Suppr超能文献

药物和非法物质引发的库尼斯综合征:一例罕见病例报告

Kounis Syndrome Triggered by Medications and an Illicit Substance: A Report of a Rare Case.

作者信息

Srouji Saif M, Haroun Yazan, Vemuri Sravan, Bakhsh Muhammad U

机构信息

Internal Medicine, Saint Agnes Medical Center, Fresno, USA.

Cardiology, Saint Agnes Medical Center, Fresno, USA.

出版信息

Cureus. 2025 May 6;17(5):e83608. doi: 10.7759/cureus.83608. eCollection 2025 May.

Abstract

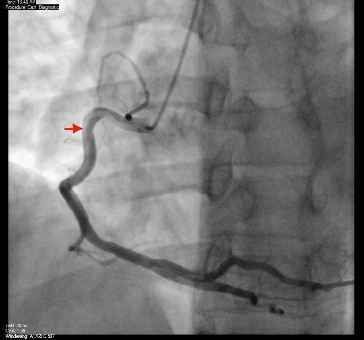
Kounis syndrome (KS) is an underrecognized and critical condition of acute coronary syndrome (ACS) triggered by an allergic reaction, via histamine-mediated coronary vasospasm and plaque disruption. We present a case of type 1 KS in a 42-year-old male patient who developed ST elevation myocardial infarction following an allergic reaction to epinephrine, diphenhydramine, and cocaine. Initially stable, he later experienced worsening chest pain with a significant rise in troponin. Coronary angiography with intravascular ultrasound (IVUS) imaging revealed a layered left anterior descending (LAD) thrombus with possible acute plaque rupture but no significant coronary artery disease (CAD) otherwise, which was successfully managed with medical therapy. This case underscores the importance of early recognition, cardiology involvement, and balancing treatment geared toward allergic and cardiac manifestations. This report aims to raise awareness of KS, and its documented exposures are essential for timely diagnosis, targeted management, and improved patient outcomes, as there would be more focus on treating the allergic reaction in these cases, which might be overlooked if ACS was to be attributed to CAD as the reason.

摘要

库尼斯综合征(KS)是一种由过敏反应引发的急性冠状动脉综合征(ACS),常因组胺介导的冠状动脉痉挛和斑块破裂而未被充分认识且病情危急。我们报告一例1型KS病例,患者为42岁男性,在对肾上腺素、苯海拉明和可卡因发生过敏反应后出现ST段抬高型心肌梗死。起初病情稳定,随后他胸痛加重,肌钙蛋白显著升高。冠状动脉造影及血管内超声(IVUS)成像显示左前降支(LAD)有分层血栓,可能存在急性斑块破裂,但无其他明显冠状动脉疾病(CAD),通过药物治疗成功处理。该病例强调了早期识别、心脏病学介入以及平衡针对过敏和心脏表现的治疗的重要性。本报告旨在提高对KS的认识,其记录的暴露情况对于及时诊断、针对性管理和改善患者预后至关重要,因为在这些病例中更多地关注治疗过敏反应,若将ACS归因于CAD作为原因,可能会忽略这一点。

https://cdn.ncbi.nlm.nih.gov/pmc/blobs/8683/12143929/8ae4f58e36b9/cureus-0017-00000083608-i01.jpg

文献检索

告别复杂PubMed语法,用中文像聊天一样搜索,搜遍4000万医学文献。AI智能推荐,让科研检索更轻松。

立即免费搜索

文件翻译

保留排版,准确专业,支持PDF/Word/PPT等文件格式,支持 12+语言互译。

免费翻译文档

深度研究

AI帮你快速写综述,25分钟生成高质量综述,智能提取关键信息,辅助科研写作。

立即免费体验