• 文献检索
  • 文档翻译
  • 深度研究
  • 学术资讯
  • Suppr Zotero 插件Zotero 插件
  • 邀请有礼
  • 套餐&价格
  • 历史记录
应用&插件
Suppr Zotero 插件Zotero 插件浏览器插件Mac 客户端Windows 客户端微信小程序
定价
高级版会员购买积分包购买API积分包
服务
文献检索文档翻译深度研究API 文档MCP 服务
关于我们
关于 Suppr公司介绍联系我们用户协议隐私条款
关注我们

Suppr 超能文献

核心技术专利:CN118964589B侵权必究
粤ICP备2023148730 号-1Suppr @ 2026

文献检索

告别复杂PubMed语法,用中文像聊天一样搜索,搜遍4000万医学文献。AI智能推荐,让科研检索更轻松。

立即免费搜索

文件翻译

保留排版,准确专业,支持PDF/Word/PPT等文件格式,支持 12+语言互译。

免费翻译文档

深度研究

AI帮你快速写综述,25分钟生成高质量综述,智能提取关键信息,辅助科研写作。

立即免费体验

头孢曲松诱导的II型库尼斯综合征的急诊处理:一例报告

Emergency management of ceftriaxone-induced Type II Kounis syndrome: A case report.

作者信息

Wang Jiali, Jiang Zhenhua

机构信息

Shaoxing Central Hospital, Shaoxing, Zhejiang Province, China.

出版信息

Medicine (Baltimore). 2025 Jun 20;104(25):e42917. doi: 10.1097/MD.0000000000042917.

DOI:10.1097/MD.0000000000042917
PMID:40550082
原文链接:https://pmc.ncbi.nlm.nih.gov/articles/PMC12187265/
Abstract

RATIONALE

Ceftriaxone, a broad-spectrum β-lactam antibiotic, can induce severe allergic reactions such as anaphylaxis, which may lead to life-threatening type II Kounis syndrome (K-S), a variant of acute coronary syndrome triggered by allergic reactions. This case report aims to enhance the clinical understanding of ceftriaxone-induced type II K-S by presenting a detailed account of a patient's emergency management and subsequent recovery, emphasizing the importance of early recognition, intervention, and the role of nursing care in achieving a favorable outcome.

PATIENT CONCERNS

A 73-year-old male with no known allergy history was admitted for cough and shortness of breath. After ceftriaxone administration, he developed chest tightness, shortness of breath, hypotension, and abdominal rash.

DIAGNOSES

Type II K-S triggered by ceftriaxone-induced anaphylaxis was diagnosed.

INTERVENTIONS

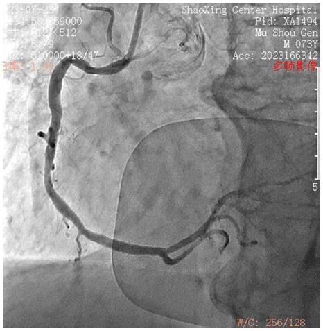
Immediate management included discontinuing ceftriaxone, emergency tracheal intubation, and intravenous epinephrine. Emergency coronary angiography showed no significant coronary artery stenosis. Postoperatively, the patient received antiplatelet therapy, plaque stabilization, and vasodilation in the intensive care unit.

OUTCOMES

The patient's condition stabilized, tracheal intubation was removed, and he was discharged after 10 days of treatment with significant clinical improvement.

LESSONS

This case emphasizes the critical importance of early recognition and management of ceftriaxone-induced type II K-S. Vigilant monitoring for allergic reactions and a multidisciplinary approach to care are essential for achieving favorable patient outcomes.

摘要

理论依据

头孢曲松是一种广谱β-内酰胺抗生素,可诱发严重过敏反应,如过敏症,这可能导致危及生命的II型库尼斯综合征(K-S),这是一种由过敏反应引发的急性冠状动脉综合征变体。本病例报告旨在通过详细描述一名患者的急诊处理及随后的康复情况,增强对头孢曲松诱发的II型K-S的临床认识,强调早期识别、干预的重要性以及护理在取得良好预后中的作用。

患者情况

一名73岁男性,无已知过敏史,因咳嗽和气短入院。使用头孢曲松后,他出现胸闷、气短、低血压和腹部皮疹。

诊断

诊断为头孢曲松诱发过敏反应引发的II型K-S。

干预措施

立即处理包括停用头孢曲松、紧急气管插管和静脉注射肾上腺素。急诊冠状动脉造影显示无明显冠状动脉狭窄。术后,患者在重症监护病房接受抗血小板治疗、斑块稳定和血管舒张治疗。

