• 文献检索
  • 文档翻译
  • 深度研究
  • 学术资讯
  • Suppr Zotero 插件Zotero 插件
  • 邀请有礼
  • 套餐&价格
  • 历史记录
应用&插件
Suppr Zotero 插件Zotero 插件浏览器插件Mac 客户端Windows 客户端微信小程序
定价
高级版会员购买积分包购买API积分包
服务
文献检索文档翻译深度研究API 文档MCP 服务
关于我们
关于 Suppr公司介绍联系我们用户协议隐私条款
关注我们

Suppr 超能文献

核心技术专利:CN118964589B侵权必究
粤ICP备2023148730 号-1Suppr @ 2026

文献检索

告别复杂PubMed语法,用中文像聊天一样搜索,搜遍4000万医学文献。AI智能推荐,让科研检索更轻松。

立即免费搜索

文件翻译

保留排版,准确专业,支持PDF/Word/PPT等文件格式,支持 12+语言互译。

免费翻译文档

深度研究

AI帮你快速写综述,25分钟生成高质量综述,智能提取关键信息,辅助科研写作。

立即免费体验

一项关于细胞治疗作为退行性颈椎病手术减压辅助手段的临床前研究,该研究通过加速血脊髓屏障重建和神经功能恢复来实现。

A preclinical study on cell therapy as an adjunct to surgical decompression in degenerative cervical myelopathy via accelerating blood spinal cord barrier reconstitution and neurological recovery.

作者信息

Kim Hyun Woo, Shi Liang Yu, Lee Min Goo, Kim Ra Hye, Fan Zhi Yi, Koljonen Paul Aarne, Shea Graham Ka Hon

机构信息

Department of Orthopaedics and Traumatology, LKS Faulty of Medicine, The University of Hong Kong, Hong Kong, China.

出版信息

Stem Cell Res Ther. 2025 May 28;16(1):262. doi: 10.1186/s13287-025-04348-9.

DOI:10.1186/s13287-025-04348-9
PMID:40437637
原文链接:https://pmc.ncbi.nlm.nih.gov/articles/PMC12121088/
Abstract

BACKGROUND

Degenerative cervical myelopathy (DCM) is the most common disorder affecting the cervical spinal cord in the developed world. Whilst surgery is effective, many patients suffer from residual neurological deficits post-decompression. Cell-based therapies have been studied for traumatic spinal cord injury models but not DCM and may be efficacious as an adjunct to surgical decompression via trophic factor secretion, parenchymal engraftment and/or blood spinal cord barrier reconstitution.

