• 文献检索
  • 文档翻译
  • 深度研究
  • 学术资讯
  • Suppr Zotero 插件Zotero 插件
  • 邀请有礼
  • 套餐&价格
  • 历史记录
应用&插件
Suppr Zotero 插件Zotero 插件浏览器插件Mac 客户端Windows 客户端微信小程序
定价
高级版会员购买积分包购买API积分包
服务
文献检索文档翻译深度研究API 文档MCP 服务
关于我们
关于 Suppr公司介绍联系我们用户协议隐私条款
关注我们

Suppr 超能文献

核心技术专利:CN118964589B侵权必究
粤ICP备2023148730 号-1Suppr @ 2026

文献检索

告别复杂PubMed语法,用中文像聊天一样搜索,搜遍4000万医学文献。AI智能推荐,让科研检索更轻松。

立即免费搜索

文件翻译

保留排版,准确专业,支持PDF/Word/PPT等文件格式,支持 12+语言互译。

免费翻译文档

深度研究

AI帮你快速写综述,25分钟生成高质量综述,智能提取关键信息,辅助科研写作。

立即免费体验

FTO抑制作用可提高头颈癌放射治疗的治疗指数。

FTO inhibition enhances the therapeutic index of radiation therapy in head and neck cancer.

作者信息

Ji Lu, Pu Leighton, Wang Jinglong, Cao Hongbin, Melemenidis Stavros, Sinha Subarna, Guan Li, Laseinde Eyiwunmi E, von Eyben Rie, Richter Sara A, Nam Jin-Min, Kong Christina, Casey Kerriann M, Graves Edward E, Frock Richard L, Le Quynh Thu, Rankin Erinn B

机构信息

Department of Radiation Oncology and.

Department of Computer Science, Stanford University, Stanford, California, USA.

出版信息

JCI Insight. 2025 Jun 9;10(11). doi: 10.1172/jci.insight.184968.

DOI:10.1172/jci.insight.184968
PMID:40485587
原文链接:https://pmc.ncbi.nlm.nih.gov/articles/PMC12220955/
Abstract

