Suppr超能文献

支架挤压术挽救因取出被困导丝导致的支架结节变形:一例报告

Stent Crush Bailout for a Deformed Stent Nodule Caused by Entrapped Guidewire Extraction: A Case Report.

作者信息

Saito Ken, Yoneda Shuichi, Matama Hideo, Noguchi Teruo

机构信息

Cardiovascular Medicine, National Cerebral and Cardiovascular Center, Suita, JPN.

出版信息

Cureus. 2025 Apr 25;17(4):e82980. doi: 10.7759/cureus.82980. eCollection 2025 Apr.

Abstract

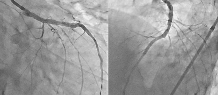
We report the case of an 82-year-old man with end-stage renal failure and complex coronary artery disease who underwent percutaneous coronary intervention (PCI) for severe calcified stenosis in the left main trunk and proximal left anterior descending artery. Given the heavily calcified nature of the lesion, rotational atherectomy (Rotablator, Boston Scientific, Marlborough, MA) was performed. A provisional stenting strategy was employed with side-branch wire protection. Protected hydrophilic-coated guide wire (Runthrough NS Ultra Floppy; Terumo, Tokyo, Japan) entrapment likely occurred due to wrapping around stent struts during proximal optimization technique (POT) in a heavily calcified bifurcation, resulting in stent deformation upon attempted wire withdrawal. Intravascular ultrasound played a crucial role in confirming wire position, stent deformation, and post-fenestration stent apposition. Final angiography demonstrated TIMI (Thrombolysis in Myocardial Infarction) 3 flow with no side-branch compromise, and the patient remained asymptomatic post-procedure. This case highlights the importance of meticulous technique and intravascular imaging guidance in high-risk bifurcation PCI.

摘要

我们报告了一例82岁男性患者,其患有终末期肾衰竭和复杂冠状动脉疾病,因左主干和左前降支近端严重钙化狭窄接受了经皮冠状动脉介入治疗(PCI)。鉴于病变的严重钙化性质,进行了旋磨术(Rotablator,波士顿科学公司,马尔伯勒,马萨诸塞州)。采用临时支架置入策略并进行边支钢丝保护。在严重钙化的分叉病变近端优化技术(POT)过程中,受保护的亲水涂层导丝(Runthrough NS Ultra Floppy;日本东京泰尔茂公司)可能因缠绕在支架支柱上而发生嵌顿,导致在试图拔出导丝时支架变形。血管内超声在确认导丝位置、支架变形和开窗后支架贴壁方面发挥了关键作用。最终血管造影显示心肌梗死溶栓治疗(TIMI)血流3级,且无边支受损,患者术后无症状。该病例强调了在高危分叉病变PCI中精细技术和血管内成像引导的重要性。

https://cdn.ncbi.nlm.nih.gov/pmc/blobs/f61b/12103838/064a75e5c144/cureus-0017-00000082980-i01.jpg

文献AI研究员

20分钟写一篇综述,助力文献阅读效率提升50倍。

立即体验

用中文搜PubMed

大模型驱动的PubMed中文搜索引擎

马上搜索

文档翻译

学术文献翻译模型,支持多种主流文档格式。

立即体验