Suppr超能文献

EZH2在结直肠癌中的表达:临床病理及预后价值评估

EZH2 expression in colorectal carcinoma: an evaluation of clinicopathological and prognostic value.

作者信息

Cagatay Diren Vuslat, Balci Mecdi Gurhan, Issin Gizem, Demir Fatih

机构信息

Department of Pathology, Gumushane State Hospital, Eskibaglar, 29000, Gumushane, Turkey.

Department of Pathology, Faculty of Medicine, Erzincan Binali Yıldırım University, 24100, Erzincan, Turkey.

出版信息

Discov Oncol. 2025 Jun 19;16(1):1156. doi: 10.1007/s12672-025-02990-6.

Abstract

BACKGROUND

Enhancer of zeste homolog 2 (EZH2), the catalytic subunit of Polycomb Repressive Complex 2, catalyzes trimethylation of histone H3 lysine 27 and has been implicated in tumor progression.

AIM

Our study aims to assess the relationship between EZH2 expression and clinicopathologic data, and survival in colorectal carcinomas (CRC).

MATERIALS AND METHODS

EZH2 immunohistochemistry was performed on tumor blocks from 124 CRC patients. Based on H-scores, cases were stratified into low- and high-expression groups. EZH2 status was correlated with demographic, clinical, and pathologic features, and overall survival was analyzed with the Kaplan-Meier method and log-rank test.

RESULTS

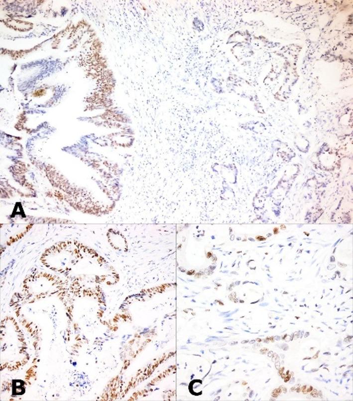
A total of 124 cases of CRC; 12 (9.7%) cases were classified as low EZH2 expression, and 112 (90.3%) cases were classified as high EZH2 expression. A significant association was found between EZH2 expression and microsatellite stability. High EZH2 expression was significantly enriched in microsatellite-stable tumors (p = 0.007) and in left-sided lesions (p = 0.049). No significant associations were detected with sex, stage, grade, lymph-node status, or vascular invasion. Kaplan-Meier analysis revealed no difference in overall survival between low- and high-EZH2 groups (log-rank p = 0.47; hazard ratio = 1.13, 95% CI 0.45-2.85). EZH2 staining was uniformly strong in normal mucosa and adenomas, mirroring the high expression observed in most CRCs.

CONCLUSIONS

EZH2 is highly expressed across the normal-adenoma-carcinoma sequence and, in our cohort, was not linked to overall survival or to most clinicopathologic parameters in CRC. The lower expression observed in a subset of MSI-H tumors warrants further investigation; present evidence remains insufficient to establish EZH2 as an independent prognostic biomarker.

摘要

背景

zeste 同源物增强子 2(EZH2)是多梳抑制复合物 2 的催化亚基,催化组蛋白 H3 赖氨酸 27 的三甲基化,与肿瘤进展有关。

目的

本研究旨在评估 EZH2 表达与结直肠癌(CRC)临床病理数据及生存之间的关系。

材料与方法

对 124 例 CRC 患者的肿瘤组织块进行 EZH2 免疫组化检测。根据 H 评分,将病例分为低表达组和高表达组。EZH2 状态与人口统计学、临床和病理特征相关,并采用 Kaplan-Meier 法和对数秩检验分析总生存情况。

结果

共 124 例 CRC;12 例(9.7%)被归类为 EZH2 低表达,112 例(90.3%)被归类为 EZH2 高表达。发现 EZH2 表达与微卫星稳定性之间存在显著关联。EZH2 高表达在微卫星稳定肿瘤(p = 0.007)和左侧病变(p = 0.049)中显著富集。未发现与性别、分期、分级、淋巴结状态或血管侵犯有显著关联。Kaplan-Meier 分析显示,EZH2 低表达组和高表达组的总生存无差异(对数秩 p = 0.47;风险比 = 1.13,95%CI 0.45 - 2.85)。EZH2 在正常黏膜和腺瘤中染色均呈强阳性,这与大多数 CRC 中观察到的高表达情况一致。

结论

EZH2 在正常 - 腺瘤 - 癌序列中高表达,在我们的队列中,它与 CRC 的总生存或大多数临床病理参数无关。在一部分微卫星高度不稳定(MSI-H)肿瘤中观察到的较低表达值得进一步研究;目前的证据仍不足以将 EZH2 确立为独立的预后生物标志物。

https://cdn.ncbi.nlm.nih.gov/pmc/blobs/21ad/12179014/2a3a455dc1a6/12672_2025_2990_Fig1_HTML.jpg

文献检索

告别复杂PubMed语法,用中文像聊天一样搜索,搜遍4000万医学文献。AI智能推荐,让科研检索更轻松。

立即免费搜索

文件翻译

保留排版,准确专业,支持PDF/Word/PPT等文件格式,支持 12+语言互译。

免费翻译文档

深度研究

AI帮你快速写综述,25分钟生成高质量综述,智能提取关键信息,辅助科研写作。

立即免费体验