Suppr超能文献

急性蜂窝织炎性阑尾炎伴蜕膜样变:1例报告及文献复习

Acute phlegmonous appendicitis with deciduosis: a case report and literature review.

作者信息

Shimogawa Takuya, Yamao Takanobu, Daitoku Nobuya, Nagayasu Mayumi, Koita Hiroyuki, Kuramoto Kunitaka

机构信息

Department of Gastroenterological Surgery, Graduate School of Medical Sciences Kumamoto University, 1-1-1 Honjo, Kumamoto, 860-8556, Japan.

Department of Surgery, National Hospital Organization Miyakonojo Medical Center, 5033-1 Iwayoshi-cho, Miyakonojo, Miyazaki, 885-0014, Japan.

出版信息

J Surg Case Rep. 2025 Jun 5;2025(6):rjaf375. doi: 10.1093/jscr/rjaf375. eCollection 2025 Jun.

Abstract

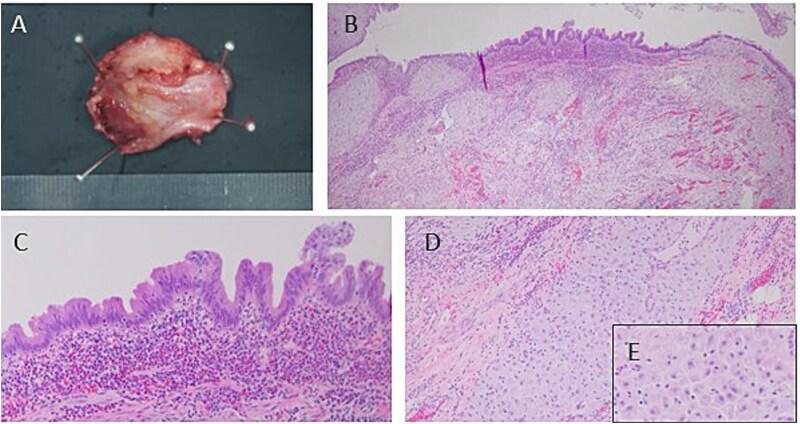
Acute appendicitis is a common disease in pregnancy that is often difficult to diagnose. However, delayed diagnosis may have a negative impact on the pregnant woman and the fetus. In this report, we present the case of a 34-year-old pregnant woman with acute appendicitis. The appendicitis was diagnosed based on her abdominal symptoms, but it was difficult to diagnose based on preoperative imaging studies. Pathological examination led to the diagnosis of appendiceal decidua. Acute appendicitis due to appendiceal decidua is extremely rare and has only been described in a few case reports. It is difficult to diagnose appendiceal decidua from imaging findings. When a pregnant woman is diagnosed with acute abdomen, clinicians should consider appendiceal decidua as one of the causes of acute appendicitis.

摘要

急性阑尾炎是妊娠期常见疾病,常难以诊断。然而,诊断延迟可能会对孕妇和胎儿产生负面影响。在本报告中,我们介绍了一名34岁患急性阑尾炎的孕妇病例。阑尾炎是根据她的腹部症状诊断出来的,但术前影像学检查难以确诊。病理检查确诊为阑尾蜕膜。阑尾蜕膜引起的急性阑尾炎极为罕见,仅有少数病例报告。从影像学表现很难诊断出阑尾蜕膜。当孕妇被诊断为急腹症时,临床医生应将阑尾蜕膜视为急性阑尾炎的病因之一。

https://cdn.ncbi.nlm.nih.gov/pmc/blobs/51f0/12140097/c1505c6ee2ac/rjaf375f1.jpg

文献AI研究员

20分钟写一篇综述,助力文献阅读效率提升50倍。

立即体验

用中文搜PubMed

大模型驱动的PubMed中文搜索引擎

马上搜索

文档翻译

学术文献翻译模型,支持多种主流文档格式。

立即体验