Suppr超能文献

HS-10375,一种选择性表皮生长因子受体C797S酪氨酸激酶抑制剂,用于治疗晚期非小细胞肺癌。

HS-10375, a selective EGFR C797S tyrosine kinase inhibitor, in advanced non-small cell lung cancer.

作者信息

Zhan Jianhua, Xue Jinhui, Wu Lin, Zhang Zhiye, Wang Qiming, Ma Yuxiang, Huang Yan, Yang Yunpeng, Zhao Yuanyuan, Fang Wenfeng, Zhang Yang, Liu Qianwen, Xu Wen, Yang Yan, Chen Zhenming, Song Baili, Sun Danni, Sun Xia, Gao Peng, Zhao Hongyun, Zhang Li

机构信息

State Key Laboratory of Oncology in South China, Collaborative Innovation Center for Cancer Medicine, Sun Yat-sen University Cancer Center, Guangzhou, China.

The Department of Thoracic Medical Oncology, The Affiliated Cancer Hospital of Xiangya School of Medicine, Hunan Cancer Hospital, Central South University, Changsha, China.

出版信息

J Transl Med. 2025 Jun 4;23(1):628. doi: 10.1186/s12967-025-06613-0.

Abstract

BACKGROUND

The C797S mutation is one of the most common mechanisms of acquired resistance to third generation EGFR TKIs, yet no approved therapies have been available to target it. Here we developed a novel selective EGFR C797S inhibitor, HS-10375, and report the results of pre-clinical research and the first-in-human phase 1 trial.

METHODS

Ba/F3 cell lines and patient-derived cells expressing mutant EGFR were used to test the selectively inhibitory potency of HS-10375 in vitro, and cell line-derived xenograft animal models were used to evaluate the anticancer efficacy of HS-10375 in vivo. In the phase 1 trial, HS-10375 was administered orally at six dose levels (10-240 mg) daily (QD) in 21-day cycles, following a rule-based, rolling six design. The primary objectives were the safety, tolerability and maximum tolerated dose (MTD). The secondary objectives included PK parameters and anti-tumor activity.

RESULTS

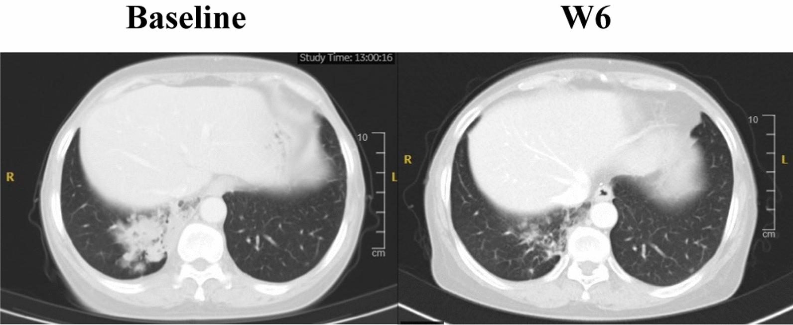
HS-10375 showed more potent activity in inhibiting EGFR phosphorylation compared to 1st to 3rd generation EGFR TKIs in C797S triple-mutant cell lines. HS-10375 also exhibited comparable inhibitory activity to 1st- and 2nd- generation EGFR TKIs and superior activity to 3rd-generation EGFR TKIs in C797S double-mutant cell lines. Furthermore, cells harboring EGFR double or triple C797S mutation underwent remarkable apoptosis upon HS-10375 treatment. HS-10375 effectively inhibited tumor growth in C797S triple-mutant mouse models. In the first-in-human trial, 28 patients with advanced or metastatic non-small cell lung cancers who harbored EGFR mutation and who had experienced treatment failure with EGFR TKI treatment received at least one dose of HS-10375. Dose-limiting toxicities were observed in 2 patients at 240 mg QD, and MTD was reached at HS-10375 150 mg QD. The most common treatment-related adverse events were vomit (37.0%), loss of appetite (33.3%), and elevated AST (33.3%). One patient with EGFR mutations showed tumor shrinkage after progression on five-line treatment including gefitinib, almonertinib, chemotherapy, immunotherapy, and EGFRxHER3 antibody-drug conjugate.

CONCLUSIONS

HS-10375 demonstrated potent and mutant-selective activity against the EGFR C797S mutation in preclinical results, and showed an acceptable safety profile and objective response in a first-in-human phase 1 trial. Trial registration This trial is registered on China Drug Trials (CTR20220045), and ClinicalTrials.gov (NCT05435248).

摘要

背景

C797S突变是获得性耐药于第三代EGFR酪氨酸激酶抑制剂(EGFR TKIs)的最常见机制之一,但尚无获批的疗法可靶向该突变。在此,我们开发了一种新型选择性EGFR C797S抑制剂HS-10375,并报告临床前研究结果及首例人体1期试验结果。

方法

使用表达突变型EGFR的Ba/F3细胞系和患者来源细胞在体外测试HS-10375的选择性抑制效力,并使用细胞系来源的异种移植动物模型在体内评估HS-10375的抗癌疗效。在1期试验中,HS-10375按照基于规则的滚动六人设计,以六个剂量水平(10 - 240毫克)每日一次(QD)口服给药,每21天为一个周期。主要目标是安全性、耐受性和最大耐受剂量(MTD)。次要目标包括药代动力学参数和抗肿瘤活性。

结果

在C797S三重突变细胞系中,与第一代至第三代EGFR TKIs相比,HS-10375在抑制EGFR磷酸化方面表现出更强的活性。在C797S双突变细胞系中,HS-10375还表现出与第一代和第二代EGFR TKIs相当的抑制活性,且优于第三代EGFR TKIs。此外,携带EGFR双或三重C797S突变的细胞在HS-10375处理后发生显著凋亡。HS-10375有效抑制了C797S三重突变小鼠模型中的肿瘤生长。在首例人体试验中,28例携带EGFR突变且EGFR TKI治疗失败的晚期或转移性非小细胞肺癌患者接受了至少一剂HS-10375。在240毫克QD剂量下,2例患者出现剂量限制性毒性,HS-10375 150毫克QD达到MTD。最常见的治疗相关不良事件为呕吐(37.0%)、食欲减退(33.3%)和AST升高(33.3%)。1例EGFR突变患者在接受包括吉非替尼、阿美替尼、化疗、免疫治疗和EGFRxHER3抗体药物偶联物在内的五线治疗进展后出现肿瘤缩小。

结论

临床前结果表明,HS-10375对EGFR C797S突变具有强效且突变选择性活性,在首例人体1期试验中显示出可接受的安全性和客观缓解。试验注册 本试验已在中国药物临床试验登记平台(CTR20220045)和ClinicalTrials.gov(NCT05435248)注册。

https://cdn.ncbi.nlm.nih.gov/pmc/blobs/9219/12135467/c76aaedc5aaf/12967_2025_6613_Fig1_HTML.jpg

文献检索

告别复杂PubMed语法,用中文像聊天一样搜索,搜遍4000万医学文献。AI智能推荐,让科研检索更轻松。

立即免费搜索

文件翻译

保留排版,准确专业,支持PDF/Word/PPT等文件格式,支持 12+语言互译。

免费翻译文档

深度研究

AI帮你快速写综述,25分钟生成高质量综述,智能提取关键信息,辅助科研写作。

立即免费体验