Bost Caroline, Tomaz Filipe, Schmacke Luna C, Reiche Sven, Seidah Nabil G, Steinmetzer Torsten, Groschup Martin H, Karger Axel, Diederich Sandra, Fischer Kerstin
Institute of Novel and Emerging Infectious Diseases, Friedrich-Loeffler-Institut, Federal Research Institute for Animal Health, Greifswald-Insel Riems, Germany.
Institute of Pharmaceutical Chemistry, Philipps University Marburg, Marburg, Germany.
J Virol. 2025 Jul 22;99(7):e0053725. doi: 10.1128/jvi.00537-25. Epub 2025 Jun 10.
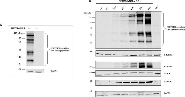
Nairobi sheep disease virus (NSDV) is a tick-borne orthonairovirus, which is genetically related to Crimean-Congo hemorrhagic fever virus (CCHFV), and causes severe hemorrhagic gastroenteritis in infected sheep. CCHFV GP38, a cleavage product of the CCHFV glycoprotein precursor (GPC), has recently attracted attention: not only has GP38 been reported to elicit detectable anti-GP38 antibodies in CCHFV-infected patients, but anti-GP38 antibodies have also been shown to protect mice from lethal CCHFV challenge. While proteolytic cleavage of CCHFV GP38 has been described to involve the proprotein convertases furin and subtilisin/kexin-isozyme-1 (SKI-1), little is known about the processing of NSDV GPC, or the occurrence and immunogenicity of NSDV GP38 in infected sheep. Here, we provide the first evidence for the presence and immunogenicity of NSDV GP38 in infected sheep demonstrating seroconversion by the detection of anti-GP38 antibodies over the course of infection. To further characterize GPC processing , we investigated the impact of furin overexpression and the effect of a furin inhibitor on NSDV glycoprotein expression, cleavage, and viral infectivity. While virus infectivity remained unaffected, our results suggest that other proteases besides furin may play a role in the proteolytic processing of NSDV GPC at a cleavage site that remains to be explored. Taken together, our findings highlight the immunogenicity of NSDV GP38 in sheep and warrant further research into the similarities and differences in proteolytic cleavage between the glycoproteins of NSDV and other orthonairoviruses, such as CCHFV.
Nairobi sheep disease virus (NSDV) is a zoonotic orthonairovirus causing severe and often fatal hemorrhagic gastroenteritis in small ruminants. Its genetic relationship to human-pathogenic Crimean-Congo hemorrhagic fever virus (CCHFV) and striking similarities in the clinical picture between CCHFV-infected patients and NSDV-infected ruminants have led to the idea that NSDV could serve as a model organism to study CCHFV pathogenesis. However, knowledge on NSDV-host interactions has been limited. While CCHFV GP38 has recently attracted attention as vaccine candidate and possible virulence factor, the occurrence and role of putative GP38 in other orthonairoviruses has been unclear. This study provides first evidence for the presence and immunogenicity of NSDV GP38 in infected sheep. Furthermore, our data indicate that other proteases besides furin may be involved in the proteolytic cleavage of NSDV GPC. Future studies are needed to determine the proteases involved and to investigate the possible functional role of GP38 in NSDV pathogenesis.
内罗毕羊病病毒(NSDV)是一种蜱传正布尼亚病毒,与克里米亚-刚果出血热病毒(CCHFV)存在基因关联,可在感染的绵羊中引发严重出血性肠胃炎。CCHFV GP38是CCHFV糖蛋白前体(GPC)的裂解产物,最近受到了关注:不仅有报道称GP38能在CCHFV感染患者中引发可检测到的抗GP38抗体,而且抗GP38抗体还被证明能保护小鼠免受致死性CCHFV攻击。虽然已描述CCHFV GP38的蛋白水解裂解涉及前蛋白转化酶弗林蛋白酶和枯草杆菌蛋白酶/凯新内切酶-1(SKI-1),但对于NSDV GPC的加工过程,以及NSDV GP38在感染绵羊中的出现情况和免疫原性知之甚少。在此,我们首次提供了NSDV GP38在感染绵羊中存在及其免疫原性的证据,通过在感染过程中检测抗GP38抗体证明了血清转化。为了进一步表征GPC加工过程,我们研究了弗林蛋白酶过表达的影响以及弗林蛋白酶抑制剂对NSDV糖蛋白表达、裂解和病毒感染性的作用。虽然病毒感染性未受影响,但我们的结果表明,除弗林蛋白酶外,其他蛋白酶可能在NSDV GPC的蛋白水解加工中发挥作用,其裂解位点尚待探索。综上所述,我们的研究结果突出了NSDV GP38在绵羊中的免疫原性,值得进一步研究NSDV与其他正布尼亚病毒(如CCHFV)糖蛋白在蛋白水解裂解方面的异同。
内罗毕羊病病毒(NSDV)是一种人畜共患正布尼亚病毒,可在小型反刍动物中引发严重且往往致命的出血性肠胃炎。它与人类致病的克里米亚-刚果出血热病毒(CCHFV)的基因关系,以及CCHFV感染患者与NSDV感染反刍动物临床表现的惊人相似性,引发了这样一种观点,即NSDV可作为研究CCHFV发病机制的模式生物。然而,关于NSDV与宿主相互作用的知识一直有限。虽然CCHFV GP38最近作为疫苗候选物和可能的毒力因子受到关注,但其他正布尼亚病毒中假定的GP38的出现情况和作用尚不清楚。本研究首次提供了NSDV GP38在感染绵羊中存在及其免疫原性的证据。此外,我们的数据表明,除弗林蛋白酶外,其他蛋白酶可能参与NSDV GPC的蛋白水解裂解。未来需要开展研究以确定所涉及的蛋白酶,并研究GP38在NSDV发病机制中的可能功能作用。