Suppr超能文献

一名认知功能减退且伴有偶然发现脑肿块的老年患者的诊断挑战

Diagnostic Challenges in an Elderly Patient With Cognitive Decline and an Incidental Brain Mass.

作者信息

Ahmed Adi, Okwuasaba George

机构信息

Emergency Medicine, Scarborough General Hospital, Scarborough, GBR.

Geriatrics, Scarborough General Hospital, Scarborough, GBR.

出版信息

Cureus. 2025 Apr 25;17(4):e82987. doi: 10.7759/cureus.82987. eCollection 2025 Apr.

Abstract

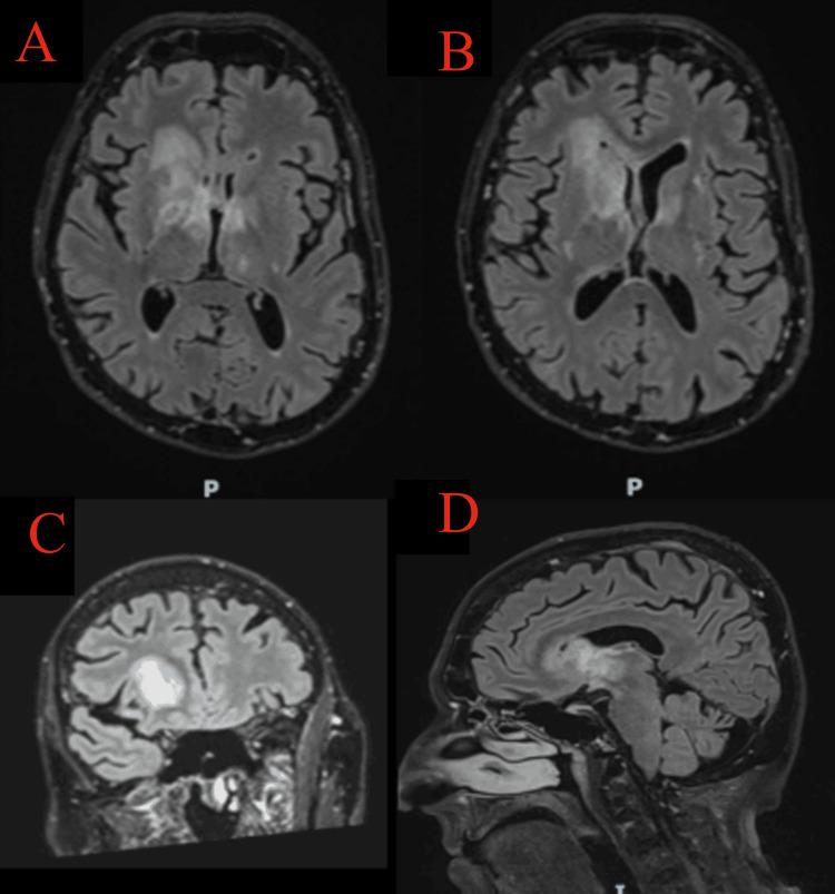
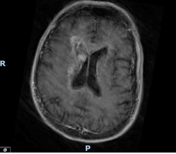
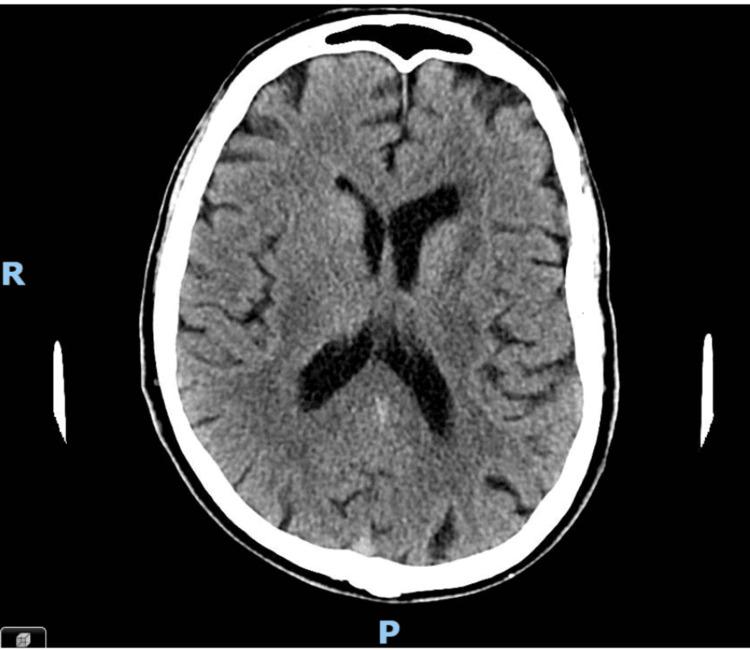
Cognitive impairment in the elderly is often attributed to neurodegenerative processes such as dementia or delirium. However, in some cases, structural brain lesions, including malignancies like glioblastoma and lymphomas, can present similarly. This case report is of a 79-year-old male with progressive cognitive decline who was initially suspected to have dementia but was later found to have a brain mass. The absence of focal neurological deficits and a normal initial CT scan delayed the recognition of an underlying malignancy. An MRI ultimately revealed a lesion concerning glioblastoma or primary central nervous system lymphoma (PCNSL). Given the patient's frailty, the neuro-oncology multidisciplinary team (MDT) recommended best supportive care rather than an invasive biopsy. This case underscores the importance of thorough assessment and neuroimaging in cases of unexplained cognitive decline and highlights the diagnostic pitfalls that can lead to misdiagnosis.

