Suppr超能文献

延迟但危险:慢性包裹性扩张性血肿是脑动静脉畸形立体定向放射外科治疗后类固醇抵抗性广泛水肿的可逆原因。

Delayed but Dangerous: Chronic Encapsulated Expanding Hematoma as a Reversible Cause of Steroid-Resistant Extensive Edema Following Stereotactic Radiosurgery for Cerebral Arteriovenous Malformation.

作者信息

Iampreechakul Prasert, Tirakotai Wuttipong, Lertbutsayanukul Punjama, Thammachantha Samasuk, Dhanachai Mantana

机构信息

Department of Neurological Surgery, Neurological Institute of Thailand, Bangkok, THA.

Department of Neuroradiology, Neurological Institute of Thailand, Bangkok, THA.

出版信息

Cureus. 2025 May 13;17(5):e84035. doi: 10.7759/cureus.84035. eCollection 2025 May.

Abstract

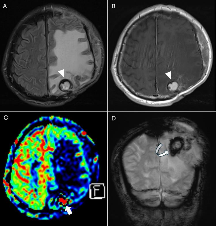
Chronic encapsulated expanding hematoma (CEEH) is a rare, delayed complication of stereotactic radiosurgery (SRS) for brain arteriovenous malformations (AVMs), often masquerading as radiation necrosis or tumor recurrence. We report the case of a 61-year-old man who developed progressive right hemiparesis and extensive steroid-resistant vasogenic edema 15 years after embolization and multisession SRS for a ruptured left parietal AVM, which had been previously confirmed as completely obliterated. Initial imaging showed a small enhancing lesion with surrounding edema, suspected to be radiation necrosis. Over the next two years, the lesion expanded with persistent edema despite corticosteroids and decompressive craniectomy. Follow-up MRI revealed classic hemorrhagic features, including a peripheral hypointense rim on T2*-GRE and SWI sequences, raising suspicion for CEEH. Surgical resection confirmed the diagnosis histopathologically and was followed by rapid clinical and radiological improvement. This case underscores the importance of considering CEEH in patients presenting with delayed symptoms and steroid-resistant edema after SRS, even when the lesion appears small. Early surgical recognition and intervention can be both diagnostic and therapeutic, preventing further morbidity.

摘要

慢性包裹性扩张性血肿(CEEH)是脑动静脉畸形(AVM)立体定向放射外科治疗(SRS)罕见的延迟并发症,常表现为放射性坏死或肿瘤复发。我们报告一例61岁男性病例,该患者在因左侧顶叶破裂性AVM行栓塞及多疗程SRS治疗15年后,出现进行性右侧偏瘫和广泛的类固醇抵抗性血管源性水肿,此前已证实该AVM完全闭塞。初始影像学检查显示一个小的强化病灶伴周围水肿,怀疑为放射性坏死。在接下来的两年里,尽管使用了皮质类固醇和去骨瓣减压术,病灶仍持续水肿并扩大。随访MRI显示出典型的出血特征,包括T2 * -GRE和SWI序列上的外周低信号环,这增加了对CEEH的怀疑。手术切除经组织病理学证实了诊断,随后临床和影像学迅速改善。该病例强调了在SRS后出现延迟症状和类固醇抵抗性水肿的患者中考虑CEEH的重要性,即使病灶看起来较小。早期手术识别和干预兼具诊断和治疗作用,可预防进一步的发病。

https://cdn.ncbi.nlm.nih.gov/pmc/blobs/3083/12162386/1f2679532cda/cureus-0017-00000084035-i01.jpg

文献AI研究员

20分钟写一篇综述,助力文献阅读效率提升50倍。

立即体验

用中文搜PubMed

大模型驱动的PubMed中文搜索引擎

马上搜索

文档翻译

学术文献翻译模型,支持多种主流文档格式。

立即体验