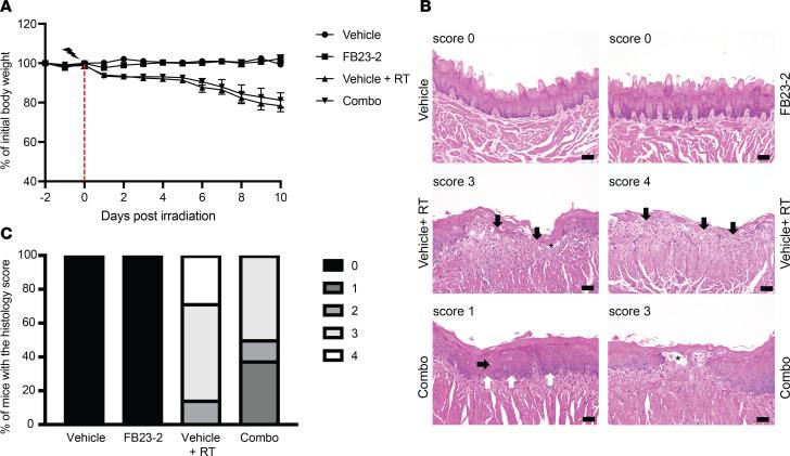
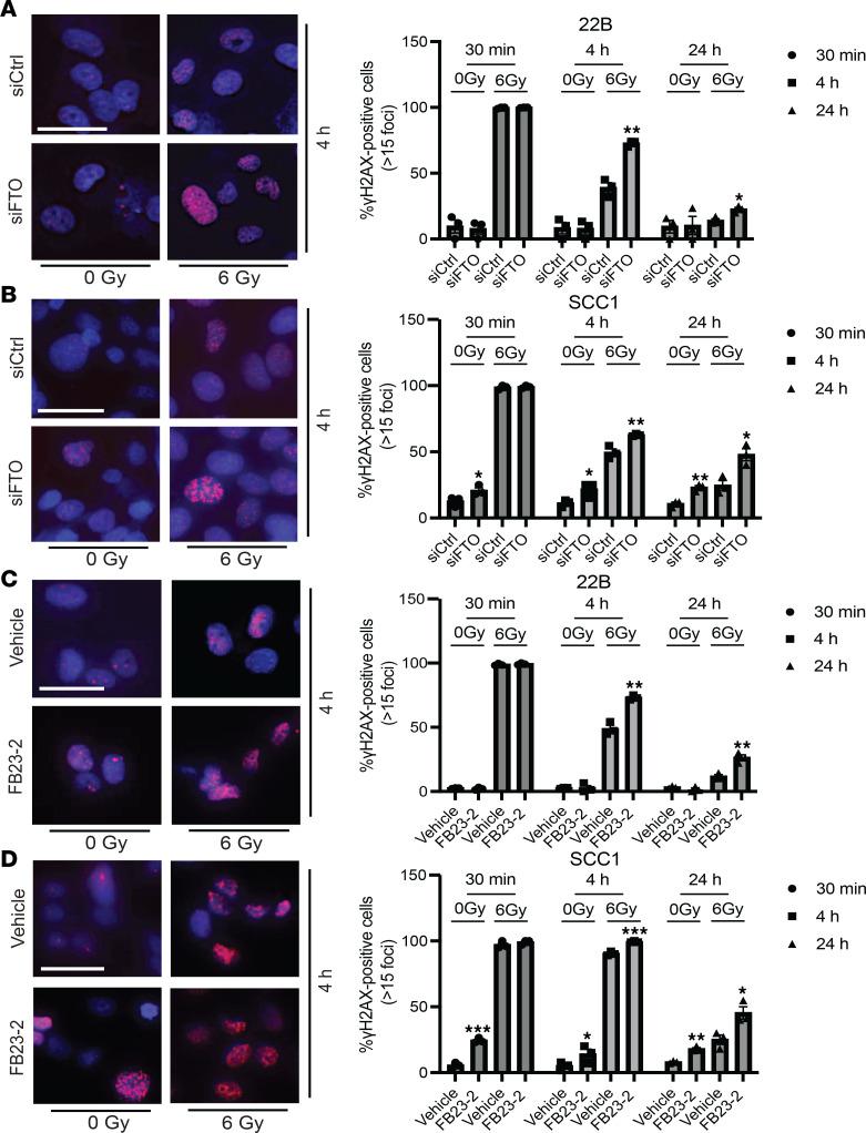
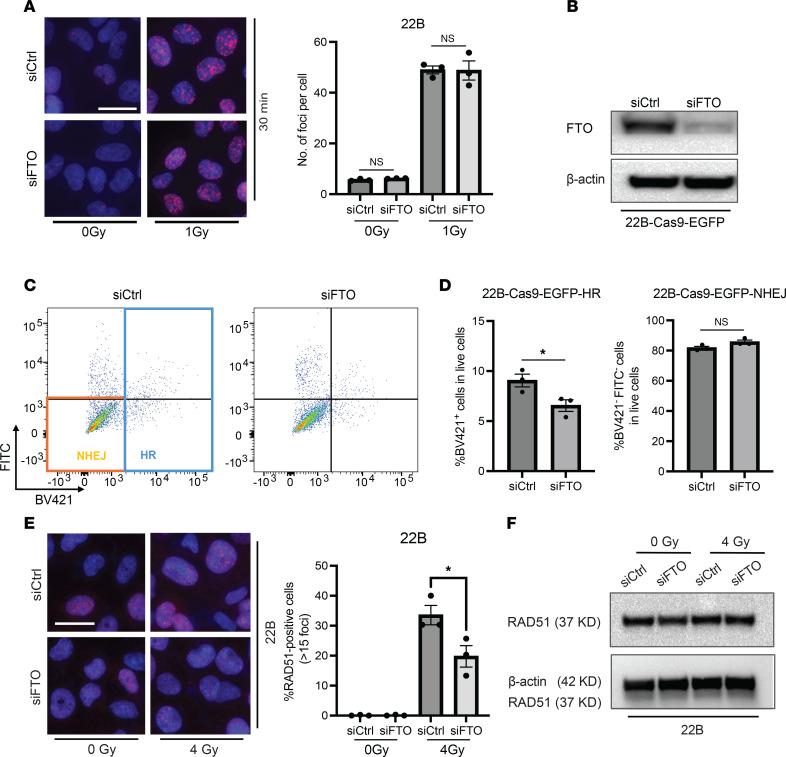
Despite aggressive chemoradiation treatment, the overall survival rate for patients with HPV- head and neck squamous cell carcinoma (HNSCC) remains poor, highlighting the urgent need for more effective drug-radiotherapy combinations to improve the therapeutic index of radiation therapy (RT). The fat mass and obesity-related gene (FTO) is emerging as a promising cancer therapeutic target; however, its role in the RT response has been underexplored. In our study, we found that both genetic and pharmacologic inhibition of FTO enhanced the efficacy of RT in human and mouse HNSCC tumor xenografts. Mechanistically, inhibition of FTO improved the RT response in HPV- HNSCC cells, which was associated with increased DNA damage, reduced efficiency of homology directed repair, and decreased formation of RAD51 homolog 1 (RAD51) foci. Importantly, pharmacologic inhibition of FTO did not exacerbate radiation-induced oral mucositis, a significant normal-tissue toxicity associated with HNSCC RT. In summary, our results indicate a role for FTO in regulating homologous recombination while identifying FTO as a potential therapeutic target to enhance the therapeutic index of RT in HPV- HNSCC treatment.

