• 文献检索
  • 文档翻译
  • 深度研究
  • 学术资讯
  • Suppr Zotero 插件Zotero 插件
  • 邀请有礼
  • 套餐&价格
  • 历史记录
应用&插件
Suppr Zotero 插件Zotero 插件浏览器插件Mac 客户端Windows 客户端微信小程序
定价
高级版会员购买积分包购买API积分包
服务
文献检索文档翻译深度研究API 文档MCP 服务
关于我们
关于 Suppr公司介绍联系我们用户协议隐私条款
关注我们

Suppr 超能文献

核心技术专利:CN118964589B侵权必究
粤ICP备2023148730 号-1Suppr @ 2026

文献检索

告别复杂PubMed语法,用中文像聊天一样搜索,搜遍4000万医学文献。AI智能推荐,让科研检索更轻松。

立即免费搜索

文件翻译

保留排版,准确专业,支持PDF/Word/PPT等文件格式,支持 12+语言互译。

免费翻译文档

深度研究

AI帮你快速写综述,25分钟生成高质量综述,智能提取关键信息,辅助科研写作。

立即免费体验

四种天冬酰胺酶的物理化学性质评估

Physicochemical quality assessment of four asparaginases.

作者信息

Radtke Vanessa, König Thorsten, Radcke Christoph, Bergmann Ulf, Eichler Rene, Pohl Katja J, Schnuchel Arndt

机构信息

medac Gesellschaft für klinische Spezialpräparate m.b.H., Wedel, Germany.

Biosynth GmbH, Berlin, Germany.

出版信息

PLoS One. 2025 Jun 16;20(6):e0326106. doi: 10.1371/journal.pone.0326106. eCollection 2025.

DOI:10.1371/journal.pone.0326106
PMID:40522975
原文链接:https://pmc.ncbi.nlm.nih.gov/articles/PMC12169553/
Abstract

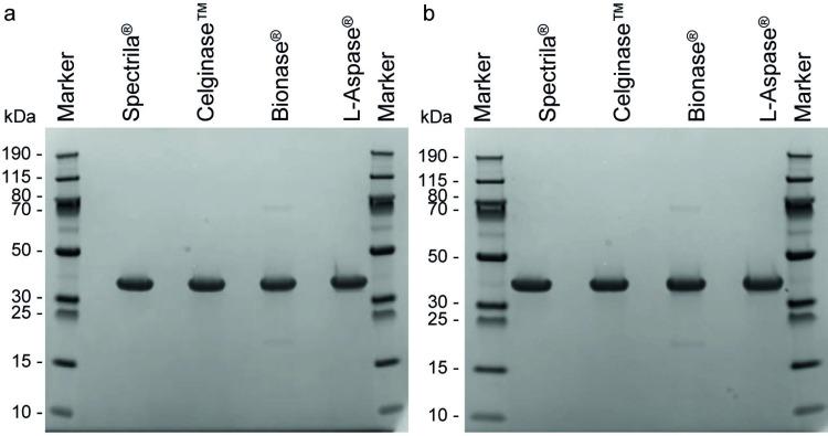
L-Asparaginases (ASNases) are used for the treatment of acute lymphoblastic leukaemia. There are reports of quality problems for some therapeutic asparaginase products, especially those manufactured in middle-income countries. These products may exhibit decreased potency and/or decreased specific activity, or an elevated level of impurities such as host cell proteins. In this study, four different ASNase preparations that were not modified with polyethylene glycol were compared in detail regarding their quality: Spectrila®, Celginase™, Bionase®, and L-Aspase®. Samples were analyzed for protein content, impurities, and enzyme activity. Various chromatographic methods as well as mass spectrometry were used to assess purity and identity. Sample protein content, host cell protein, and enzyme activity showed some results that were out of target range for Celginase™ and Bionase®. These ASNase preparations also showed detectable levels of endotoxins. In gel electrophoresis, additional bands were found for Bionase®. Size exclusion chromatography showed increased high and low molecular weight species for Bionase® and L-Aspase®, and reversed-phase chromatography showed increased hydrophilic and hydrophobic species for Bionase®. In capillary zone electrophoresis, increased retention time for L-Aspase® and increased levels of charge variants for Bionase®, Celginase™, and L-Aspase® were seen. ASNase quality standards are crucial to ensure patient safety and product efficacy, as decreased potency and specific activity may affect efficacy in acute lymphoblastic leukaemia treatment, and increased impurities may affect immunogenicity. Out of four ASNase preparations tested in this study, only Spectrila® did not raise any quality concerns. The other three products exhibited quality problems, rendering them unsuitable according to established quality requirements defined in European and US guidelines for pharmaceutical development of parenteral drug products.