METHODS

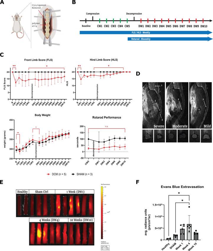
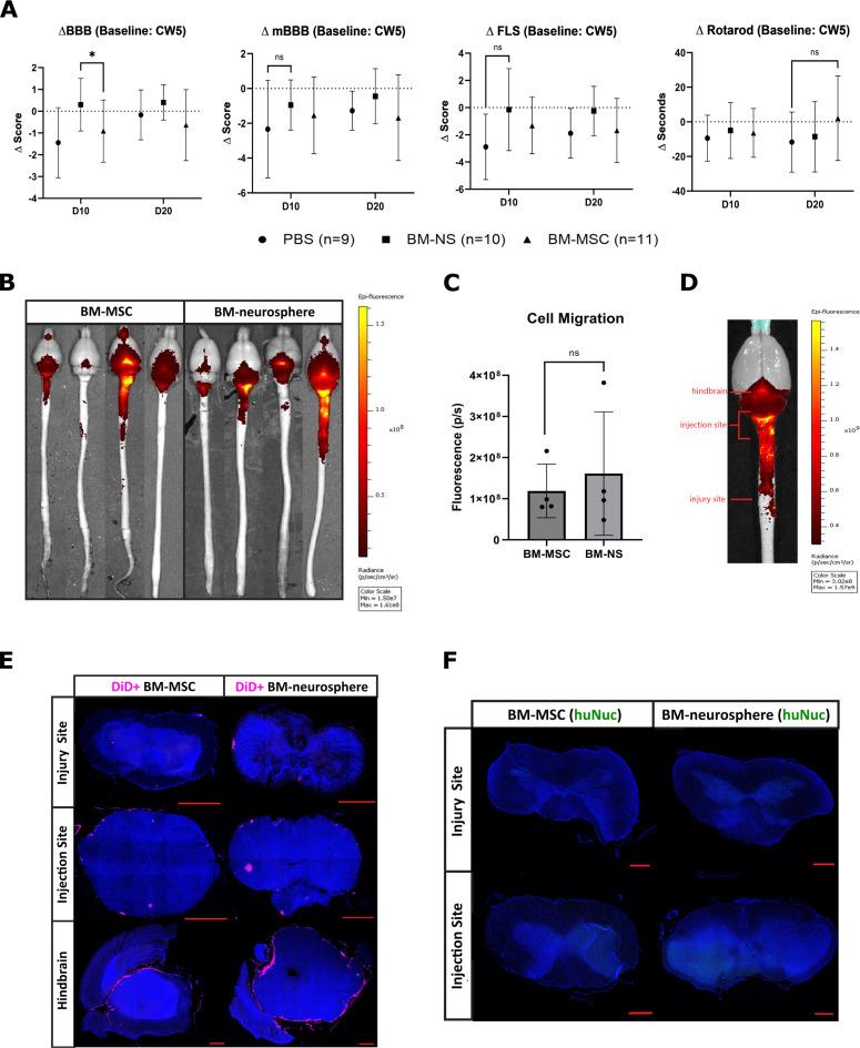
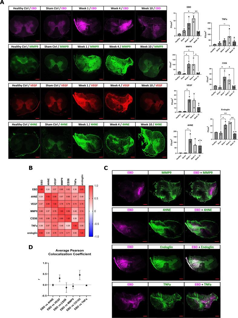
98 SD rats at age 10-12 weeks underwent five weeks of cervical compression by inserting a water-absorbent polyurethane polymer at the C4 epidural space or received sham surgery. Decompression surgery was performed by removing the polymer. Treatment groups received BM-MSCs (bone marrow-derived marrow stromal cells) or BM-neurospheres intravenously or intracisternally at the time of decompression. Locomotor function (BBB testing, rotarod testing, Forelimb Score, and Hind Limb Score) and blood -spinal cord barrier (BSCB) recovery via Evans blue extravasation was observed in 35 rats during the 10-week post-decompression recovery period. 30 rats were used to determine in vivo cell distribution and comparative efficacy of intravenous (IV) or intracisternal (CIS) injection. The remaining rats were sacrificed to assess for the engraftment of transplanted cells. In vivo bioluminescent imaging (BLI) of EGFP-Luciferase BM-MSCs localized cells grossly to organ systems, whilst immunohistochemistry (IHC) of spinal cord specimens targeting anti-human antigens facilitated localization at the site of compression.

RESULTS

BSCB disruption indicated by Evans Blue dye extravasation peaked at Week-4 post-decompression (DW4) and correlated with endoglin expression. Locomotor recovery after polymer removal was delayed with minor improvements observed by Week-8 post-decompression (DW8). IV and CIS injection of BM-MSCs did not lead to significant improvement in locomotor function (p = 0.101, Rotarod Test: PBS vs. CIS) nor of BSCB reconstitution by Day 10 post-decompression. BLI showed significant peripheral organ entrapment of IV BM-MSCs, while CIS BM-MSCs remained in the cervical region, with IHC demonstrating localization to the pia mater. At Day 20, both CIS BM-MSCs and BM-neurospheres similarly failed to significantly improve locomotor function (p = 0.136, Rotarod Test: PBS vs. BM-neurospheres) and transplanted cells were absent from the cervical cord parenchyma.

CONCLUSION

Human BM-MSCs and BM-neurospheres demonstrate limited efficacy as adjunct therapy to cervical decompression under the present experimental conditions. Adjusting insertable polymer hardness, cell number, and timing of cell transplantation may be future means to demonstrate potential therapeutic effectiveness.