结果

患者病情稳定,气管插管拔除,治疗10天后出院,临床症状有显著改善。

经验教训

本病例强调了早期识别和处理头孢曲松诱发的II型K-S的至关重要性。对过敏反应进行警惕监测以及采用多学科护理方法对于取得良好的患者预后至关重要。

https://cdn.ncbi.nlm.nih.gov/pmc/blobs/d22d/12187265/b2241347b2da/medi-104-e42917-g007.jpg
https://cdn.ncbi.nlm.nih.gov/pmc/blobs/d22d/12187265/e7514396e3a8/medi-104-e42917-g001.jpg
https://cdn.ncbi.nlm.nih.gov/pmc/blobs/d22d/12187265/129ae591fb0c/medi-104-e42917-g002.jpg
https://cdn.ncbi.nlm.nih.gov/pmc/blobs/d22d/12187265/215b5968950f/medi-104-e42917-g003.jpg
https://cdn.ncbi.nlm.nih.gov/pmc/blobs/d22d/12187265/e45ad9a6a410/medi-104-e42917-g004.jpg
https://cdn.ncbi.nlm.nih.gov/pmc/blobs/d22d/12187265/d0c4998e50dd/medi-104-e42917-g005.jpg
https://cdn.ncbi.nlm.nih.gov/pmc/blobs/d22d/12187265/14f18c6b4878/medi-104-e42917-g006.jpg
https://cdn.ncbi.nlm.nih.gov/pmc/blobs/d22d/12187265/b2241347b2da/medi-104-e42917-g007.jpg
https://cdn.ncbi.nlm.nih.gov/pmc/blobs/d22d/12187265/e7514396e3a8/medi-104-e42917-g001.jpg
https://cdn.ncbi.nlm.nih.gov/pmc/blobs/d22d/12187265/129ae591fb0c/medi-104-e42917-g002.jpg
https://cdn.ncbi.nlm.nih.gov/pmc/blobs/d22d/12187265/215b5968950f/medi-104-e42917-g003.jpg
https://cdn.ncbi.nlm.nih.gov/pmc/blobs/d22d/12187265/e45ad9a6a410/medi-104-e42917-g004.jpg
https://cdn.ncbi.nlm.nih.gov/pmc/blobs/d22d/12187265/d0c4998e50dd/medi-104-e42917-g005.jpg
https://cdn.ncbi.nlm.nih.gov/pmc/blobs/d22d/12187265/14f18c6b4878/medi-104-e42917-g006.jpg
https://cdn.ncbi.nlm.nih.gov/pmc/blobs/d22d/12187265/b2241347b2da/medi-104-e42917-g007.jpg

相似文献

1
Emergency management of ceftriaxone-induced Type II Kounis syndrome: A case report.头孢曲松诱导的II型库尼斯综合征的急诊处理:一例报告
Medicine (Baltimore). 2025 Jun 20;104(25):e42917. doi: 10.1097/MD.0000000000042917.
2
Type II Kounis syndrome triggered by iodinated contrast during coronary angioplasty: A case report and clinical insights.冠状动脉成形术期间碘化造影剂引发的Ⅱ型库尼斯综合征:病例报告及临床见解
Int J Surg Case Rep. 2025 Aug;133:111614. doi: 10.1016/j.ijscr.2025.111614. Epub 2025 Jul 5.
3
Systemic Inflammatory Response Syndrome全身炎症反应综合征
4
Distinguishing Jarisch-Herxheimer Reaction From Septic Shock in Leptospirosis Patients: A Case Study.钩端螺旋体病患者中鉴别赫氏反应与感染性休克:一项病例研究
Am J Case Rep. 2025 Jul 8;26:e947704. doi: 10.12659/AJCR.947704.
5
Perioperative Presentations of Kounis Syndrome: A Systematic Literature Review.围手术期 Kounis 综合征表现:系统文献回顾。
J Cardiothorac Vasc Anesth. 2022 Jul;36(7):2070-2076. doi: 10.1053/j.jvca.2022.01.042. Epub 2022 Jan 31.
6
Automated monitoring compared to standard care for the early detection of sepsis in critically ill patients.与标准护理相比,自动监测用于危重症患者脓毒症的早期检测
Cochrane Database Syst Rev. 2018 Jun 25;6(6):CD012404. doi: 10.1002/14651858.CD012404.pub2.
7
Anomalous left coronary artery from the pulmonary artery: A case report of ALCAPA syndrome with bicuspid aortic valve.起源于肺动脉的异常左冠状动脉:合并二叶式主动脉瓣的左冠状动脉起源于肺动脉综合征(ALCAPA综合征)一例报告
Medicine (Baltimore). 2025 Apr 18;104(16):e42206. doi: 10.1097/MD.0000000000042206.
8
Antibiotics for exacerbations of asthma.用于哮喘加重期的抗生素
Cochrane Database Syst Rev. 2018 Jun 25;6(6):CD002741. doi: 10.1002/14651858.CD002741.pub2.
9
Antibiotics for otitis media with effusion (OME) in children.儿童分泌性中耳炎(OME)的抗生素治疗。
Cochrane Database Syst Rev. 2023 Oct 23;10(10):CD015254. doi: 10.1002/14651858.CD015254.pub2.
10
[Volume and health outcomes: evidence from systematic reviews and from evaluation of Italian hospital data].[容量与健康结果:来自系统评价和意大利医院数据评估的证据]
Epidemiol Prev. 2013 Mar-Jun;37(2-3 Suppl 2):1-100.

