Suppr超能文献

伪装成硬皮病的轻链(AL)淀粉样变性:一项诊断挑战。

Light Chain (AL) Amyloidosis Masquerading as Scleroderma: A Diagnostic Challenge.

作者信息

Dhamija Kriti, Jiwani Rahim A, Lakshaman Arjun, Sadashiv Santhosh, Mewawalla Prerna

机构信息

Medicine Institute, Allegheny Health Network, Pittsburgh, PA 15212, USA.

Division of Hematology and Cellular Therapy, Allegheny Health Network Cancer Institute, Allegheny Health Network, Pittsburgh, PA 15212, USA.

出版信息

J Hematol. 2025 Jun;14(3):152-157. doi: 10.14740/jh2055. Epub 2025 Apr 22.

Abstract

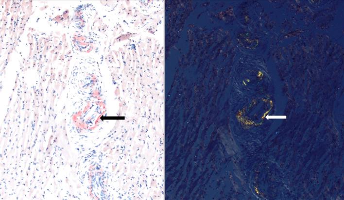
Systemic amyloidosis has diverse, often nonspecific, clinical manifestations that overlap or mimic other medical disorders, making amyloidosis a diagnostic challenge. We present a case of a middle-aged female who presented with skin thickening, fatigue, arthritis, and macroglossia, which were initially thought to be due to systemic sclerosis. With no response to immunosuppressive therapies, she was tested for plasma cell dyscrasias. Additional work-up and cardiac biopsy were positive for amyloid light chain (AL) amyloidosis. The diagnosis was delayed by 2 years because the protein electrophoresis ordered at the initial encounter was not accompanied by serum-free light chain testing. This case emphasizes the importance of considering amyloidosis in patients with unexplained systemic symptoms and highlights the role of a comprehensive diagnostic evaluation.

摘要

系统性淀粉样变性具有多样且往往非特异性的临床表现,这些表现与其他医学病症重叠或相似,这使得淀粉样变性成为一项诊断难题。我们报告一例中年女性病例,该患者出现皮肤增厚、疲劳、关节炎和巨舌症,最初被认为是系统性硬化症所致。由于免疫抑制治疗无效,对她进行了浆细胞异常增殖性疾病检测。进一步检查及心脏活检显示为轻链型(AL)淀粉样变性阳性。诊断延迟了2年,原因是初次就诊时所做的蛋白电泳未同时进行血清游离轻链检测。该病例强调了在有不明原因全身症状的患者中考虑淀粉样变性的重要性,并突出了全面诊断评估的作用。

https://cdn.ncbi.nlm.nih.gov/pmc/blobs/6025/12151118/da73bdb9376f/jh-14-03-152-g001.jpg

文献检索

告别复杂PubMed语法,用中文像聊天一样搜索,搜遍4000万医学文献。AI智能推荐,让科研检索更轻松。

立即免费搜索

文件翻译

保留排版,准确专业,支持PDF/Word/PPT等文件格式,支持 12+语言互译。

免费翻译文档

深度研究

AI帮你快速写综述,25分钟生成高质量综述,智能提取关键信息,辅助科研写作。

立即免费体验