• 文献检索
  • 文档翻译
  • 深度研究
  • 学术资讯
  • Suppr Zotero 插件Zotero 插件
  • 邀请有礼
  • 套餐&价格
  • 历史记录
应用&插件
Suppr Zotero 插件Zotero 插件浏览器插件Mac 客户端Windows 客户端微信小程序
定价
高级版会员购买积分包购买API积分包
服务
文献检索文档翻译深度研究API 文档MCP 服务
关于我们
关于 Suppr公司介绍联系我们用户协议隐私条款
关注我们

Suppr 超能文献

核心技术专利:CN118964589B侵权必究
粤ICP备2023148730 号-1Suppr @ 2026

文献检索

告别复杂PubMed语法,用中文像聊天一样搜索,搜遍4000万医学文献。AI智能推荐,让科研检索更轻松。

立即免费搜索

文件翻译

保留排版,准确专业,支持PDF/Word/PPT等文件格式,支持 12+语言互译。

免费翻译文档

深度研究

AI帮你快速写综述,25分钟生成高质量综述,智能提取关键信息,辅助科研写作。

立即免费体验

克服慢性硬膜下血肿中具有挑战性的血管解剖结构:直接颈动脉球部入路和对侧脑膜中动脉栓塞术

Overcoming Challenging Vascular Anatomy in Chronic Subdural Hematoma: Direct Carotid Bulb Access and Contralateral Middle Meningeal Artery Embolization.

作者信息

Patel Saarang, Hoglund Zachary, Palepu Chandrasekhar, Scott Kyle W, Srinivasan Visish M

机构信息

Department of Neurosurgery, Perelman School of Medicine, University of Pennsylvania, Philadelphia, Pennsylvania, United States.

Department of Neurosurgery, School of Medicine, St. George's University, Grenada, West Indies.

出版信息

J Neurol Surg Rep. 2025 May 27;86(2):e116-e121. doi: 10.1055/a-2603-9286. eCollection 2025 Apr.

DOI:10.1055/a-2603-9286
PMID:40458533
原文链接:https://pmc.ncbi.nlm.nih.gov/articles/PMC12129607/
Abstract

BACKGROUND

Middle meningeal artery (MMA) embolization is an emerging intervention for subdural hemorrhage. Few cases discuss the utility of contralateral MMA embolization due to challenging ipsilateral MMA anatomy for this indication.

CASE PRESENTATION

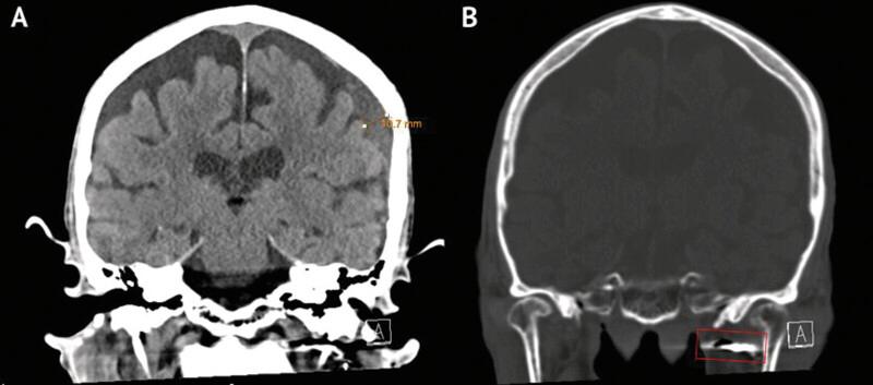
A 90-year-old male presented after 6 days of slurred speech and severe headache. A head computed tomography (CT) revealed a left-sided 13-mm subdural hemorrhage, and neck CT angiography revealed left internal carotid artery stenosis at 50%. The carotid stenosis was treated with a standard carotid endarterectomy at the carotid bulb. Despite direct catheterization of the external carotid artery, selective catheterization of the MMA was not feasible. Instead, coils were placed in the left internal maxillary artery spanning the left MMA origin, and the right MMA was selectively embolized using a standard transradial approach. Postoperative CT showed a reduction in subdural hematoma (SDH) size, and the patient was discharged in stable condition on postoperative day 6.

CONCLUSION

This case presents a rescue or salvage maneuver for MMA embolization for SDH with a favorable safety profile and outcome.

