Whiting Zachariah, Williams Austin, Wetzel Robert
University Hospitals of Cleveland, Cleveland, USA.
Eur J Orthop Surg Traumatol. 2025 Jun 4;35(1):231. doi: 10.1007/s00590-025-04350-0.
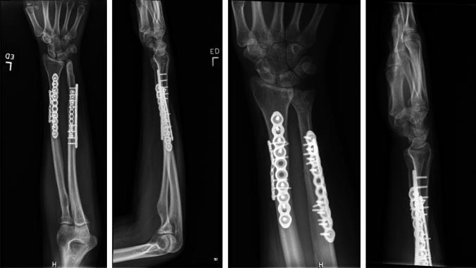
A 20-year-old pregnant female presented with an ulna fracture after a crush and bending type injury. Anatomic reduction of her ulna was not possible due to plastic deformation of the radius, requiring a corrective osteotomy of the radius. She is now 16 months out from surgery with full painless range of motion and radiographic union.
Plastic deformation of forearm fractures in adults is a rare phenomenon. It is possible that the patient's pregnancy contributed to her injury. Patients with uncommon fracture morphology can make operative intervention more complicated and necessitate additional procedures to achieve optimal motion and alignment.
一名20岁的怀孕女性在遭受挤压和弯曲型损伤后出现尺骨骨折。由于桡骨发生塑性变形,无法对其尺骨进行解剖复位,因此需要对桡骨进行矫正截骨术。她现在术后已16个月,活动范围完全无痛,影像学显示骨折已愈合。
成人前臂骨折的塑性变形是一种罕见现象。患者怀孕可能是导致其受伤的原因。骨折形态不常见的患者可能会使手术干预更加复杂,需要额外的手术来实现最佳的活动度和对线。