摘要

老年人的认知障碍通常归因于神经退行性过程,如痴呆或谵妄。然而,在某些情况下,包括胶质母细胞瘤和淋巴瘤等恶性肿瘤在内的脑结构病变也可能表现出类似症状。本病例报告的是一名79岁男性,其认知功能进行性下降,最初被怀疑患有痴呆,但后来发现有脑肿块。由于缺乏局灶性神经功能缺损且初始CT扫描正常,导致对潜在恶性肿瘤的识别延迟。最终MRI显示出一个可疑的胶质母细胞瘤或原发性中枢神经系统淋巴瘤(PCNSL)病变。鉴于患者身体虚弱,神经肿瘤多学科团队(MDT)建议采取最佳支持治疗,而非进行侵入性活检。该病例强调了在不明原因认知下降病例中进行全面评估和神经影像学检查的重要性,并突出了可能导致误诊的诊断陷阱。

https://cdn.ncbi.nlm.nih.gov/pmc/blobs/76c4/12103919/5645ae31ff5b/cureus-0017-00000082987-i01.jpg

相似文献

1
Diagnostic Challenges in an Elderly Patient With Cognitive Decline and an Incidental Brain Mass.
Cureus. 2025 Apr 25;17(4):e82987. doi: 10.7759/cureus.82987. eCollection 2025 Apr.
2
Absence of enhancement in a lesion does not preclude primary central nervous system T-cell lymphoma: A case report.
World J Clin Cases. 2024 Jan 16;12(2):374-382. doi: 10.12998/wjcc.v12.i2.374.
3
A Rare Presentation of Primary Central Nervous System Lymphoma in an Immunocompetent Patient.
Cureus. 2022 Apr 5;14(4):e23858. doi: 10.7759/cureus.23858. eCollection 2022 Apr.
4
Neuroradiological features of lymphomatosis cerebri: A systematic review of the English literature with a new case report.
Oncol Lett. 2018 Aug;16(2):1463-1474. doi: 10.3892/ol.2018.8839. Epub 2018 May 30.
5
Inflammatory Demyelinating Lesions: True Sentinel Lesion or Immune-Mediated Response to Lymphoma?
World Neurosurg. 2021 Jan;145:172-177. doi: 10.1016/j.wneu.2020.09.064. Epub 2020 Sep 17.
6
Letter to the Editor: Depression As The First Symptom Of Frontal Lobe Grade 2 Malignant Glioma.
Turk Psikiyatri Derg. 2022 Summer;33(2):143-145. doi: 10.5080/u25957.
7
Tingling, Numbness, and Underlying Malignancy: A Case Report of Glioblastoma Multiforme.
Cureus. 2024 Dec 20;16(12):e76081. doi: 10.7759/cureus.76081. eCollection 2024 Dec.
9
Mind Games: A Curious Case of Primary CNS Lymphoma Masquerading as Glioblastoma Multiforme.
Cureus. 2024 Oct 13;16(10):e71358. doi: 10.7759/cureus.71358. eCollection 2024 Oct.
10
Primary central nervous system lymphoma: A mirror type presentation in an immunocompetent patient.
Surg Neurol Int. 2024 Apr 26;15:143. doi: 10.25259/SNI_65_2024. eCollection 2024.

本文引用的文献

1
Advanced diffusion imaging reveals microstructural characteristics of primary CNS lymphoma, allowing differentiation from glioblastoma.
Neurooncol Adv. 2024 Jun 8;6(1):vdae093. doi: 10.1093/noajnl/vdae093. eCollection 2024 Jan-Dec.
2
Glioma.
Nat Rev Dis Primers. 2024 May 9;10(1):33. doi: 10.1038/s41572-024-00516-y.
3
Primary central nervous system lymphoma.
Blood. 2022 Sep 1;140(9):971-979. doi: 10.1182/blood.2020008377.
5
Primary central nervous system lymphoma.
Hematology Am Soc Hematol Educ Program. 2016 Dec 2;2016(1):379-385. doi: 10.1182/asheducation-2016.1.379.
6
CNS intravascular lymphoma: an underappreciated cause of rapidly progressive dementia.
BMJ Case Rep. 2014 Apr 10;2014:bcr2014203772. doi: 10.1136/bcr-2014-203772.

文献AI研究员

20分钟写一篇综述,助力文献阅读效率提升50倍。

立即体验

用中文搜PubMed

大模型驱动的PubMed中文搜索引擎

马上搜索

文档翻译

学术文献翻译模型,支持多种主流文档格式。

立即体验