Suppr超能文献

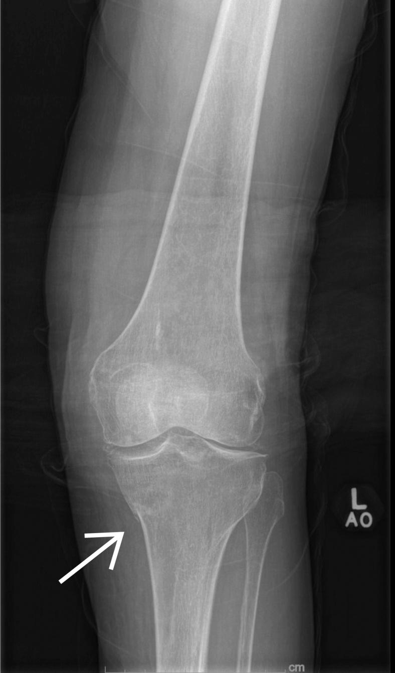
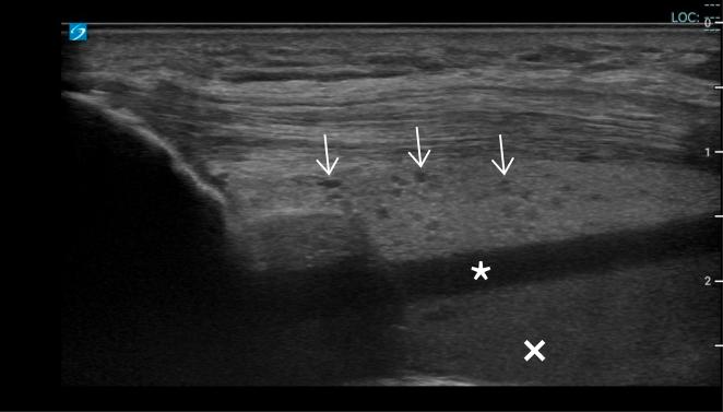
Woman With Left Knee Pain.

作者信息

Tripod Matthew, Berger Matthew, Williams Jessica, Hussain Jamal

机构信息

Department of Emergency Medicine, Capital Health, Pennington, New Jersey.

出版信息

J Am Coll Emerg Physicians Open. 2025 May 15;6(4):100168. doi: 10.1016/j.acepjo.2025.100168. eCollection 2025 Aug.

Abstract
摘要
https://cdn.ncbi.nlm.nih.gov/pmc/blobs/21d7/12143611/03c4da469f6b/gr1.jpg

相似文献

1
Woman With Left Knee Pain.
J Am Coll Emerg Physicians Open. 2025 May 15;6(4):100168. doi: 10.1016/j.acepjo.2025.100168. eCollection 2025 Aug.
2
Acute knee trauma: role of ultrasound.
Eur Radiol. 2006 Nov;16(11):2542-8. doi: 10.1007/s00330-006-0319-x. Epub 2006 Jun 20.
3
The utility of standing knee radiographs for detection of lipohemarthrosis: comparison with supine horizontal beam radiographs.
Eur Radiol. 2024 Feb;34(2):1104-1112. doi: 10.1007/s00330-023-10163-8. Epub 2023 Aug 18.
4
Functional Outcome After Nonoperative Management of Tibial Plateau Fractures in Skeletally Mature Patients: What Sizes of Gaps and Stepoffs Can be Accepted?
Clin Orthop Relat Res. 2022 Dec 1;480(12):2288-2295. doi: 10.1097/CORR.0000000000002266. Epub 2022 Jun 1.
6
Compartment Syndrome Secondary to Knee Lipohemarthrosis.
Cureus. 2021 Aug 6;13(8):e16946. doi: 10.7759/cureus.16946. eCollection 2021 Aug.
7
Fluid-fluid levels in injured knees: do they always represent lipohemarthrosis?
Radiology. 1996 Feb;198(2):499-502. doi: 10.1148/radiology.198.2.8596856.
8
Capsular visualization in lipohemarthrosis of the knee.
Radiology. 1977 Jan;122(1):31-2. doi: 10.1148/122.1.31.
9
The prone posteromedial approach to the knee revisited: a safe and effective strategy for posterior tibial plateau fractures.
Eur J Orthop Surg Traumatol. 2024 Feb;34(2):1147-1151. doi: 10.1007/s00590-023-03755-z. Epub 2023 Nov 19.
10
Tibial plateau fracture related to unicompartmental knee arthroplasty: Two case reports and literature review.
Medicine (Baltimore). 2019 Oct;98(42):e17338. doi: 10.1097/MD.0000000000017338.

本文引用的文献

1
Ultrasound for knee effusion: lipohaemarthrosis and tibial plateau fracture.
Australas J Ultrasound Med. 2014 Nov;17(4):159-166. doi: 10.1002/j.2205-0140.2014.tb00239.x. Epub 2015 Dec 31.
2
Traumatic Extra-capsular and Intra-capsular Floating Fat: Fat-fluid Levels of the Knee Revisited.
J Clin Imaging Sci. 2015 Nov 30;5:60. doi: 10.4103/2156-7514.170729. eCollection 2015.
3
Acute knee trauma: role of ultrasound.
Eur Radiol. 2006 Nov;16(11):2542-8. doi: 10.1007/s00330-006-0319-x. Epub 2006 Jun 20.

文献AI研究员

20分钟写一篇综述,助力文献阅读效率提升50倍。

立即体验

用中文搜PubMed

大模型驱动的PubMed中文搜索引擎

马上搜索

文档翻译

学术文献翻译模型,支持多种主流文档格式。

立即体验