Suppr超能文献

靶向JAK2-STAT3-UCHL3-ENO1轴可抑制糖酵解并增强 - 突变型结直肠癌对5-氟尿嘧啶化疗的敏感性。

Targeting the JAK2-STAT3-UCHL3-ENO1 axis suppresses glycolysis and enhances the sensitivity to 5-FU chemotherapy in -mutant colorectal cancer.

作者信息

Xin Haisong, Zhao Zitong, Guo Shichao, Tian Ruoxi, Ma Liying, Yang Yang, Zhao Lianmei, Wang Guanglin, Li Baokun, Hu Xuhua, Song Yongmei, Wang Guiying

机构信息

Department of General Surgery, the Second Hospital of Hebei Medical University, Shijiazhuang 050000, China.

State Key Laboratory of Molecular Oncology, National Cancer Center/National Clinical Research Center for Cancer/Cancer Hospital, Chinese Academy of Medical Sciences and Peking Union Medical College, Beijing 100021, China.

出版信息

Acta Pharm Sin B. 2025 May;15(5):2529-2544. doi: 10.1016/j.apsb.2025.03.041. Epub 2025 Mar 19.

Abstract

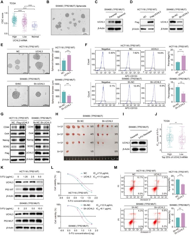
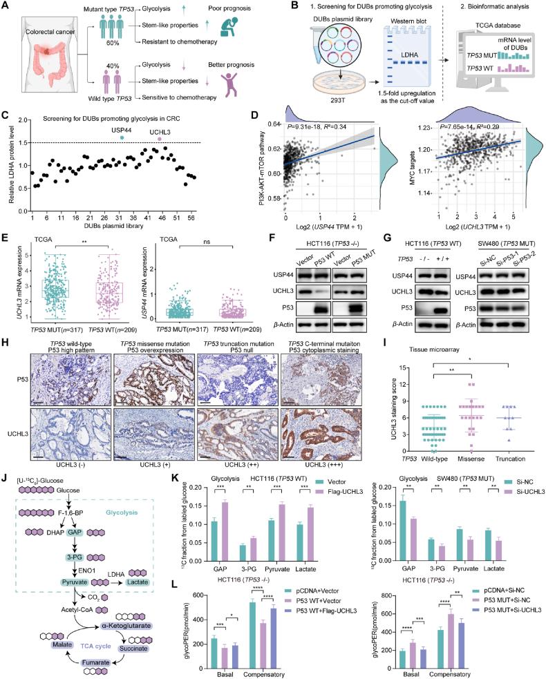
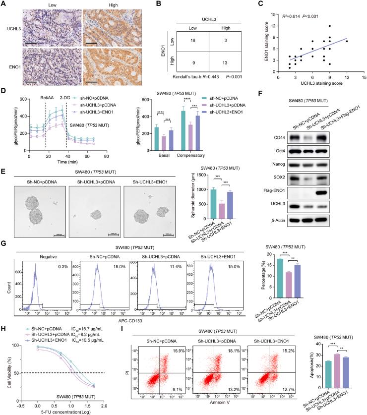
Approximately 60% of colorectal cancer (CRC) patients exhibit mutations, which are strongly associated with tumor progression, chemotherapy resistance, and an unfavorable prognosis. However, targeting p53 has historically been challenging, and currently, there are no approved p53-based therapeutics for clinical use worldwide. In this study, we discovered that ubiquitin carboxyl terminal hydrolase L3 (UCHL3) plays a crucial role in high-level glycolysis, enhanced stem-like properties, and 5-fluorouracil (5-FU) chemoresistance in -mutant CRC by exerting its deubiquitinating enzyme activity to stabilize -enolase (ENO1) protein. Notably, we identified a newly Food and Drug Administration (FDA)-approved drug, pacritinib, that potently suppresses UCHL3 expression by blocking the janus kinase 2 (JAK2)-signal transducer and activator of transcription 3 (STAT3) pathway in 53-mutant CRC. Furthermore, Pacritinib was demonstrated to effectively inhibit glycolysis and improve the sensitivity to 5-FU chemotherapy in -mutant CRC. Our findings suggest that targeting the JAK2-STAT3-UCHL3-ENO1 axis is a promising strategy to suppress glycolysis and enhance the efficacy of 5-FU chemotherapy in -mutant CRC. Pacritinib shows potential for clinical application in the treatment of -mutant CRC.

摘要

大约60%的结直肠癌(CRC)患者存在p53突变,这些突变与肿瘤进展、化疗耐药及不良预后密切相关。然而,靶向p53一直具有挑战性,目前全球尚无获批用于临床的基于p53的治疗药物。在本研究中,我们发现泛素羧基末端水解酶L3(UCHL3)通过发挥其去泛素化酶活性来稳定烯醇化酶1(ENO1)蛋白,从而在p53突变的CRC的高水平糖酵解、增强的干细胞样特性及5-氟尿嘧啶(5-FU)化疗耐药中起关键作用。值得注意的是,我们鉴定出一种新的美国食品药品监督管理局(FDA)批准的药物帕西替尼,它通过阻断p53突变的CRC中的Janus激酶2(JAK2)-信号转导及转录激活因子3(STAT3)通路来有效抑制UCHL3表达。此外,帕西替尼被证明可有效抑制p53突变的CRC中的糖酵解并提高对5-FU化疗的敏感性。我们的研究结果表明,靶向JAK2-STAT3-UCHL3-ENO1轴是一种有前景的策略,可抑制p53突变的CRC中的糖酵解并增强5-FU化疗的疗效。帕西替尼在治疗p53突变的CRC方面显示出临床应用潜力。

https://cdn.ncbi.nlm.nih.gov/pmc/blobs/c0b4/12145010/01443740c4f8/ga1.jpg

文献检索

告别复杂PubMed语法,用中文像聊天一样搜索,搜遍4000万医学文献。AI智能推荐,让科研检索更轻松。

立即免费搜索

文件翻译

保留排版,准确专业,支持PDF/Word/PPT等文件格式,支持 12+语言互译。

免费翻译文档

深度研究

AI帮你快速写综述,25分钟生成高质量综述,智能提取关键信息,辅助科研写作。

立即免费体验