摘要

背景

脑膜中动脉(MMA)栓塞术是一种用于治疗硬膜下出血的新兴干预措施。由于该适应症同侧MMA解剖结构具有挑战性,很少有病例讨论对侧MMA栓塞术的效用。

病例介绍

一名90岁男性在出现言语含糊和严重头痛6天后就诊。头部计算机断层扫描(CT)显示左侧有13毫米的硬膜下出血,颈部CT血管造影显示左侧颈内动脉狭窄50%。在颈动脉球部对颈动脉狭窄进行了标准的颈动脉内膜切除术治疗。尽管直接对颈外动脉进行了插管,但对MMA进行选择性插管不可行。取而代之的是,将线圈置于跨越左侧MMA起源处的左上颌动脉内,并采用标准的经桡动脉途径对右侧MMA进行选择性栓塞。术后CT显示硬膜下血肿(SDH)大小减小,患者在术后第6天病情稳定出院。

结论

本病例展示了一种用于硬膜下出血的MMA栓塞术的挽救或补救策略,具有良好的安全性和预后。

https://cdn.ncbi.nlm.nih.gov/pmc/blobs/3064/12129607/e2669487dcae/10-1055-a-2603-9286_26047854.jpg
https://cdn.ncbi.nlm.nih.gov/pmc/blobs/3064/12129607/a0b00712e141/10-1055-a-2603-9286_26047851.jpg
https://cdn.ncbi.nlm.nih.gov/pmc/blobs/3064/12129607/dc202475fc2d/10-1055-a-2603-9286_26047852.jpg
https://cdn.ncbi.nlm.nih.gov/pmc/blobs/3064/12129607/840c8341e372/10-1055-a-2603-9286_26047853.jpg
https://cdn.ncbi.nlm.nih.gov/pmc/blobs/3064/12129607/e2669487dcae/10-1055-a-2603-9286_26047854.jpg
https://cdn.ncbi.nlm.nih.gov/pmc/blobs/3064/12129607/a0b00712e141/10-1055-a-2603-9286_26047851.jpg
https://cdn.ncbi.nlm.nih.gov/pmc/blobs/3064/12129607/dc202475fc2d/10-1055-a-2603-9286_26047852.jpg
https://cdn.ncbi.nlm.nih.gov/pmc/blobs/3064/12129607/840c8341e372/10-1055-a-2603-9286_26047853.jpg
https://cdn.ncbi.nlm.nih.gov/pmc/blobs/3064/12129607/e2669487dcae/10-1055-a-2603-9286_26047854.jpg

相似文献

1
Overcoming Challenging Vascular Anatomy in Chronic Subdural Hematoma: Direct Carotid Bulb Access and Contralateral Middle Meningeal Artery Embolization.克服慢性硬膜下血肿中具有挑战性的血管解剖结构:直接颈动脉球部入路和对侧脑膜中动脉栓塞术
J Neurol Surg Rep. 2025 May 27;86(2):e116-e121. doi: 10.1055/a-2603-9286. eCollection 2025 Apr.
2
Transradial embolization of the left middle meningeal artery and accessory middle meningeal artery for treatment of subacute-chronic subdural hematoma.经桡动脉左-middle meningeal artery 和 accessory-middle meningeal artery 栓塞治疗亚急性-慢性硬膜下血肿。
J Neurointerv Surg. 2020 Apr;12(4):436. doi: 10.1136/neurintsurg-2019-015493. Epub 2020 Jan 14.
3
Middle Meningeal Artery Embolization in the Treatment of Acute Subdural Hematoma: A Case Series Featuring Access Through a Carotid Stent.经颈动脉支架通路行脑膜中动脉栓塞术治疗急性硬膜下血肿:病例系列报道
Korean J Neurotrauma. 2024 Jun 4;20(2):113-124. doi: 10.13004/kjnt.2024.20.e16. eCollection 2024 Jun.
4
A case of recurrent subdural hematoma after unilateral MMA embolization that resolved after contralateral MMA embolization.1例单侧脑膜中动脉栓塞后复发性硬膜下血肿,对侧脑膜中动脉栓塞后血肿消退。
Interv Neuroradiol. 2024 Dec 11:15910199241267342. doi: 10.1177/15910199241267342.
5
A case of refractory chronic subdural hematoma and internal carotid artery stenosis sequentially treated with surgical drainage, middle meningeal artery embolization, and carotid artery stenting.一例难治性慢性硬膜下血肿合并颈内动脉狭窄患者先后接受了手术引流、脑膜中动脉栓塞及颈动脉支架置入治疗。
Surg Neurol Int. 2022 Aug 5;13:342. doi: 10.25259/SNI_505_2022. eCollection 2022.
6
Middle meningeal artery embolization for chronic subdural hematoma: Endovascular technique and radiographic findings.慢性硬膜下血肿的脑膜中动脉栓塞术:血管内技术及影像学表现
Interv Neuroradiol. 2018 Aug;24(4):455-462. doi: 10.1177/1591019918769336. Epub 2018 May 2.
7
Ischemia of the parotid gland and adjacent muscles of mastication following middle meningeal artery embolization.颞浅动脉栓塞后腮腺及咀嚼肌缺血。
Neuroradiol J. 2023 Oct;36(5):625-629. doi: 10.1177/19714009221150857. Epub 2023 Jan 24.
8
Subdural evacuation port system and middle meningeal artery embolization for chronic subdural hematoma: a multicenter experience.慢性硬脑膜下血肿的硬脑膜下引流管系统和脑膜中动脉栓塞治疗:多中心经验。
J Neurosurg. 2022 Nov 11;139(1):131-138. doi: 10.3171/2022.10.JNS221476. Print 2023 Jul 1.
9
Chronic subdural hematoma recurrence due to contralateral neovascularization following middle meningeal artery embolization.慢性硬脑膜下血肿复发,原因是中脑膜动脉栓塞后对侧新生血管形成。
Interv Neuroradiol. 2022 Dec;28(6):639-643. doi: 10.1177/15910199211065197. Epub 2021 Dec 13.
10
Republished: Resolution of an enlarging subdural haematoma after contralateral middle meningeal artery embolisation.再刊:对侧大脑中动脉栓塞后扩大的硬脑膜下血肿的解决。
J Neurointerv Surg. 2023 Mar;15(3):e2. doi: 10.1136/neurintsurg-2021-017530.rep. Epub 2021 May 13.

