Suppr超能文献

感染包裹:一例由播散性囊尾蚴病引起的腹膜后纤维化罕见病例。

Encased by Infection: A Rare Case of Retroperitoneal Fibrosis Induced by Disseminated Cysticercosis.

作者信息

Zhang Lufeng, Zhan Shaoyang

机构信息

Department of Urology, Hefei BOE Hospital, Hefei, Anhui, China.

出版信息

Case Rep Infect Dis. 2025 Jun 1;2025:6221398. doi: 10.1155/crdi/6221398. eCollection 2025.

Abstract

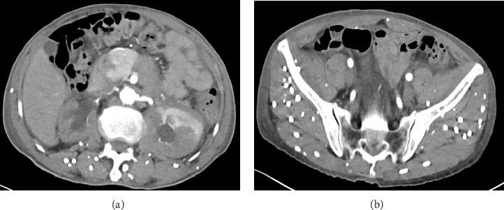
Cysticercosis refers to a disease caused by the larvae of parasitizing various tissues and organs of the human body. It is reported that cysticercosis is most commonly caused by the central nervous system, and retroperitoneal fibrosis is rare. We report a case of retroperitoneal fibrosis caused by cysticercosis and a urinary tract obstruction caused by retroperitoneal fibrosis, which was successfully relieved by transurethral stenting. The complex pathophysiological mechanism of cysticercosis-induced retroperitoneal fibrosis requires further study. In the diagnosis and treatment of the disease, it is very important to consider the patient's epidemiological history and the presence of parasite infection.

摘要

囊尾蚴病是指由寄生虫幼虫寄生于人体各种组织和器官所引起的疾病。据报道,囊尾蚴病最常见于中枢神经系统,而腹膜后纤维化较为罕见。我们报告一例由囊尾蚴病引起的腹膜后纤维化及由腹膜后纤维化导致的尿路梗阻病例,该病例经尿道支架置入术成功缓解。囊尾蚴病所致腹膜后纤维化复杂的病理生理机制有待进一步研究。在该疾病的诊断和治疗中,考虑患者的流行病学史及寄生虫感染情况非常重要。

https://cdn.ncbi.nlm.nih.gov/pmc/blobs/4b2d/12145928/d12663a71788/CRIID2025-6221398.001.jpg

相似文献

1
Encased by Infection: A Rare Case of Retroperitoneal Fibrosis Induced by Disseminated Cysticercosis.
Case Rep Infect Dis. 2025 Jun 1;2025:6221398. doi: 10.1155/crdi/6221398. eCollection 2025.
2
A rare case of disseminated cysticercosis.
Trop Parasitol. 2012 Jul;2(2):138-41. doi: 10.4103/2229-5070.105183.
3
Peripheral Taenia infection increases immunoglobulins in the central nervous system.
Int J Parasitol. 2021 Jul;51(8):685-692. doi: 10.1016/j.ijpara.2020.12.008. Epub 2021 Mar 20.
4
Extensive disseminated cysticercosis: a case report in Yunnan province, China.
BMC Infect Dis. 2019 Jun 17;19(1):535. doi: 10.1186/s12879-019-4172-3.
6
Disseminated cysticercosis in a child: whole-body MR diagnosis with the use of parallel imaging.
Pediatr Radiol. 2010 Feb;40(2):223-7. doi: 10.1007/s00247-009-1438-8. Epub 2009 Dec 1.
7
Taenia solium taeniasis/cysticercosis: From parasite biology and immunology to diagnosis and control.
Adv Parasitol. 2021;112:133-217. doi: 10.1016/bs.apar.2021.03.003. Epub 2021 Apr 8.
8
Isolated Intramuscular Cysticercosis in Children: A Case Report.
Turkiye Parazitol Derg. 2022 Mar 1;46(1):72-74. doi: 10.4274/tpd.galenos.2020.6613.
9
A rare case of human taeniasis caused by with species undetermined cysticercosis.
Parasitology. 2023 Mar;150(3):240-247. doi: 10.1017/S003118202200169X. Epub 2022 Dec 19.
10
Disseminated cysticercosis with huge muscle hypertrophy.
Indian J Dermatol. 2009;54(1):49-51. doi: 10.4103/0019-5154.48987.

本文引用的文献

1
Neurocysticercosis: an update on diagnosis, treatment, and prevention.
Curr Opin Infect Dis. 2022 Jun 1;35(3):246-254. doi: 10.1097/QCO.0000000000000831.
2
Retroperitoneal Fibrosis Is Still an Underdiagnosed Entity with Poor Prognosis.
Kidney Blood Press Res. 2022;47(3):151-162. doi: 10.1159/000521423. Epub 2021 Dec 10.
3
Idiopathic Retroperitoneal Fibrosis.
Chirurgia (Bucur). 2021 Jan-Feb;116(1):117-123. doi: 10.21614/chirurgia.116.1.117.
4
Taenia solium Cysticercosis and Its Impact in Neurological Disease.
Clin Microbiol Rev. 2020 May 27;33(3). doi: 10.1128/CMR.00085-19. Print 2020 Jun 17.
5
A large-scale genetic analysis reveals an autoimmune origin of idiopathic retroperitoneal fibrosis.
J Allergy Clin Immunol. 2018 Nov;142(5):1662-1665. doi: 10.1016/j.jaci.2018.06.045. Epub 2018 Aug 4.
6
Taenia solium Cysticercosis--The lessons of history.
J Neurol Sci. 2015 Dec 15;359(1-2):392-5. doi: 10.1016/j.jns.2015.08.011. Epub 2015 Aug 7.
7
Retroperitoneal fibrosis.
Lancet. 2006 Jan 21;367(9506):241-51. doi: 10.1016/S0140-6736(06)68035-5.
8
Taenia solium cysticercosis.
Lancet. 2003 Aug 16;362(9383):547-56. doi: 10.1016/S0140-6736(03)14117-7.

文献AI研究员

20分钟写一篇综述,助力文献阅读效率提升50倍。

立即体验

用中文搜PubMed

大模型驱动的PubMed中文搜索引擎

马上搜索

文档翻译

学术文献翻译模型,支持多种主流文档格式。

立即体验