• 文献检索
  • 文档翻译
  • 深度研究
  • 学术资讯
  • Suppr Zotero 插件Zotero 插件
  • 邀请有礼
  • 套餐&价格
  • 历史记录
应用&插件
Suppr Zotero 插件Zotero 插件浏览器插件Mac 客户端Windows 客户端微信小程序
定价
高级版会员购买积分包购买API积分包
服务
文献检索文档翻译深度研究API 文档MCP 服务
关于我们
关于 Suppr公司介绍联系我们用户协议隐私条款
关注我们

Suppr 超能文献

核心技术专利:CN118964589B侵权必究
粤ICP备2023148730 号-1Suppr @ 2026

文献检索

告别复杂PubMed语法,用中文像聊天一样搜索,搜遍4000万医学文献。AI智能推荐,让科研检索更轻松。

立即免费搜索

文件翻译

保留排版,准确专业,支持PDF/Word/PPT等文件格式,支持 12+语言互译。

免费翻译文档

深度研究

AI帮你快速写综述,25分钟生成高质量综述,智能提取关键信息,辅助科研写作。

立即免费体验

边缘叶脑炎:18F-氟脱氧葡萄糖正电子发射断层扫描/计算机断层扫描(18F-FDG PET/CT)上的一种不寻常表现

Limbic Encephalitis: An Unusual Presentation on 18F-Fluorodeoxyglucose Positron Emission Tomography/Computed Tomography (18F-FDG PET/CT).

作者信息

Omatuku Wetshosele Grégory, Bouazza Salima, Manto Mario, Moradi Massoud, Duran Derijckere Ivan

机构信息

Nuclear Medicine, University Hospital Center of Charleroi (CHU Charleroi), Charleroi, BEL.

Neurology, University Hospital Center of Charleroi (CHU Charleroi), Charleroi, BEL.

出版信息

Cureus. 2025 May 12;17(5):e83988. doi: 10.7759/cureus.83988. eCollection 2025 May.

DOI:10.7759/cureus.83988
PMID:40510089
原文链接:https://pmc.ncbi.nlm.nih.gov/articles/PMC12159560/
Abstract

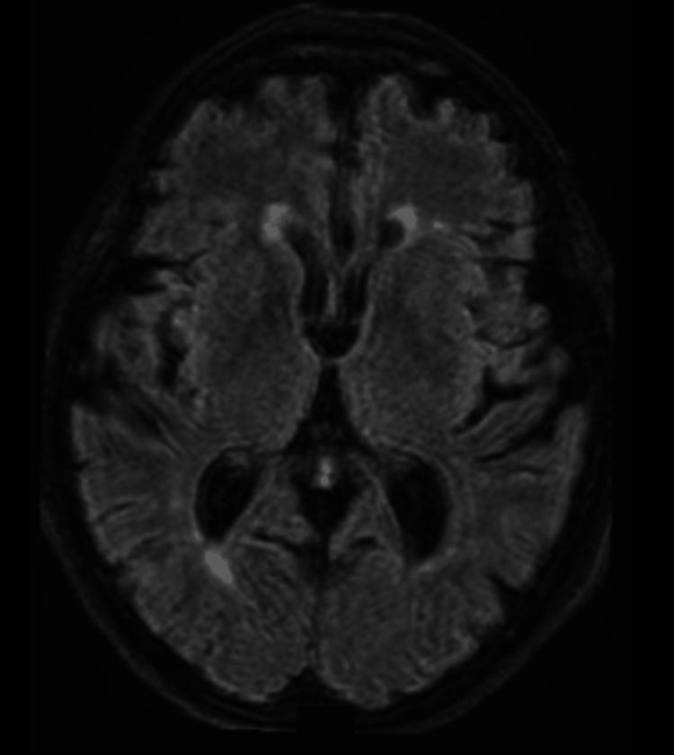
Limbic encephalitis is a relatively rare autoimmune neurological disorder, typically diagnosed based on clinical symptoms lasting less than three months, including seizures, memory deficits, psychiatric symptoms, bilateral mesial temporal lesions on MRI, inflammatory cerebrospinal fluid, and epileptiform activity on electroencephalogram (EEG). We report the case of a female patient who presented with an inaugural epileptic seizure, for which MRI, lumbar puncture, and cerebral positron emission tomography (PET) scan showed no pathological findings. The patient re-presented to the emergency department one month later with recurrent seizures. A subsequent PET scan revealed the emergence of a right mesial temporal lesion, and a hypermetabolic pulmonary lesion was identified, which was later diagnosed as small-cell lung carcinoma on histopathology. The patient showed favorable clinical improvement under Solu-Medrol treatment, and a follow-up imaging performed several months later showed complete resolution of the hypermetabolic cerebral lesion after chemotherapy. This case highlights an unprecedented early stage of limbic encephalitis, characterized by an initial absence of inflammation, suggesting that this might represent a nascent phase of the disease, which could be crucial for future management of similar cases.