摘要

L-天冬酰胺酶(ASNases)用于治疗急性淋巴细胞白血病。有报道称某些治疗用天冬酰胺酶产品存在质量问题,尤其是在中等收入国家生产的产品。这些产品可能表现出效力降低和/或比活性降低,或者杂质水平升高,如宿主细胞蛋白。在本研究中,对四种未用聚乙二醇修饰的不同ASNase制剂的质量进行了详细比较:Spectrila®、Celginase™、Bionase®和L-Aspase®。对样品进行了蛋白质含量、杂质和酶活性分析。使用了各种色谱方法以及质谱法来评估纯度和同一性。样品蛋白质含量、宿主细胞蛋白和酶活性的一些结果表明,Celginase™和Bionase®超出了目标范围。这些ASNase制剂还显示出可检测水平的内毒素。在凝胶电泳中,Bionase®发现了额外的条带。尺寸排阻色谱显示Bionase®和L-Aspase®的高分子量和低分子量物质增加,反相色谱显示Bionase®的亲水和疏水物质增加。在毛细管区带电泳中,观察到L-Aspase®的保留时间增加,Bionase®、Celginase™和L-Aspase®的电荷变体水平增加。ASNase质量标准对于确保患者安全和产品疗效至关重要,因为效力和比活性降低可能会影响急性淋巴细胞白血病治疗的疗效,杂质增加可能会影响免疫原性。在本研究中测试的四种ASNase制剂中,只有Spectrila®没有引起任何质量问题。其他三种产品存在质量问题,根据欧洲和美国肠胃外药品研发指南中规定的既定质量要求,它们不适合使用。

https://cdn.ncbi.nlm.nih.gov/pmc/blobs/8592/12169553/ede96031364e/pone.0326106.g004.jpg
https://cdn.ncbi.nlm.nih.gov/pmc/blobs/8592/12169553/93623912beed/pone.0326106.g001.jpg
https://cdn.ncbi.nlm.nih.gov/pmc/blobs/8592/12169553/1aa2399648d4/pone.0326106.g002.jpg
https://cdn.ncbi.nlm.nih.gov/pmc/blobs/8592/12169553/913c6f634798/pone.0326106.g003.jpg
https://cdn.ncbi.nlm.nih.gov/pmc/blobs/8592/12169553/ede96031364e/pone.0326106.g004.jpg
https://cdn.ncbi.nlm.nih.gov/pmc/blobs/8592/12169553/93623912beed/pone.0326106.g001.jpg
https://cdn.ncbi.nlm.nih.gov/pmc/blobs/8592/12169553/1aa2399648d4/pone.0326106.g002.jpg
https://cdn.ncbi.nlm.nih.gov/pmc/blobs/8592/12169553/913c6f634798/pone.0326106.g003.jpg
https://cdn.ncbi.nlm.nih.gov/pmc/blobs/8592/12169553/ede96031364e/pone.0326106.g004.jpg

相似文献

1
Physicochemical quality assessment of four asparaginases.四种天冬酰胺酶的物理化学性质评估
PLoS One. 2025 Jun 16;20(6):e0326106. doi: 10.1371/journal.pone.0326106. eCollection 2025.
2
Quality comparison of a state-of-the-art preparation of a recombinant L-asparaginase derived from Escherichia coli with an alternative asparaginase product.一种源自大肠杆菌的重组 L-天冬酰胺酶的最先进制剂与另一种天冬酰胺酶产品的质量比较。
PLoS One. 2023 Jun 15;18(6):e0285948. doi: 10.1371/journal.pone.0285948. eCollection 2023.
3
Drug monitoring of low-dose PEG-asparaginase (Oncaspar) in children with relapsed acute lymphoblastic leukaemia.复发急性淋巴细胞白血病患儿低剂量聚乙二醇化天冬酰胺酶(昂卡司帕)的药物监测
Br J Haematol. 2001 Apr;113(1):115-9. doi: 10.1046/j.1365-2141.2001.02680.x.
4
Novel site-specific PEGylated L-asparaginase.新型定点 PEG 化 L-天冬酰胺酶。
PLoS One. 2019 Feb 12;14(2):e0211951. doi: 10.1371/journal.pone.0211951. eCollection 2019.
5
Structure-function relationships and clinical applications of L-asparaginases.L-天冬酰胺酶的结构-功能关系及其临床应用。
Curr Med Chem. 2010;17(20):2183-95. doi: 10.2174/092986710791299920.
6
Asparaginase pharmacokinetics after intensive polyethylene glycol-conjugated L-asparaginase therapy for children with relapsed acute lymphoblastic leukemia.复发急性淋巴细胞白血病患儿接受强化聚乙二醇化L-天冬酰胺酶治疗后的天冬酰胺酶药代动力学
Clin Cancer Res. 2004 Aug 15;10(16):5335-41. doi: 10.1158/1078-0432.CCR-04-0222.
7
L-asparaginase from : expression, purification and cytotoxicity assessment.来源于:表达、纯化和细胞毒性评估的 L-天冬酰胺酶。
Prep Biochem Biotechnol. 2022;52(6):668-680. doi: 10.1080/10826068.2021.1983831. Epub 2021 Oct 6.
8
Asparaginase (native ASNase or pegylated ASNase) in the treatment of acute lymphoblastic leukemia.天冬酰胺酶(天然天冬酰胺酶或聚乙二醇化天冬酰胺酶)在急性淋巴细胞白血病治疗中的应用。
Int J Nanomedicine. 2006;1(3):241-54.
9
Binding of a Drug (Colchicine) to L-Asparaginase Enzyme Using Multispectroscopic, Thermodynamics, and Simulation Studies: Possible Implication in Acute Lymphoblastic Leukemia Treatment.使用多谱学、热力学和模拟研究研究药物(秋水仙碱)与 L-天冬酰胺酶的结合:在急性淋巴细胞白血病治疗中的可能意义。
Luminescence. 2024 Nov;39(11):e70000. doi: 10.1002/bio.70000.
10
L-Asparagine depletion levels and L-asparaginase activity in plasma of children with acute lymphoblastic leukemia under asparaginase treatment.接受天冬酰胺酶治疗的急性淋巴细胞白血病患儿血浆中天冬酰胺消耗水平及天冬酰胺酶活性
Cancer Chemother Pharmacol. 2004 Mar;53(3):204-8. doi: 10.1007/s00280-003-0734-5. Epub 2003 Nov 22.