摘要

背景

在发达国家,退行性颈椎脊髓病(DCM)是影响颈脊髓的最常见疾病。虽然手术有效,但许多患者在减压后仍存在神经功能缺损。基于细胞的疗法已在创伤性脊髓损伤模型中进行了研究,但尚未用于DCM,并且通过营养因子分泌、实质内植入和/或血脊髓屏障重建,可能作为手术减压的辅助手段有效。

方法

98只10 - 12周龄的SD大鼠,通过在C4硬膜外间隙插入吸水性聚氨酯聚合物进行为期五周的颈椎压迫,或接受假手术。通过移除聚合物进行减压手术。治疗组在减压时经静脉或脑池内给予骨髓间充质干细胞(BM - MSCs)或骨髓神经球。在减压后10周的恢复期内,观察35只大鼠的运动功能(BBB测试、转棒测试、前肢评分和后肢评分)以及通过伊文思蓝外渗评估的血脊髓屏障(BSCB)恢复情况。30只大鼠用于确定静脉注射(IV)或脑池内注射(CIS)的体内细胞分布和比较疗效。其余大鼠处死后评估移植细胞的植入情况。对表达增强绿色荧光蛋白 - 荧光素酶的BM - MSCs进行体内生物发光成像(BLI)可将细胞大致定位到器官系统,而针对抗人抗原的脊髓标本免疫组织化学(IHC)有助于在压迫部位进行定位。

结果

伊文思蓝染料外渗表明的BSCB破坏在减压后第4周(DW4)达到峰值,并与内皮糖蛋白表达相关。移除聚合物后的运动恢复延迟,在减压后第8周(DW8)观察到轻微改善。静脉注射和脑池内注射BM - MSCs在减压后第10天并未导致运动功能有显著改善(p = 0.101,转棒测试:PBS与CIS),也未使BSCB重建。BLI显示静脉注射的BM - MSCs在周围器官有明显滞留,而脑池内注射的BM - MSCs仍留在颈部区域,免疫组织化学显示其定位于软脑膜。在第20天,脑池内注射的BM - MSCs和骨髓神经球同样未能显著改善运动功能(p = 0.136,转棒测试:PBS与骨髓神经球),并且颈髓实质内没有移植细胞。

结论

在当前实验条件下,人BM - MSCs和骨髓神经球作为颈椎减压辅助治疗的疗效有限。调整可插入聚合物的硬度、细胞数量和细胞移植时间可能是未来证明潜在治疗效果的方法。

https://cdn.ncbi.nlm.nih.gov/pmc/blobs/2fcb/12121088/e85e7eb4974b/13287_2025_4348_Fig7_HTML.jpg
https://cdn.ncbi.nlm.nih.gov/pmc/blobs/2fcb/12121088/a1cc40aea5f3/13287_2025_4348_Fig1_HTML.jpg
https://cdn.ncbi.nlm.nih.gov/pmc/blobs/2fcb/12121088/f9d5f8ed4189/13287_2025_4348_Fig2_HTML.jpg
https://cdn.ncbi.nlm.nih.gov/pmc/blobs/2fcb/12121088/ab1bde6a33ad/13287_2025_4348_Fig3_HTML.jpg
https://cdn.ncbi.nlm.nih.gov/pmc/blobs/2fcb/12121088/c93b7a10df9e/13287_2025_4348_Fig4_HTML.jpg
https://cdn.ncbi.nlm.nih.gov/pmc/blobs/2fcb/12121088/ba5632f58f26/13287_2025_4348_Fig5_HTML.jpg
https://cdn.ncbi.nlm.nih.gov/pmc/blobs/2fcb/12121088/91f1f6cbead6/13287_2025_4348_Fig6_HTML.jpg
https://cdn.ncbi.nlm.nih.gov/pmc/blobs/2fcb/12121088/e85e7eb4974b/13287_2025_4348_Fig7_HTML.jpg
https://cdn.ncbi.nlm.nih.gov/pmc/blobs/2fcb/12121088/a1cc40aea5f3/13287_2025_4348_Fig1_HTML.jpg
https://cdn.ncbi.nlm.nih.gov/pmc/blobs/2fcb/12121088/f9d5f8ed4189/13287_2025_4348_Fig2_HTML.jpg
https://cdn.ncbi.nlm.nih.gov/pmc/blobs/2fcb/12121088/ab1bde6a33ad/13287_2025_4348_Fig3_HTML.jpg
https://cdn.ncbi.nlm.nih.gov/pmc/blobs/2fcb/12121088/c93b7a10df9e/13287_2025_4348_Fig4_HTML.jpg
https://cdn.ncbi.nlm.nih.gov/pmc/blobs/2fcb/12121088/ba5632f58f26/13287_2025_4348_Fig5_HTML.jpg
https://cdn.ncbi.nlm.nih.gov/pmc/blobs/2fcb/12121088/91f1f6cbead6/13287_2025_4348_Fig6_HTML.jpg
https://cdn.ncbi.nlm.nih.gov/pmc/blobs/2fcb/12121088/e85e7eb4974b/13287_2025_4348_Fig7_HTML.jpg