本文引用的文献

1
A case of recurrent subdural hematoma after unilateral MMA embolization that resolved after contralateral MMA embolization.1例单侧脑膜中动脉栓塞后复发性硬膜下血肿,对侧脑膜中动脉栓塞后血肿消退。
Interv Neuroradiol. 2024 Dec 11:15910199241267342. doi: 10.1177/15910199241267342.
2
Adjunct Middle Meningeal Artery Embolization Versus Surgery for Chronic Subdural Hematoma: A Systematic Review and Meta-Analysis.补充性中间脑膜动脉栓塞与手术治疗慢性硬脑膜下血肿:系统评价和荟萃分析。
Neurosurg Rev. 2024 Nov 28;47(1):876. doi: 10.1007/s10143-024-03107-3.
3
Middle Meningeal Artery Embolization for Chronic Subdural Hematoma Using N-Butyl Cyanoacrylate With a D5W Push Technique: A Multicentric North American Study of 269 Patients.
使用丁基氰基丙烯酸酯并采用葡萄糖注射液推注技术进行脑膜中动脉栓塞治疗慢性硬膜下血肿:一项针对269例患者的北美多中心研究
Oper Neurosurg (Hagerstown). 2025 Jun 1;28(6):817-823. doi: 10.1227/ons.0000000000001369. Epub 2024 Sep 23.
4
Urgent carotid endarterectomy with distal mechanical thrombectomy.紧急颈动脉内膜切除术联合远端机械取栓术。
J Neurointerv Surg. 2025 Jan 25. doi: 10.1136/jnis-2024-021662.
5
Immediate procedural safety of adjunctive proximal coil occlusion in middle meningeal artery embolization for chronic subdural hematomas: Experience in 137 cases.慢性硬膜下血肿中脑膜中动脉栓塞术辅助近端弹簧圈闭塞的即时手术安全性:137例经验
Interv Neuroradiol. 2024 Jan 2:15910199231224003. doi: 10.1177/15910199231224003.
6
Extensive Roles and Technical Advances of Middle Meningeal Artery Embolization for Chronic Subdural Hematoma.慢性硬脑膜下血肿的中间脑膜动脉栓塞的广泛作用和技术进展。
Neurol Med Chir (Tokyo). 2023 Aug 15;63(8):327-333. doi: 10.2176/jns-nmc.2023-0017. Epub 2023 Jun 8.
7
Middle Meningeal Artery Embolization in the Management of Chronic Subdural Hematoma: a Comprehensive Review of Current Literature.慢性硬脑膜下血肿的中脑膜动脉栓塞治疗:当前文献的综合回顾。
Curr Neurol Neurosci Rep. 2023 Apr;23(4):109-119. doi: 10.1007/s11910-023-01262-6. Epub 2023 Apr 11.
8
Middle meningeal artery embolisation: The review of a new treatment for chronic subdural hematomas.脑膜中动脉栓塞术:慢性硬膜下血肿新治疗方法的综述
Surg Neurol Int. 2023 Feb 24;14:66. doi: 10.25259/SNI_1096_2022. eCollection 2023.
9
Middle Meningeal Artery Embolization Minimizes Burdensome Recurrence Rates After Newly Diagnosed Chronic Subdural Hematoma Evacuation (MEMBRANE): study protocol for a randomized controlled trial.新型慢性硬脑膜下血肿清除术后中脑膜动脉栓塞术可显著降低复发性负担(MEMBRANE):一项随机对照试验的研究方案。
Trials. 2022 Aug 22;23(1):703. doi: 10.1186/s13063-022-06506-3.
10
Recent Advances and Future Directions in Middle Meningeal Artery Embolization for Chronic Subdural Hematomas.慢性硬脑膜下血肿的中间脑膜动脉栓塞术的最新进展和未来方向。
Curr Pain Headache Rep. 2022 Aug;26(8):657-665. doi: 10.1007/s11916-022-01068-0. Epub 2022 Jul 8.