摘要

尽管进行了积极的放化疗,但人乳头瘤病毒(HPV)阴性的头颈部鳞状细胞癌(HNSCC)患者的总生存率仍然很低,这凸显了迫切需要更有效的药物与放疗联合方案来提高放射治疗(RT)的治疗指数。脂肪量与肥胖相关基因(FTO)正成为一个有前景的癌症治疗靶点;然而,其在放疗反应中的作用尚未得到充分研究。在我们的研究中,我们发现对FTO进行基因和药物抑制均可增强放疗对人源和小鼠HNSCC肿瘤异种移植模型的疗效。从机制上讲,抑制FTO可改善HPV阴性HNSCC细胞的放疗反应,这与DNA损伤增加、同源定向修复效率降低以及RAD51同源物1(RAD51)灶形成减少有关。重要的是,对FTO进行药物抑制并不会加重放疗引起的口腔黏膜炎,这是一种与HNSCC放疗相关的严重正常组织毒性。总之,我们的结果表明FTO在调节同源重组中发挥作用,同时确定FTO是提高HPV阴性HNSCC治疗中放疗治疗指数的潜在治疗靶点。

https://cdn.ncbi.nlm.nih.gov/pmc/blobs/c6de/12220955/9073f81d6795/jciinsight-10-184968-g197.jpg
https://cdn.ncbi.nlm.nih.gov/pmc/blobs/c6de/12220955/c80f5eb37307/jciinsight-10-184968-g192.jpg
https://cdn.ncbi.nlm.nih.gov/pmc/blobs/c6de/12220955/766147c2054d/jciinsight-10-184968-g193.jpg
https://cdn.ncbi.nlm.nih.gov/pmc/blobs/c6de/12220955/3c8afbfca3c3/jciinsight-10-184968-g194.jpg
https://cdn.ncbi.nlm.nih.gov/pmc/blobs/c6de/12220955/ab8862ba244e/jciinsight-10-184968-g195.jpg
https://cdn.ncbi.nlm.nih.gov/pmc/blobs/c6de/12220955/b6c9efc984a9/jciinsight-10-184968-g196.jpg
https://cdn.ncbi.nlm.nih.gov/pmc/blobs/c6de/12220955/9073f81d6795/jciinsight-10-184968-g197.jpg
https://cdn.ncbi.nlm.nih.gov/pmc/blobs/c6de/12220955/c80f5eb37307/jciinsight-10-184968-g192.jpg
https://cdn.ncbi.nlm.nih.gov/pmc/blobs/c6de/12220955/766147c2054d/jciinsight-10-184968-g193.jpg
https://cdn.ncbi.nlm.nih.gov/pmc/blobs/c6de/12220955/3c8afbfca3c3/jciinsight-10-184968-g194.jpg
https://cdn.ncbi.nlm.nih.gov/pmc/blobs/c6de/12220955/ab8862ba244e/jciinsight-10-184968-g195.jpg
https://cdn.ncbi.nlm.nih.gov/pmc/blobs/c6de/12220955/b6c9efc984a9/jciinsight-10-184968-g196.jpg
https://cdn.ncbi.nlm.nih.gov/pmc/blobs/c6de/12220955/9073f81d6795/jciinsight-10-184968-g197.jpg