相似文献

1
A preclinical study on cell therapy as an adjunct to surgical decompression in degenerative cervical myelopathy via accelerating blood spinal cord barrier reconstitution and neurological recovery.一项关于细胞治疗作为退行性颈椎病手术减压辅助手段的临床前研究,该研究通过加速血脊髓屏障重建和神经功能恢复来实现。
Stem Cell Res Ther. 2025 May 28;16(1):262. doi: 10.1186/s13287-025-04348-9.
2
Ischemia-reperfusion injury after spinal cord decompressive surgery-An in vivo rat model.脊髓减压手术后的缺血再灌注损伤——一种体内大鼠模型。
Animal Model Exp Med. 2025 Mar;8(3):405-420. doi: 10.1002/ame2.12485. Epub 2024 Sep 3.
3
Methylprednisolone treatment enhances early recovery following surgical decompression for degenerative cervical myelopathy without compromise to the systemic immune system.甲泼尼龙治疗可增强退行性颈椎脊髓病患者手术减压后的早期恢复,而不影响全身免疫系统。
J Neuroinflammation. 2018 Aug 6;15(1):222. doi: 10.1186/s12974-018-1257-7.
4
Diffuse and persistent blood-spinal cord barrier disruption after contusive spinal cord injury rapidly recovers following intravenous infusion of bone marrow mesenchymal stem cells.脊髓挫伤性损伤后弥漫性和持续性血脊髓屏障破坏在静脉输注骨髓间充质干细胞后迅速恢复。
Exp Neurol. 2015 May;267:152-64. doi: 10.1016/j.expneurol.2015.03.001. Epub 2015 Mar 12.
5
Blood spinal cord barrier disruption recovers in patients with degenerative cervical myelopathy after surgical decompression: a prospective cohort study.手术减压后退变性颈椎病患者的血脊髓屏障破坏可恢复:一项前瞻性队列研究。
Sci Rep. 2023 May 6;13(1):7389. doi: 10.1038/s41598-023-34004-2.
6
Comparison of Mesenchymal Stromal Cells Isolated from Murine Adipose Tissue and Bone Marrow in the Treatment of Spinal Cord Injury.比较来源于鼠脂肪组织和骨髓间充质基质细胞在治疗脊髓损伤中的作用。
Cell Transplant. 2018 Jul;27(7):1126-1139. doi: 10.1177/0963689718780309. Epub 2018 Jun 27.
7
Role of bone marrow derived mesenchymal stromal cells and Schwann-like cells transplantation on spinal cord injury in adult male albino rats.骨髓间充质基质细胞和雪旺样细胞移植对成年雄性白化大鼠脊髓损伤的作用。
Biomed Pharmacother. 2018 Dec;108:1365-1375. doi: 10.1016/j.biopha.2018.09.131. Epub 2018 Oct 5.
8
Blood-spinal cord barrier disruption in degenerative cervical myelopathy.退变性颈椎病中的血-脊髓屏障破坏。
Fluids Barriers CNS. 2023 Sep 25;20(1):68. doi: 10.1186/s12987-023-00463-y.
9
Inadequate spinal cord expansion in intraoperative ultrasound after decompression may predict neurological recovery of degenerative cervical myelopathy.术中超声减压后脊髓扩张不足可能预测退行性颈椎脊髓病的神经恢复。
Eur Radiol. 2021 Nov;31(11):8478-8487. doi: 10.1007/s00330-021-08000-x. Epub 2021 Apr 30.
10
The changes in systemic monocytes in humans undergoing surgical decompression for degenerative cervical myelopathy may influence clinical neurological recovery.行颈椎减压手术治疗退行性颈椎病的患者体内系统单核细胞的变化可能会影响临床神经恢复。
J Neuroimmunol. 2019 Nov 15;336:577024. doi: 10.1016/j.jneuroim.2019.577024. Epub 2019 Aug 16.