本文引用的文献

1
Ceftriaxone-induced Kounis syndrome: A case report and review of the literature.头孢曲松诱导的 Kounis 综合征:病例报告及文献复习。
Rev Esp Anestesiol Reanim (Engl Ed). 2024 Feb;71(2):129-133. doi: 10.1016/j.redare.2023.01.005. Epub 2023 Sep 6.
2
Ceftriaxone-Induced Immune Hemolytic Anemia.头孢曲松诱导的免疫性溶血性贫血。
Cureus. 2020 Jun 17;12(6):e8660. doi: 10.7759/cureus.8660.
3
Successful treatment of prolonged cardiopulmonary arrest of Kounis syndrome during coronary angioplasty.冠状动脉成形术期间成功治疗Kounis综合征的长时间心肺骤停。
J Cardiol Cases. 2015 Dec 8;13(2):47-51. doi: 10.1016/j.jccase.2015.10.001. eCollection 2016 Feb.
4
Guidelines in review: Comparison of the 2014 AHA/ACC guideline for the management of patients with non-ST-elevation acute coronary syndromes and the 2015 ESC guidelines for the management of acute coronary syndromes in patients presenting without persistent ST-segment elevation.指南综述:2014 年美国心脏协会/美国心脏病学会非 ST 段抬高型急性冠脉综合征管理指南与 2015 年欧洲心脏病学会急性冠状动脉综合征未持续 ST 段抬高患者管理指南的比较。
J Nucl Cardiol. 2018 Jun;25(3):769-776. doi: 10.1007/s12350-017-1137-z. Epub 2017 Dec 11.
5
[2015 ESC Guidelines for the management of acute coronary syndromes in patients presenting without persistent ST-segment elevation. Task Force for the Management of Acute Coronary Syndromes in Patients Presenting without Persistent ST-Segment Elevation of the European Society of Cardiology (ESC)].[2015年欧洲心脏病学会(ESC)非持续性ST段抬高型急性冠脉综合征患者管理指南。欧洲心脏病学会(ESC)非持续性ST段抬高型急性冠脉综合征患者管理工作组]
G Ital Cardiol (Rome). 2016 Oct;17(10):831-872. doi: 10.1714/2464.25804.
6
Kounis syndrome: an update on epidemiology, pathogenesis, diagnosis and therapeutic management.库尼斯综合征:流行病学、发病机制、诊断及治疗管理的最新进展
Clin Chem Lab Med. 2016 Oct 1;54(10):1545-59. doi: 10.1515/cclm-2016-0010.
7
Leukocytoclastic vasculitis and acute allergic interstitial nephritis following ceftriaxone exposure.头孢曲松暴露后出现白细胞破碎性血管炎和急性过敏性间质性肾炎。
J Pharmacol Pharmacother. 2014 Oct;5(4):268-70. doi: 10.4103/0976-500X.142453.
8
Coronary hypersensitivity disorder: the Kounis syndrome.冠状动脉超敏反应障碍:Kounis 综合征。
Clin Ther. 2013 May;35(5):563-71. doi: 10.1016/j.clinthera.2013.02.022. Epub 2013 Mar 13.
9
Adverse events induced by ceftriaxone: a 10-year review of reported cases to Iranian Pharmacovigilance Centre.头孢曲松引起的不良反应:伊朗药物警戒中心报告病例的 10 年回顾。
J Clin Pharm Ther. 2012 Aug;37(4):448-51. doi: 10.1111/j.1365-2710.2011.01321.x. Epub 2011 Nov 28.
10
The Kounis-Zavras syndrome with the Samter-Beer triad.伴有桑特-比尔三联征的库尼斯-扎夫拉斯综合征。
Proc (Bayl Univ Med Cent). 2011 Apr;24(2):107-9. doi: 10.1080/08998280.2011.11928695.