Suppr超能文献

青少年拇外翻的Lapidus手术

Lapidus Procedure for Adolescent Hallux Valgus.

作者信息

Padgett Anthony M, Johnson Michael D, Conklin Michael J

机构信息

University of Alabama at Birmingham, Department of Orthopaedic Surgery, Birmingham, AL.

Children's of Alabama, Division of Orthopedic Surgery, Birmingham, AL.

出版信息

J Pediatr Soc North Am. 2024 Feb 5;5(4):745. doi: 10.55275/JPOSNA-2023-745. eCollection 2023 Nov.

Abstract

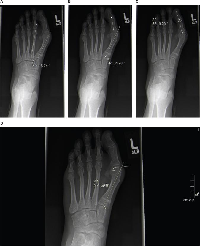
Surgical correction of adolescent hallux valgus (AHV) is accompanied by high rates of recurrence. Thus, surgery in the adolescent age group should only be undertaken in fully informed patients with pain refractory to nonoperative measures. A subset of patients with AHV may manifest hypermobility of the 1 tarsometatarsal joint (TMTJ), which may lead to recurrence. The Lapidus or modified Lapidus procedure involves TMTJ fusion and is a powerful and durable procedure for correcting metatarsus primus varus (MPV) and thus hallux valgus. Furthermore, it can reliably correct pronation of the 1 metatarsal, which may contribute to high recurrence rates. As many pediatric orthopaedists may be unfamiliar with this operation, we discuss patient evaluation and preferred technique for the performance of the Lapidus procedure. •Hypermobility of the 1 ray leads to metatarsus primus varus and hallux valgus and is likely a mechanism for recurrence after AHV surgery.•Standing radiographs disclose an increased 1/2 intermetatarsal angle (IMA) and excessive dorsiflexion of the 1 ray. Hypertrophy of the cortex of the 2 metatarsal is variable.•1 TMTJ fusion can result in lasting correction of MPV and AHV.•It is imperative that cartilage resection proceeds all the way plantar (3 cm) to allow for adequate plantarflexion of the 1 ray. Minimal resection prevents excessive shortening and internal fixation should be rigid.

摘要

青少年拇外翻(AHV)的手术矫正术后复发率很高。因此,青少年患者的手术应仅在对非手术治疗无效且疼痛的患者充分知情的情况下进行。一部分AHV患者可能表现为第一跗跖关节(TMTJ)活动过度,这可能导致复发。Lapidus或改良Lapidus手术包括TMTJ融合,是一种有效且持久的矫正第一跖骨内翻(MPV)进而矫正拇外翻的手术。此外,它能可靠地矫正第一跖骨的前旋,这可能是导致高复发率的原因。由于许多小儿骨科医生可能不熟悉该手术,我们讨论Lapidus手术的患者评估及优选技术。

•第一跖骨活动过度导致第一跖骨内翻和拇外翻,这可能是AHV手术后复发的一种机制。

•站立位X线片显示第一/二跖骨间角(IMA)增大以及第一跖骨过度背屈。第二跖骨皮质增厚情况不一。

•第一TMTJ融合可实现对MPV和AHV的持久矫正。

•必须将软骨切除至足底全长(3厘米),以使第一跖骨有足够的跖屈。最小限度的切除可防止过度缩短,内固定应牢固。

https://cdn.ncbi.nlm.nih.gov/pmc/blobs/bf54/12088126/37fc090d2581/gr9.jpg

文献AI研究员

20分钟写一篇综述,助力文献阅读效率提升50倍。

立即体验

用中文搜PubMed

大模型驱动的PubMed中文搜索引擎

马上搜索

文档翻译

学术文献翻译模型,支持多种主流文档格式。

立即体验