本文引用的文献

1
Mesenchymal Stem Cells and Their Extracellular Vesicles: Therapeutic Mechanisms for Blood-Spinal Cord Barrier Repair Following Spinal Cord Injury.间充质干细胞及其细胞外囊泡:脊髓损伤后血脊髓屏障修复的治疗机制
Int J Mol Sci. 2024 Dec 16;25(24):13460. doi: 10.3390/ijms252413460.
2
Ischemia-reperfusion injury: molecular mechanisms and therapeutic targets.缺血再灌注损伤:分子机制与治疗靶点。
Signal Transduct Target Ther. 2024 Jan 8;9(1):12. doi: 10.1038/s41392-023-01688-x.
3
Blood-spinal cord barrier disruption in degenerative cervical myelopathy.
退变性颈椎病中的血-脊髓屏障破坏。
Fluids Barriers CNS. 2023 Sep 25;20(1):68. doi: 10.1186/s12987-023-00463-y.
4
Revealing the developmental origin and lineage predilection of neural progenitors within human bone marrow via single-cell analysis: implications for regenerative medicine.通过单细胞分析揭示人类骨髓中神经祖细胞的发育起源和谱系偏向:对再生医学的启示。
Genome Med. 2023 Sep 4;15(1):66. doi: 10.1186/s13073-023-01224-0.
5
Repeated intravenous infusion of mesenchymal stem cells enhances recovery of motor function in a rat model with chronic spinal cord injury.重复静脉输注间充质干细胞可增强慢性脊髓损伤大鼠模型运动功能的恢复。
Brain Res. 2023 Oct 15;1817:148484. doi: 10.1016/j.brainres.2023.148484. Epub 2023 Jul 11.
6
Blood spinal cord barrier disruption recovers in patients with degenerative cervical myelopathy after surgical decompression: a prospective cohort study.手术减压后退变性颈椎病患者的血脊髓屏障破坏可恢复:一项前瞻性队列研究。
Sci Rep. 2023 May 6;13(1):7389. doi: 10.1038/s41598-023-34004-2.
7
Mesenchymal stem cells in the treatment of spinal cord injury: Mechanisms, current advances and future challenges.间质干细胞治疗脊髓损伤:机制、当前进展和未来挑战。
Front Immunol. 2023 Feb 24;14:1141601. doi: 10.3389/fimmu.2023.1141601. eCollection 2023.
8
Neurovascular Unit Compensation from Adjacent Level May Contribute to Spontaneous Functional Recovery in Experimental Cervical Spondylotic Myelopathy.相邻节段的神经血管单元代偿可能有助于实验性脊髓型颈椎病的自发功能恢复。
Int J Mol Sci. 2023 Feb 8;24(4):3408. doi: 10.3390/ijms24043408.
9
Cervical Spinal Cord Ischemic Reperfusion Injury: A Comprehensive Narrative Review of the Literature and Case Presentation.颈脊髓缺血再灌注损伤:文献综述与病例报告
Cureus. 2022 Sep 3;14(9):e28715. doi: 10.7759/cureus.28715. eCollection 2022 Sep.
10
Single-cell spatiotemporal analysis reveals cell fates and functions of transplanted mesenchymal stromal cells during bone repair.单细胞时空分析揭示了移植间充质基质细胞在骨修复过程中的细胞命运和功能。
Stem Cell Reports. 2022 Oct 11;17(10):2318-2333. doi: 10.1016/j.stemcr.2022.08.008. Epub 2022 Sep 22.