相似文献

1
FTO inhibition enhances the therapeutic index of radiation therapy in head and neck cancer.FTO抑制作用可提高头颈癌放射治疗的治疗指数。
JCI Insight. 2025 Jun 9;10(11). doi: 10.1172/jci.insight.184968.
2
Association of Gene Expression Profiles in HPV-Positive Head and Neck Squamous Cell Carcinoma with Patient Outcome: In Search of Prognostic Biomarkers.人乳头瘤病毒阳性头颈部鳞状细胞癌基因表达谱与患者预后的关联:寻找预后生物标志物
Int J Mol Sci. 2025 Jun 19;26(12):5894. doi: 10.3390/ijms26125894.
3
Gemcitabine-Based Chemoradiation in the Treatment of Locally Advanced Head and Neck Cancer: Systematic Review of Literature and Meta-Analysis.吉西他滨为基础的放化疗治疗局部晚期头颈癌:文献系统综述与荟萃分析
Oncologist. 2016 Jan;21(1):59-71. doi: 10.1634/theoncologist.2015-0246. Epub 2015 Dec 28.
4
Time toxicity of nivolumab in metastatic head and neck squamous cell carcinoma patients: a single-institution experience.纳武利尤单抗在转移性头颈部鳞状细胞癌患者中的时间毒性:单机构经验
Immunotherapy. 2025 Jun;17(8):577-583. doi: 10.1080/1750743X.2025.2518913. Epub 2025 Jun 13.
5
Phase II Study Evaluating the Efficacy of Niraparib and Dostarlimab (TSR-042) in Patients with Recurrent/Metastatic Head and Neck Squamous Cell Carcinoma.评估尼拉帕利和多斯塔利单抗(TSR-042)治疗复发性/转移性头颈部鳞状细胞癌患者疗效的II期研究。
Cancer Res Commun. 2025 Jun 1;5(6):939-944. doi: 10.1158/2767-9764.CRC-25-0192.
6
PI3K-dependent GAB1/Erk phosphorylation renders head and neck squamous cell carcinoma sensitive to PI3Kα inhibitors.PI3K 依赖的 GAB1/Erk 磷酸化使头颈部鳞状细胞癌对 PI3Kα 抑制剂敏感。
Cell Death Dis. 2025 Jun 18;16(1):457. doi: 10.1038/s41419-025-07767-x.
7
Hypoxic modification of radiotherapy in squamous cell carcinoma of the head and neck--a systematic review and meta-analysis.缺氧修饰放疗在头颈部鳞状细胞癌中的应用——系统评价和荟萃分析。
Radiother Oncol. 2011 Jul;100(1):22-32. doi: 10.1016/j.radonc.2011.03.004. Epub 2011 Apr 19.
8
LiGeR-HN phase III trials of petosemtamab + pembrolizumab and petosemtamab monotherapy in recurrent or metastatic HNSCC.LiGeR-HN关于培托西单抗+帕博利珠单抗和培托西单抗单药治疗复发性或转移性头颈部鳞状细胞癌的III期试验。
Future Oncol. 2025 Jul;21(16):2007-2016. doi: 10.1080/14796694.2025.2511470. Epub 2025 Jun 13.
9
Differential prognostic association of systemic inflammatory biomarkers on survival outcomes in head and neck squamous cell carcinoma patients by human papillomavirus status.人乳头瘤病毒状态对头部和颈部鳞状细胞癌患者生存结局的全身炎症生物标志物的差异预后关联
Neoplasia. 2025 Aug;66:101178. doi: 10.1016/j.neo.2025.101178. Epub 2025 May 16.
10
Prognostic gene expression signatures for HPV-negative head and neck squamous cell carcinoma.人乳头瘤病毒阴性头颈部鳞状细胞癌的预后基因表达特征
Radiother Oncol. 2025 Jul;208:110900. doi: 10.1016/j.radonc.2025.110900. Epub 2025 Apr 17.