摘要

边缘叶脑炎是一种相对罕见的自身免疫性神经系统疾病,通常根据持续时间少于三个月的临床症状进行诊断,这些症状包括癫痫发作、记忆缺陷、精神症状、磁共振成像(MRI)显示双侧内侧颞叶病变、炎性脑脊液以及脑电图(EEG)上的癫痫样活动。我们报告了一例女性患者,其首发癫痫发作时,MRI、腰椎穿刺和脑正电子发射断层扫描(PET)均未发现病理结果。一个月后,该患者因癫痫复发再次就诊于急诊科。随后的PET扫描显示右侧内侧颞叶出现病变,同时发现一个代谢亢进的肺部病变,组织病理学检查后来诊断为小细胞肺癌。该患者在接受甲泼尼龙治疗后临床症状明显改善,数月后进行的随访成像显示化疗后代谢亢进的脑病变完全消失。该病例突出了边缘叶脑炎前所未有的早期阶段,其特征是最初不存在炎症,这表明这可能代表疾病的初始阶段,这对未来类似病例的管理可能至关重要。

https://cdn.ncbi.nlm.nih.gov/pmc/blobs/91d4/12159560/b049610cec2e/cureus-0017-00000083988-i05.jpg
https://cdn.ncbi.nlm.nih.gov/pmc/blobs/91d4/12159560/506a1e3d76a0/cureus-0017-00000083988-i01.jpg
https://cdn.ncbi.nlm.nih.gov/pmc/blobs/91d4/12159560/8ccf890f824c/cureus-0017-00000083988-i02.jpg
https://cdn.ncbi.nlm.nih.gov/pmc/blobs/91d4/12159560/1e32e98737f9/cureus-0017-00000083988-i03.jpg
https://cdn.ncbi.nlm.nih.gov/pmc/blobs/91d4/12159560/4273a5ef9c77/cureus-0017-00000083988-i04.jpg
https://cdn.ncbi.nlm.nih.gov/pmc/blobs/91d4/12159560/b049610cec2e/cureus-0017-00000083988-i05.jpg
https://cdn.ncbi.nlm.nih.gov/pmc/blobs/91d4/12159560/506a1e3d76a0/cureus-0017-00000083988-i01.jpg
https://cdn.ncbi.nlm.nih.gov/pmc/blobs/91d4/12159560/8ccf890f824c/cureus-0017-00000083988-i02.jpg
https://cdn.ncbi.nlm.nih.gov/pmc/blobs/91d4/12159560/1e32e98737f9/cureus-0017-00000083988-i03.jpg
https://cdn.ncbi.nlm.nih.gov/pmc/blobs/91d4/12159560/4273a5ef9c77/cureus-0017-00000083988-i04.jpg
https://cdn.ncbi.nlm.nih.gov/pmc/blobs/91d4/12159560/b049610cec2e/cureus-0017-00000083988-i05.jpg

