Suppr超能文献

根据Ki-67增殖指数的中枢神经细胞瘤的影像学特征。

Imaging characteristics of central neurocytomas according to Ki-67 proliferation index.

作者信息

Zhang Yan-Li, Liu Ling, Li Wei, Ran Chao, Luo Yu-Qi

机构信息

Department of Clinical Pharmacy, Affiliated Hospital of Yangzhou University, Yangzhou University, Yangzhou, China.

Obstetrics Department, Affiliated Yantai Yuhuangding Hospital of Qingdao University, Yantai, China.

出版信息

Front Oncol. 2025 Jun 3;15:1601817. doi: 10.3389/fonc.2025.1601817. eCollection 2025.

Abstract

PURPOSE

To evaluate the imaging characteristics of central neurocytoma (CN) with different Ki-67 indices and reveal its biological behavior.

MATERIALS AND METHODS

Sixty-nine cases of intraventricular CN confirmed by histopathology were collected retrospectively. According to Ki-67 indices, they were divided into CNs with high Ki-67 (30 cases) and CNs with low Ki-67 (39 cases). Their clinical and imaging findings were compared and analyzed.

RESULTS

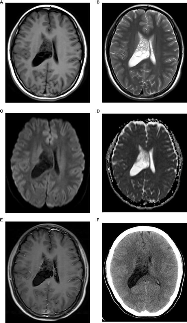
Compared to CNs with low Ki-67, CNs with high Ki-67 were larger (P < 0.001) and more solid (P = 0.019). Restricted diffusion (P = 0.020), CT hyperdensity (P < 0.001), abnormal vessels (P = 0.018), and marked MRI enhancement (P < 0.001) were more common in CNs with high Ki-67.

CONCLUSION

Different Ki-67 indices could affect the imaging characteristics of CNs. Tumor size, radiologic solidity, abnormal vessels, and marked MRI enhancement suggested CNs with high Ki-67. Combining these imaging characteristics and Ki-67 indices offered meaningful insights into their clinical diagnosis and biological behavior.

摘要

目的

评估不同Ki-67指数的中枢神经细胞瘤(CN)的影像学特征,并揭示其生物学行为。

材料与方法

回顾性收集69例经组织病理学确诊的脑室内CN病例。根据Ki-67指数,将其分为高Ki-67指数的CN(30例)和低Ki-67指数的CN(39例)。比较并分析它们的临床和影像学表现。

结果

与低Ki-67指数的CN相比,高Ki-67指数的CN体积更大(P < 0.001)且实性成分更多(P = 0.019)。高Ki-67指数的CN中,扩散受限(P = 0.020)、CT高密度(P < 0.001)、异常血管(P = 0.018)及MRI明显强化(P < 0.001)更为常见。

结论

不同的Ki-67指数可影响CN的影像学特征。肿瘤大小、放射学实性、异常血管及MRI明显强化提示为高Ki-67指数的CN。结合这些影像学特征和Ki-67指数有助于深入了解其临床诊断及生物学行为。

https://cdn.ncbi.nlm.nih.gov/pmc/blobs/30c8/12170295/392a78d223c2/fonc-15-1601817-g001.jpg

文献AI研究员

20分钟写一篇综述,助力文献阅读效率提升50倍。

立即体验

用中文搜PubMed

大模型驱动的PubMed中文搜索引擎

马上搜索

文档翻译

学术文献翻译模型,支持多种主流文档格式。

立即体验