本文引用的文献

1
FTO-mediated demethylation of MTUS1/ATIP1 promotes tumor progression in head and neck squamous cell carcinoma.FTO介导的MTUS1/ATIP1去甲基化促进头颈部鳞状细胞癌的肿瘤进展。
BMC Cancer. 2024 Dec 3;24(1):1489. doi: 10.1186/s12885-024-13253-y.
2
Multi-Institutional Audit of FLASH and Conventional Dosimetry With a 3D Printed Anatomically Realistic Mouse Phantom.FLASH 和常规剂量学的多机构审核:使用 3D 打印的解剖逼真鼠体模型。
Int J Radiat Oncol Biol Phys. 2024 Sep 1;120(1):287-300. doi: 10.1016/j.ijrobp.2024.03.017. Epub 2024 Mar 15.
3
The mA demethylase FTO targets POLQ to promote ccRCC cell proliferation and genome stability maintenance.
mA 去甲基化酶 FTO 靶向 POLQ 以促进 ccRCC 细胞增殖和基因组稳定性维持。
J Cancer Res Clin Oncol. 2024 Jan 25;150(2):30. doi: 10.1007/s00432-023-05541-0.
4
FTO regulates the DNA damage response via effects on cell-cycle progression.FTO 通过影响细胞周期进程来调节 DNA 损伤反应。
Mutat Res Genet Toxicol Environ Mutagen. 2023 Apr;887:503608. doi: 10.1016/j.mrgentox.2023.503608. Epub 2023 Feb 28.
5
m6A demethylase FTO renders radioresistance of nasopharyngeal carcinoma via promoting OTUB1-mediated anti-ferroptosis.m6A去甲基化酶FTO通过促进OTUB1介导的抗铁死亡作用赋予鼻咽癌放射抗性。
Transl Oncol. 2023 Jan;27:101576. doi: 10.1016/j.tranon.2022.101576. Epub 2022 Nov 4.
6
Oncogenic and Tumor-Suppressive Functions of the RNA Demethylase FTO.RNA去甲基化酶FTO的致癌和抑癌功能
Cancer Res. 2022 Jun 15;82(12):2201-2212. doi: 10.1158/0008-5472.CAN-21-3710.
7
Biological Adaptations of Tumor Cells to Radiation Therapy.肿瘤细胞对放射治疗的生物学适应性
Front Oncol. 2021 Nov 24;11:718636. doi: 10.3389/fonc.2021.718636. eCollection 2021.
8
The RNA N6-Methyladenosine Demethylase FTO Promotes Head and Neck Squamous Cell Carcinoma Proliferation and Migration by Increasing CTNNB1.RNA N6-甲基腺苷去甲基化酶FTO通过增加CTNNB1促进头颈部鳞状细胞癌的增殖和迁移。
Int J Gen Med. 2021 Nov 24;14:8785-8795. doi: 10.2147/IJGM.S339095. eCollection 2021.
9
Tumors exploit FTO-mediated regulation of glycolytic metabolism to evade immune surveillance.肿瘤利用FTO介导的糖酵解代谢调节来逃避免疫监视。
Cell Metab. 2021 Jun 1;33(6):1221-1233.e11. doi: 10.1016/j.cmet.2021.04.001. Epub 2021 Apr 27.
10
Head and neck squamous cell carcinoma.头颈部鳞状细胞癌
Nat Rev Dis Primers. 2020 Nov 26;6(1):92. doi: 10.1038/s41572-020-00224-3.