相似文献

1
Limbic Encephalitis: An Unusual Presentation on 18F-Fluorodeoxyglucose Positron Emission Tomography/Computed Tomography (18F-FDG PET/CT).边缘叶脑炎:18F-氟脱氧葡萄糖正电子发射断层扫描/计算机断层扫描(18F-FDG PET/CT)上的一种不寻常表现
Cureus. 2025 May 12;17(5):e83988. doi: 10.7759/cureus.83988. eCollection 2025 May.
2
The role of 18F-FDG PET/CT in management of paraneoplastic limbic encephalitis combined with small cell lung cancer: A case report.18F-FDG PET/CT在副肿瘤性边缘叶脑炎合并小细胞肺癌管理中的作用:一例报告
Medicine (Baltimore). 2019 Aug;98(35):e16593. doi: 10.1097/MD.0000000000016593.
3
More advantages in detecting bone and soft tissue metastases from prostate cancer using F-PSMA PET/CT.使用F-PSMA PET/CT检测前列腺癌骨和软组织转移方面有更多优势。
Hell J Nucl Med. 2019 Jan-Apr;22(1):6-9. doi: 10.1967/s002449910952. Epub 2019 Mar 7.
4
Coexistence of anti-SOX1 and anti-GABAB receptor antibodies with paraneoplastic limbic encephalitis presenting with seizures and memory impairment in small cell lung cancer: A case report.抗 SOX1 和抗 GABAB 受体抗体共存伴小细胞肺癌副肿瘤性边缘叶脑炎,表现为癫痫发作和记忆障碍:病例报告。
Front Immunol. 2022 Jul 28;13:955170. doi: 10.3389/fimmu.2022.955170. eCollection 2022.
5
Limbic Encephalitis Diagnosed With 18F-FDG PET/CT.18F-FDG PET/CT 诊断边缘性脑炎。
Clin Nucl Med. 2016 Feb;41(2):e101-3. doi: 10.1097/RLU.0000000000001076.
6
Psychiatric Manifestation of Anti-LGI1 Encephalitis.抗LGI1脑炎的精神症状表现
Brain Sci. 2020 Jun 16;10(6):375. doi: 10.3390/brainsci10060375.
7
ASL MRI and 18F-FDG-PET in autoimmune limbic encephalitis: clues from two paradigmatic cases.自身免疫性边缘性脑炎的 ASL MRI 和 18F-FDG-PET:来自两个典型病例的线索。
Neurol Sci. 2021 Aug;42(8):3423-3425. doi: 10.1007/s10072-021-05207-0. Epub 2021 Mar 24.
8
Clinical Characteristics of Anti-GABA-B Receptor Encephalitis.抗γ-氨基丁酸B型受体脑炎的临床特征
Front Neurol. 2020 May 21;11:403. doi: 10.3389/fneur.2020.00403. eCollection 2020.
9
Cholangiocarcinoma associated with limbic encephalitis and early cerebral abnormalities detected by 2-deoxy-2-[fluorine-18]fluoro-D-glucose integrated with computed tomography-positron emission tomography: a case report.2-脱氧-2-[氟-18]氟-D-葡萄糖与计算机断层扫描-正电子发射断层扫描相结合检测出的与边缘性脑炎和早期脑异常相关的胆管癌:病例报告
J Med Case Rep. 2016 Jul 20;10:200. doi: 10.1186/s13256-016-0989-1.
10
Brain 18F-FDG-PET characteristics in patients with paraneoplastic neurological syndrome and its correlation with clinical and MRI findings.副肿瘤性神经系统综合征患者的脑 18F-FDG-PET 特征及其与临床和 MRI 表现的相关性
Nucl Med Commun. 2014 Oct;35(10):1038-46. doi: 10.1097/MNM.0000000000000163.

本文引用的文献

1
Autoimmune Limbic Encephalitis: A Review of Clinicoradiological Features and the Challenges of Diagnosis.自身免疫性边缘叶脑炎:临床放射学特征及诊断挑战综述
Cureus. 2021 Aug 28;13(8):e17529. doi: 10.7759/cureus.17529. eCollection 2021 Aug.
2
Searching for autoimmune encephalitis: Beware of normal CSF.寻找自身免疫性脑炎:警惕正常 CSF。
J Neuroimmunol. 2020 Aug 15;345:577285. doi: 10.1016/j.jneuroim.2020.577285. Epub 2020 Jun 5.
3
The role of 18F-FDG PET/CT in management of paraneoplastic limbic encephalitis combined with small cell lung cancer: A case report.
18F-FDG PET/CT在副肿瘤性边缘叶脑炎合并小细胞肺癌管理中的作用:一例报告
Medicine (Baltimore). 2019 Aug;98(35):e16593. doi: 10.1097/MD.0000000000016593.
4
Diagnosing autoimmune limbic encephalitis.诊断自身免疫性边缘叶脑炎。
CMAJ. 2019 May 13;191(19):E529-E534. doi: 10.1503/cmaj.181548.
5
A clinical approach to diagnosis of autoimmune encephalitis.自身免疫性脑炎的临床诊断方法
Lancet Neurol. 2016 Apr;15(4):391-404. doi: 10.1016/S1474-4422(15)00401-9. Epub 2016 Feb 20.
6
Neuroimaging in status epilepticus secondary to paraneoplastic autoimmune encephalitis.副肿瘤性自身免疫性脑炎继发癫痫持续状态的神经影像学表现
Clin Radiol. 2014 Aug;69(8):795-803. doi: 10.1016/j.crad.2014.03.012. Epub 2014 May 10.
7
Utility of 18F-FDG uptake in various regions of Waldeyer's ring to differentiate benign from malignant lesions in the midline roof of the nasopharynx.Waldeyer环各区域18F-FDG摄取在鉴别鼻咽中线顶部良性与恶性病变中的应用。
Nucl Med Commun. 2014 Sep;35(9):922-31. doi: 10.1097/MNM.0000000000000141.
8
Antibody titres at diagnosis and during follow-up of anti-NMDA receptor encephalitis: a retrospective study.抗 N- 甲基-D- 天冬氨酸受体脑炎诊断时及随访期的抗体滴度:一项回顾性研究。
Lancet Neurol. 2014 Feb;13(2):167-77. doi: 10.1016/S1474-4422(13)70282-5. Epub 2013 Dec 18.