY

Systematic integration of essential clinical information with the pathology findings can improve the diagnostic yield of pancreas allograft biopsies and reduce the cases with and "indeterminate" diagnoses.

摘要

综述目的

2022年班夫胰腺移植病理学更新是迄今为止最全面的。它改进了T细胞介导和抗体介导排斥反应的标准,识别了其他临床病理鉴别诊断,并解决了至关重要的胰岛功能衰竭问题。然而,会议期间及会后的多学科讨论表明,有必要提高胰腺移植活检的实际和感知价值。特别是,临床病理差异和/或活检结果不确定的情况,导致临床和病理决策中存在相当大的不确定性。

最新发现

本综述在2022年报告的基础上进行了扩展,介绍了导致诊断不确定(班夫“不确定”类别)的最常见情况,这是一个主要的讨论问题。本文讨论的实体包括:非特异性浸润与活动性排斥反应;活动性排斥反应治疗后的残留炎症;移植后早期的缺血性胰腺炎和胰腺周围反应;与外分泌引流障碍相关的活检结果,以及其他不寻常或非特异性发现。还提出了一种胰腺同种异体移植活检评估算法,这应有助于对形态学结果的解释。

总结

将基本临床信息与病理结果进行系统整合,可以提高胰腺同种异体移植活检的诊断率,并减少“不确定”诊断的病例。

https://cdn.ncbi.nlm.nih.gov/pmc/blobs/0510/12237098/051f17916921/cootr-30-258-g001.jpg

文献AI研究员

20分钟写一篇综述,助力文献阅读效率提升50倍。

立即体验

用中文搜PubMed

大模型驱动的PubMed中文搜索引擎

马上搜索

文档翻译

学术文献翻译模型,支持多种主流文档格式。

立即体验