Suppr超能文献

急性A型主动脉夹层手术中的“改良三明治”技术

"Modified sandwich" technique in the surgery of acute type A aortic dissection.

作者信息

Kong Jiajie, Liu Tong, Xi Shuqiang, Li Zhaobin, Jin Zeyue, Yang Fan, Zhu Zhe, Liu Lei

机构信息

Department of Cardiac Surgery, Hebei Medical University Third Hospital, Shijiazhuang, Hebei, People's Republic of China.

Department of Cardiac Surgery, Affiliated Hospital of Guangdong Medical University, Zhanjiang, Guangdong, People's Republic of China.

出版信息

Egypt Heart J. 2025 Jun 10;77(1):57. doi: 10.1186/s43044-025-00651-1.

Abstract

BACKGROUND

Acute type A aortic dissection is a rapidly progressive and life-threatening condition. Without timely surgical intervention, the mortality rate can reach up to 50% within the first 48 h. Although surgery remains the primary effective treatment, it is associated with significant complexity and potential risks, particularly in managing the aortic root, where both intraoperative and postoperative bleeding complications are common. This study aims to evaluate the efficacy of the modified "sandwich" technique using a synthetic vascular patch for aortic root reconstruction in acute type A aortic dissection surgery.

METHODS

A retrospective analysis was conducted on the clinical data of 28 patients with acute type A aortic dissection who underwent aortic root reconstruction using the modified "sandwich" technique with synthetic vascular patches at the Department of Cardiovascular Surgery, the Third Hospital of Hebei Medical University, from October 2020 to November 2022. All patients underwent surgical treatment, during which the modified "sandwich" technique was applied for aortic root reconstruction. Statistical analysis was performed on operative time, cardiopulmonary bypass (CPB) time, aortic cross-clamp (ACC) time, postoperative drainage volume, perioperative mortality, and complications.

RESULTS

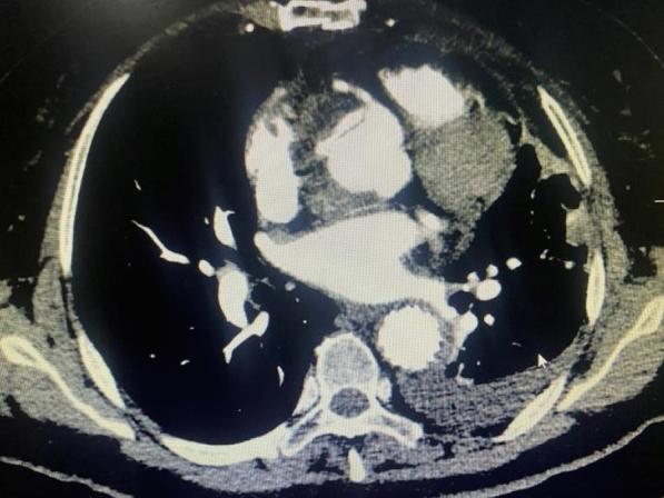
All 28 patients underwent successful surgery with a cardiopulmonary bypass (CPB) time of 265.0 (210.0-322.5) min, an aortic cross-clamping (ACC) time of 151.0 (112.0-209.0) min, and a drainage flow rate of 237.5 (126.0-297.0) mL at 12 h postoperatively. There were 2 (7.1%) perioperative deaths caused by renal failure, ischemia in 1 case, and coronary artery causes in 1 case. Postoperative complications included reopening of the chest for hemostasis in 1 case (3.6%) for reasons unrelated to the vascular anastomosis, hemodialysis in 3 cases (10.7%), paraplegia in 1 case (3.6%), and cerebral infarction resulting in impaired mobility of the left upper extremity in 1 case (3.6%). Tracheotomy was performed in 1 case (3.6%), and the duration of mechanical ventilation was 89 (48.0-165) h. Among the 26 recovered patients reviewed with aortic enhancement CT before discharge, the artificial vascular anastomosis had smooth blood flow, though 1 case still had residual entrapment in the sinus of the aorta.

CONCLUSION

In acute type A aortic dissection surgery, the "modified sandwich" technique using an artificial vascular sheet for aortic root shaping is simple, effective, and easy to master. This method can reduce anastomotic blood seepage and prevent anastomotic tear and bleeding, making it worth recommending for clinical application.

摘要

背景

急性A型主动脉夹层是一种进展迅速且危及生命的疾病。若不及时进行手术干预,死亡率在最初48小时内可达50%。尽管手术仍是主要的有效治疗方法,但它具有显著的复杂性和潜在风险,尤其是在处理主动脉根部时,术中及术后出血并发症都很常见。本研究旨在评估在急性A型主动脉夹层手术中使用合成血管补片的改良“三明治”技术进行主动脉根部重建的疗效。

方法

对2020年10月至2022年11月在河北医科大学第三医院心血管外科接受使用合成血管补片的改良“三明治”技术进行主动脉根部重建的28例急性A型主动脉夹层患者的临床资料进行回顾性分析。所有患者均接受了手术治疗,术中应用改良“三明治”技术进行主动脉根部重建。对手术时间、体外循环(CPB)时间、主动脉阻断(ACC)时间、术后引流量、围手术期死亡率及并发症进行统计分析。

结果

28例患者均手术成功,体外循环(CPB)时间为265.0(210.0 - 322.5)分钟,主动脉阻断(ACC)时间为151.0(112.0 - 209.0)分钟,术后12小时引流量为237.5(126.0 - 297.0)毫升。围手术期死亡2例(7.1%),1例因肾衰竭,1例因缺血及冠状动脉原因。术后并发症包括1例(3.6%)因与血管吻合无关的原因再次开胸止血,3例(10.7%)进行血液透析,1例(3.6%)发生截瘫,1例(3.6%)因脑梗死导致左上肢活动障碍。1例(3.6%)行气管切开,机械通气时间为89(48.0 - 165)小时。在出院前接受主动脉增强CT复查的26例康复患者中,人工血管吻合血流顺畅,不过1例主动脉窦仍有残余受压。

结论

在急性A型主动脉夹层手术中,使用人工血管片进行主动脉根部塑形的“改良三明治”技术操作简单、有效且易于掌握。该方法可减少吻合口渗血,防止吻合口撕裂和出血值得临床推荐应用。

https://cdn.ncbi.nlm.nih.gov/pmc/blobs/16c9/12151952/d6b2128dedb9/43044_2025_651_Fig1_HTML.jpg

文献AI研究员

20分钟写一篇综述,助力文献阅读效率提升50倍。

立即体验

用中文搜PubMed

大模型驱动的PubMed中文搜索引擎

马上搜索

文档翻译

学术文献翻译模型,支持多种主流文档格式。

立即体验