Suppr超能文献

恩杂鲁胺诱导的间质性肺疾病:首例经支气管肺冷冻活检病理证实的病例报告

Enfortumab vedotin induced interstitial lung disease: A first case report with pathological evidence from transbronchial lung cryobiopsy.

作者信息

Kaburaki Shota, Tanaka Toru, Kamio Koichiro, Tanaka Yosuke, Kasahara Kazuo, Terasaki Yasuhiro, Seike Masahiro

机构信息

Department of Pulmonary Medicine and Oncology, Graduate School of Medicine, Nippon Medical School, Tokyo, Japan.

Department of Analytic Human Pathology, Nippon Medical School, Tokyo, Japan.

出版信息

Respir Med Case Rep. 2025 May 22;56:102237. doi: 10.1016/j.rmcr.2025.102237. eCollection 2025.

Abstract

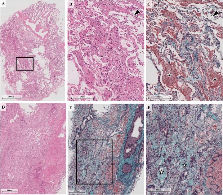
Enfortumab vedotin (EV), an antibody-drug conjugate targeting Nectin-4, has demonstrated efficacy against advanced urothelial carcinoma. While initially considered rare, EV-induced interstitial lung disease (ILD) is increasingly recognized, yet its pathological features remain poorly characterized. We report a case of a 60-year-old man with metastatic urothelial carcinoma who developed fever, fatigue, and cough after two cycles of EV therapy. His treatment history included right nephroureterectomy, platinum-based chemotherapy, and immune checkpoint inhibitors nivolumab and pembrolizumab. Laboratory tests revealed elevated serum ILD markers (Krebs von den Lungen-6527.7 U/mL, surfactant protein-D 294.5 ng/mL), and chest computed tomography showed new infiltrative shadows with air bronchogram predominantly in subpleural regions of the right lower lobe, consistent with organizing pneumonia pattern. Bronchoalveolar lavage from the right middle lobe showed 92 % macrophages with negative cultures. Transbronchial lung cryobiopsy revealed fibrosing nonspecific interstitial pneumonia with prominent fibrosis around bronchovascular bundles, lymphocytic infiltration in vessel walls and alveolar septa with myxofibrous thickening, epithelial injury, and fibrin exudation into alveolar spaces-representing previously undocumented features of EV-induced ILD. Drug discontinuation alone proved insufficient, but the patient improved markedly with methylprednisolone pulse therapy. This case highlights two key findings: detailed histopathological characterization through cryobiopsy documents distinct pathological features of EV-induced ILD; and early bronchoscopic evaluation helped guide therapeutic decision-making, supporting aggressive corticosteroid therapy. These findings advance our understanding of both the pathological features and management of EV-induced ILD, particularly relevant as EV-pembrolizumab combination becomes standard first-line treatment.

摘要

恩杂鲁胺(EV)是一种靶向Nectin-4的抗体药物偶联物,已显示出对晚期尿路上皮癌的疗效。虽然最初认为罕见,但EV诱导的间质性肺病(ILD)越来越受到认可,但其病理特征仍未得到充分描述。我们报告一例60岁转移性尿路上皮癌男性患者,在接受两个周期的EV治疗后出现发热、疲劳和咳嗽。他的治疗史包括右肾输尿管切除术、铂类化疗以及免疫检查点抑制剂纳武单抗和派姆单抗。实验室检查显示血清ILD标志物升高(克雷布斯冯登卢肯-6527.7 U/mL,表面活性蛋白-D 294.5 ng/mL),胸部计算机断层扫描显示右下叶胸膜下区域主要出现新的浸润性阴影伴空气支气管征,符合机化性肺炎模式。右中叶支气管肺泡灌洗显示92%为巨噬细胞,培养阴性。经支气管肺冷冻活检显示纤维化非特异性间质性肺炎,支气管血管束周围有明显纤维化,血管壁和肺泡间隔有淋巴细胞浸润伴黏液纤维增厚、上皮损伤以及纤维蛋白渗入肺泡腔,这些是EV诱导的ILD以前未记录的特征。仅停药证明不足,但患者接受甲泼尼龙冲击治疗后明显改善。该病例突出了两个关键发现:通过冷冻活检进行详细的组织病理学特征描述记录了EV诱导的ILD的独特病理特征;早期支气管镜评估有助于指导治疗决策,支持积极的皮质类固醇治疗。这些发现推进了我们对EV诱导的ILD的病理特征和管理的理解,在EV-派姆单抗联合治疗成为标准一线治疗的情况下尤其相关。

https://cdn.ncbi.nlm.nih.gov/pmc/blobs/88ae/12150100/7d874f5cfbbf/gr1.jpg

文献检索

告别复杂PubMed语法,用中文像聊天一样搜索,搜遍4000万医学文献。AI智能推荐,让科研检索更轻松。

立即免费搜索

文件翻译

保留排版,准确专业,支持PDF/Word/PPT等文件格式,支持 12+语言互译。

免费翻译文档

深度研究

AI帮你快速写综述,25分钟生成高质量综述,智能提取关键信息,辅助科研写作。

立即免费体验