Honjo Kaori, Osato Toshiaki, Amano Yuuki, Sakurai Suguru, Katayama Michiru, Watanabe Toshiichi, Nakamura Hirohiko
Department of Neurosurgery, Nakamura Memorial Hospital, Sapporo, Hokkaido, Japan.
Department of Neurosurgery, Hakodate Neurosurgical Hospital, Hakodate, Hokkaido, Japan.
J Neurosurg Case Lessons. 2025 Jun 2;9(22). doi: 10.3171/CASE2598.
This study reports a case investigating the long-term progression of moyamoya disease (MMD) involving a duplicated middle cerebral artery (MCA). MMD is characterized by progressive stenosis of the terminal internal carotid artery (ICA) and its terminal branches, which is accompanied by the formation of collateral vessels.
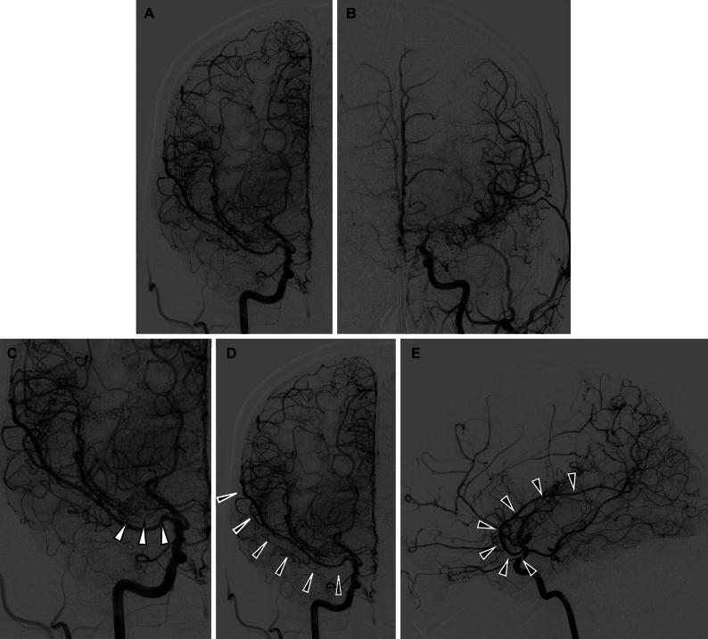
A 49-year-old Japanese woman diagnosed with MMD at 38 years of age was found to have a duplicated right MCA through digital subtraction angiography. Two years after the diagnosis, the vascular lesion progressed, leading to dropout of the right proximal anterior cerebral artery and disappearance of the bilateral anterior cerebral artery. She experienced a transient ischemic attack 2 years after the diagnosis and underwent bilateral revascularization. Eleven years of follow-up revealed no stenosis in either the MCA or ICA.
The progression of MMD may be attributed to shear stress that might have weakened the ICA distal to the duplicated MCA. Blood flow to the duplicated MCA was maintained, and the proximal ICA did not develop stenosis due to the preservation of shear stress. https://thejns.org/doi/10.3171/CASE2598.
本研究报告了一例关于烟雾病(MMD)合并大脑中动脉(MCA)重复畸形的长期进展情况的病例调查。烟雾病的特征是颈内动脉(ICA)末端及其分支进行性狭窄,并伴有侧支血管形成。
一名49岁的日本女性在38岁时被诊断为烟雾病,通过数字减影血管造影发现右侧MCA重复畸形。诊断后两年,血管病变进展,导致右侧大脑前动脉近端血流中断以及双侧大脑前动脉消失。诊断后2年她经历了一次短暂性脑缺血发作,并接受了双侧血运重建术。11年的随访显示MCA或ICA均无狭窄。
烟雾病的进展可能归因于剪切力,该剪切力可能削弱了重复畸形的MCA远端的ICA。重复畸形的MCA的血流得以维持,并且由于剪切力的保留,近端ICA未出现狭窄。https://thejns.org/doi/10.3171/CASE2598