本文引用的文献

1
Implementation of plate reader-based indooxine and Nessler protocols for monitoring L-asparaginase serum activity in childhood acute lymphoblastic leukaemia.基于酶标仪的靛酚蓝和奈斯勒试剂法在儿童急性淋巴细胞白血病L-天冬酰胺酶血清活性监测中的应用
Biol Methods Protoc. 2024 Jun 13;9(1):bpae042. doi: 10.1093/biomethods/bpae042. eCollection 2024.
2
Quality comparison of a state-of-the-art preparation of a recombinant L-asparaginase derived from Escherichia coli with an alternative asparaginase product.一种源自大肠杆菌的重组 L-天冬酰胺酶的最先进制剂与另一种天冬酰胺酶产品的质量比较。
PLoS One. 2023 Jun 15;18(6):e0285948. doi: 10.1371/journal.pone.0285948. eCollection 2023.
3
The international scandal of defective asparaginase: A blight on children with cancer.
国际丑闻:缺陷型天冬酰胺酶——癌症患儿的阴霾。
Pediatr Blood Cancer. 2023 Aug;70(8):e30403. doi: 10.1002/pbc.30403. Epub 2023 May 23.
4
A scoping review to compare and contrast quality assurance aspects of l-asparaginase biosimilars.一项范围性综述,旨在比较和对比 l-门冬酰胺酶生物类似药的质量保证方面。
Int J Pharm. 2023 Feb 5;632:122523. doi: 10.1016/j.ijpharm.2022.122523. Epub 2022 Dec 26.
5
Improved pharmacokinetic and pharmacodynamic profile of a novel PEGylated native Erwinia chrysanthemi L-Asparaginase.新型聚乙二醇化原生欧文氏菌 L-天冬酰胺酶的药代动力学和药效学特性得到改善。
Invest New Drugs. 2022 Feb;40(1):21-29. doi: 10.1007/s10637-021-01173-8. Epub 2021 Sep 1.
6
Comment on: Unsatisfactory quality of E. coli asparaginase biogenerics in India: Implications for clinical outcomes in acute lymphoblastic leukaemia.评论:印度大肠杆菌天冬酰胺酶生物仿制药质量不尽人意:对急性淋巴细胞白血病临床结局的影响
Pediatr Blood Cancer. 2021 Nov;68(11):e29294. doi: 10.1002/pbc.29294. Epub 2021 Aug 13.
7
Influence of different asparaginase formulations in the prognosis of children with acute lymphocytic leukaemia in Brazil: a multicentre, retrospective controlled study.巴西儿童急性淋巴细胞白血病不同门冬酰胺酶制剂方案对预后的影响:一项多中心、回顾性对照研究。
Br J Haematol. 2021 Jul;194(1):168-173. doi: 10.1111/bjh.17494. Epub 2021 May 15.
8
Shortages and price variability of essential cytotoxic medicines for treating children with cancers.儿童癌症治疗用基本细胞毒性药物的短缺和价格变化。
BMJ Glob Health. 2020 Nov;5(11). doi: 10.1136/bmjgh-2020-003282.
9
Leukemia incidence trends at the global, regional, and national level between 1990 and 2017.1990年至2017年间全球、区域和国家层面的白血病发病率趋势。
Exp Hematol Oncol. 2020 Jun 19;9:14. doi: 10.1186/s40164-020-00170-6. eCollection 2020.
10
Development of L-Asparaginase Biobetters: Current Research Status and Review of the Desirable Quality Profiles.L-天冬酰胺酶生物优化剂的研发:当前研究现状及理想质量特征综述
Front Bioeng Biotechnol. 2019 Jan 10;6:212. doi: 10.3389/fbioe.2018.00212. eCollection 2018.