Abe Takashi, Munakata Motohiro, Yokoi Takumi, Yamaguchi Kikue, Sato Daisuke, Baba Kazuyoshi
Department of Implant Dentistry, Showa University School of Dentistry, 2-1-1 Kita-senzoku, Ota-ku, Tokyo 145-8515, Japan.
Department of Prosthodontics Dentistry, Showa University School of Dentistry, 2-1-1 Kita-senzoku, Ota-ku, Tokyo 145-8515, Japan.
J Funct Biomater. 2025 Jun 5;16(6):211. doi: 10.3390/jfb16060211.
In this study, we aimed to investigate the association between a patient's selection of implant treatment for a missing mandibular second molar and the magnitude of occlusal force, masticatory ability, mandibular morphology, and age before treatment intervention.
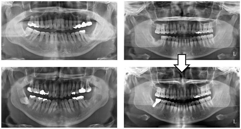
We retrospectively assessed occlusal force, masticatory performance, and mandibular morphology in female patients who either selected or declined implant treatment for a missing unilateral mandibular second molar.
Thirty-three women (mean age of 56.1 ± 9.7 years) were divided into an implant treatment (IT) group and a no-treatment (NT) group. The IT group showed significantly higher occlusal force ( = 0.021 < 0.05), while masticatory performance and gonial angle demonstrated no significant difference.
The IT group had significantly higher occlusal force, and age had no significant effect on it. Notably, masticatory performance in the IT group increased significantly with age ( = 0.047 < 0.05).
在本研究中,我们旨在调查患者对下颌第二磨牙缺失选择种植治疗与治疗干预前的咬合力大小、咀嚼能力、下颌形态和年龄之间的关联。
我们回顾性评估了单侧下颌第二磨牙缺失后选择或拒绝种植治疗的女性患者的咬合力、咀嚼性能和下颌形态。
33名女性(平均年龄56.1±9.7岁)被分为种植治疗(IT)组和未治疗(NT)组。IT组的咬合力显著更高(P = 0.021 < 0.05),而咀嚼性能和下颌角无显著差异。
IT组的咬合力显著更高,年龄对其无显著影响。值得注意的是,IT组的咀嚼性能随年龄显著增加(P = 0.047 < 0.05)。