Suppr超能文献

麻烦的症结:小脑前下动脉襻是半面痉挛的罪魁祸首。

Twists of trouble: AICA loops as the culprit in hemifacial spasm.

作者信息

Pradeep Utkarsh, Bawankule Shilpa, Acharya Sourya, Kasat Paschyanti, Padwal Akshay

机构信息

Department of Medicine, Jawaharlal Nehru Medical College, Datta Meghe Institute of Higher Education & Research, Wardha, India.

Department of Radiology, Jawaharlal Nehru Medical College, Datta Meghe Institute of Higher Education & Research, Wardha, India.

出版信息

Radiol Case Rep. 2025 May 12;20(8):3645-3649. doi: 10.1016/j.radcr.2025.04.045. eCollection 2025 Aug.

Abstract

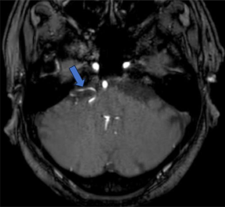
The highly variable anatomy of the anterior inferior cerebellar artery is one of the causative factors of neurovascular compression of the facial and vestibulocochlear nerve resulting in hemifacial spasms associated with hearing loss, vertigo, and tinnitus. Our patient a 64-year-old male presented with such complaints for the past few months. He was investigated thoroughly for the cause and on Magnetic resonance imaging of the brain with Fast imaging employing steady-state acquisition sequence it was evident that the anterior inferior cerebellar artery loop was compressing the seventh and eighth cranial nerves on the right side. This was responsible for the patient's symptoms. He also had sensorineural hearing loss in the right ear. He was started on symptomatic treatment as he denied any surgical intervention.

摘要

小脑下前动脉高度可变的解剖结构是导致面听神经血管受压,进而引发伴有听力丧失、眩晕和耳鸣的半面痉挛的致病因素之一。我们的患者是一名64岁男性,在过去几个月里出现了上述症状。对其病因进行了全面检查,采用稳态采集序列的快速成像进行脑部磁共振成像检查时,明显发现小脑下前动脉襻压迫右侧第七和第八颅神经。这就是导致患者症状的原因。他右耳还存在感音神经性听力损失。由于他拒绝任何手术干预,所以开始了对症治疗。

https://cdn.ncbi.nlm.nih.gov/pmc/blobs/6229/12136876/aabb87652981/gr1.jpg

相似文献

1
Twists of trouble: AICA loops as the culprit in hemifacial spasm.
Radiol Case Rep. 2025 May 12;20(8):3645-3649. doi: 10.1016/j.radcr.2025.04.045. eCollection 2025 Aug.
2
Aural toilet (ear cleaning) for chronic suppurative otitis media.
Cochrane Database Syst Rev. 2025 Jun 9;6(6):CD013057. doi: 10.1002/14651858.CD013057.pub3.
4
Tinnitus: an underreported condition following microvascular decompression for hemifacial spasm.
Acta Neurochir (Wien). 2024 May 9;166(1):207. doi: 10.1007/s00701-024-06103-0.
6
Interventions for central serous chorioretinopathy: a network meta-analysis.
Cochrane Database Syst Rev. 2025 Jun 16;6(6):CD011841. doi: 10.1002/14651858.CD011841.pub3.

本文引用的文献

2
Predictors of Multi-Vessel Identification, Outcome, and Optimal Surgical Timing for Microvascular Decompression in Hemifacial Spasm.
Clin Neurol Neurosurg. 2023 Oct;233:107841. doi: 10.1016/j.clineuro.2023.107841. Epub 2023 Jun 22.
3
Predictability of Fused 3D-T2-SPACE and 3D-TOF-MRA Images in Identifying Conflict in Trigeminal Neuralgia.
J Pain Res. 2021 Nov 1;14:3421-3428. doi: 10.2147/JPR.S331054. eCollection 2021.
5
Challenging Microvascular Decompression Surgery for Hemifacial Spasm.
World Neurosurg. 2021 Jul;151:e94-e99. doi: 10.1016/j.wneu.2021.03.133. Epub 2021 Apr 2.
7
The anatomical classification of AICA/PICA branching and configurations in the cerebellopontine angle area on 3D-drive thin slice T2WI MRI.
Clin Imaging. 2013 Sep-Oct;37(5):865-70. doi: 10.1016/j.clinimag.2011.11.021. Epub 2013 Jun 14.
8
Safety and effectiveness of microvascular decompression for treatment of hemifacial spasm: a systematic review.
Br J Neurosurg. 2012 Aug;26(4):438-44. doi: 10.3109/02688697.2011.641613. Epub 2011 Dec 15.
10
Anterior inferior cerebellar artery syndrome: fact or fiction.
Clin Otolaryngol Allied Sci. 2003 Apr;28(2):75-80. doi: 10.1046/j.1365-2273.2003.00662.x.

文献AI研究员

20分钟写一篇综述,助力文献阅读效率提升50倍。

立即体验

用中文搜PubMed

大模型驱动的PubMed中文搜索引擎

马上搜索

文档翻译

学术文献翻译模型,支持多种主流文档格式。

立即体验